tel 400-6027-270
Main Image
Anti-GilZ/TilZ 兔多克隆抗体
¥1900
加入对比
货号: K133909-100
亚细胞定位: 细胞质, 细胞核
别名: TSC22D3,DIP,DSIPI,GILZ,TSC-22R,hDIP,TSC22 domain family member 3
应用 | 种属
IHC/IF M,R
规格:
产品信息
蛋白质全称 TSC22结构域家族蛋白3
别名 TSC22D3,DIP,DSIPI,GILZ,TSC-22R,hDIP,TSC22 domain family member 3
Uniprot ID Q9Z2S7
免疫原 KLH偶联的小鼠GILZ合成肽
抗体亚型 IgG
纯化方式 亲和纯化
亚细胞定位 细胞质, 细胞核
应用
IHC/IF 免疫组织化学/免疫荧光
物种:小鼠,大鼠
稀释比:1:800-1:3000
阳性样品:脑, 肾
背景
Protects T-cells from IL2 deprivation-induced apoptosis through the inhibition of FOXO3A transcriptional activity that leads to the down-regulation of the pro-apoptotic factor BCL2L11. In macrophages, plays a role in the anti-inflammatory and immunosuppressive effects of glucocorticoids and IL10. In T-cells, inhibits anti-CD3-induced NFKB1 nuclear translocation. In vitro, suppresses AP1 and NFKB1 DNA-binding activities (By similarity).
储存条件
储存条件:储存条件在:-20℃下储存一年, 避免反复冻融.
储存缓冲液:含0.15% ProClin300防腐剂, 100 μg/mL牛血清白蛋白和50%甘油的磷酸盐缓冲液.
图像
IHC检测GilZ/TilZ蛋白(货号 K133909).
样品: 小鼠肾, 4%多聚甲醛 (货号KSG1101) 固定12-24小时.
抗原修复: 柠檬酸抗原修复液(干粉, pH 6.0) (KSG1201), 98℃, 20分钟.
—抗: 1: 1900稀释, 4℃ 孵育过夜.
二抗: S-vision免疫组化多聚二抗(山羊抗兔),即用型 (货号KB3906), 室温孵育20分钟.
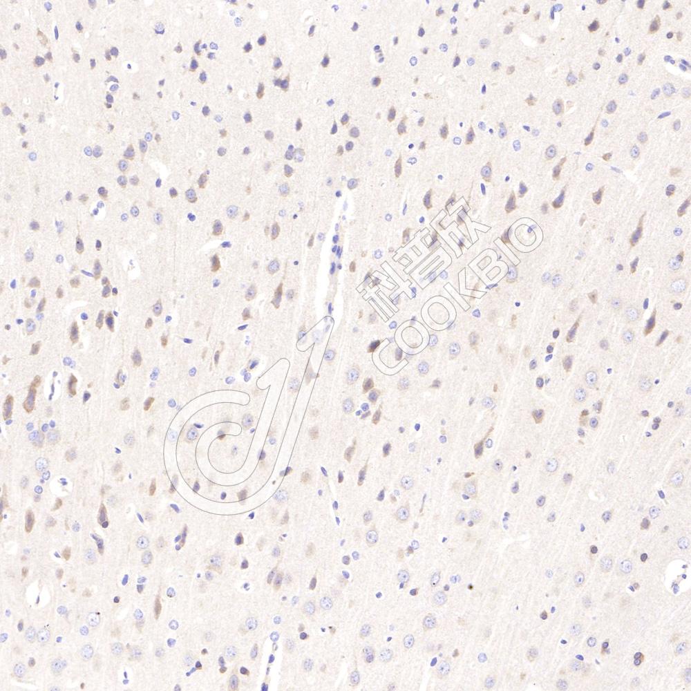
IHC检测GilZ/TilZ蛋白(货号 K133909).
样品: 大鼠脑, 4%多聚甲醛 (货号KSG1101) 固定12-24小时.
抗原修复: 柠檬酸抗原修复液(干粉, pH 6.0) (KSG1201), 98℃, 20分钟.
—抗: 1: 1900稀释, 4℃ 孵育过夜.
二抗: S-vision免疫组化多聚二抗(山羊抗兔),即用型 (货号KB3906), 室温孵育20分钟.

需要技术支持?

如果您有任何问题或如果您在实验过程中遇到问题,或需要更详细的技术指导,请联系我们的技术支持团队
电话 400-6027-270

联系我们

如果您对我们的公司或产品有任何疑问,欢迎随时联系我们