tel 400-6027-270
Main Image
Anti-Iba1 兔多克隆抗体
¥1900
加入对比
货号: K133315-100
亚细胞定位: 细胞质, 细胞骨架, 细胞突起, 皱褶膜
别名: AIF-1,IBA,IRT-1,IRT1,allograft,AIF-1,AIF1,G1,IBA1,IRT 1,Protein G1,Ionized calcium-binding adapter molecule 1,MRF1,Microglia response factor,BART 1,AIF1 protein
应用 | 种属
IHC/IF M,R
规格:
产品信息
蛋白质全称 同种异体移植物炎症因子1
别名 AIF-1,IBA,IRT-1,IRT1,allograft,AIF-1,AIF1,G1,IBA1,IRT 1,Protein G1,Ionized calcium-binding adapter molecule 1,MRF1,Microglia response factor,BART 1,AIF1 protein
Uniprot ID P55008
免疫原 KLH偶联的人Iba1合成肽
抗体亚型 IgG
纯化方式 亲和纯化
亚细胞定位 细胞质, 细胞骨架, 细胞突起, 皱褶膜
应用
IHC/IF 免疫组织化学/免疫荧光
物种:小鼠,大鼠
稀释比:1:500-1:1000
阳性样品:脑
背景
AIF1, also named as G1, IBA1 or daintain/AIF-1, is a 143 amino acid cytoplasmic, inflammation response scaffold protein. It is constitutively expressed in monocytes and macrophages and is known to be involved in macrophage activation. It is a marker of activated macrophage. Despite a lack of detailed knowledge on the in vivo physiological functions of AIF-1, there is growing evidence that shows its aberrant expression contributes to the pathogenesis of many autoimmune diseases, including rheumatoid arthritis. AIF1 is an actin-binding protein that enhances membrane ruffling and RAC activation. It enhances lymphocyte migration and the actin-bundling activity of LCP1.
储存条件
储存条件:储存条件在:-20℃下储存一年, 避免反复冻融.
储存缓冲液:含0.15% ProClin300防腐剂, 100 μg/mL牛血清白蛋白和50%甘油的磷酸盐缓冲液.
图像
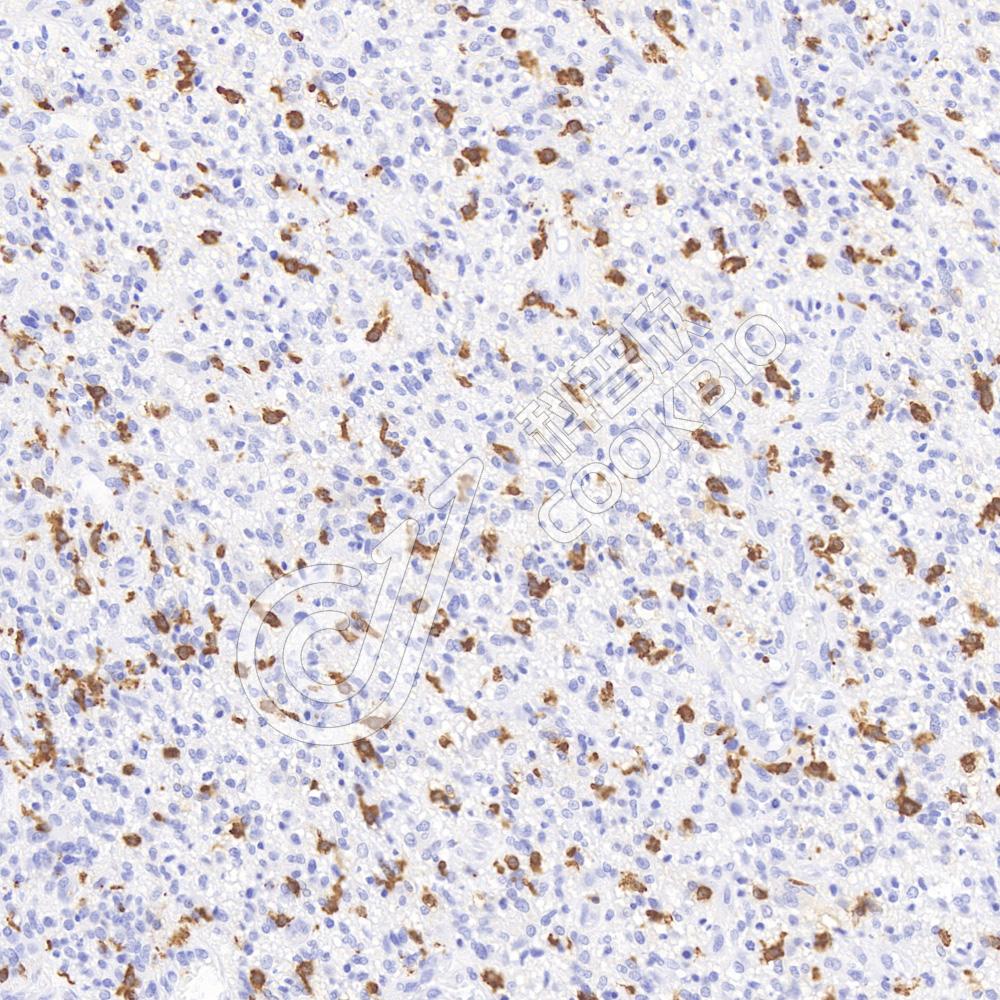
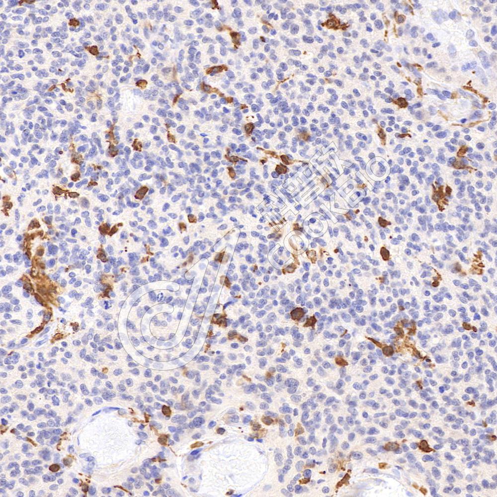
IHC检测Iba1蛋白(货号 K133315).
样品: 小鼠脑, 4%多聚甲醛 (货号KSG1101) 固定12-24小时.
抗原修复: 柠檬酸抗原修复液(干粉, pH 6.0) (KSG1201), 98℃, 20分钟.
—抗: 1: 800稀释, 4℃ 孵育过夜.
二抗: S-vision免疫组化多聚二抗(山羊抗兔),即用型 (货号KB3906), 室温孵育20分钟.
IF检测Iba1蛋白(货号 K133315)(红色).
样品: 大鼠脑, 4%多聚甲醛 (货号KSG1101) 固定12-24小时.
抗原修复: Tris-EDTA抗原修复液(pH 9.0) (KSG1203), 98℃, 20分钟.
封闭: 3% BSA(货号KSGC305010)的PBS溶液, 室温孵育30分钟.
—抗: 1: 800稀释, 4℃ 孵育过夜.
二抗: Cy3标记山羊抗兔IgG (H+L) (货号KB63909), 1: 300稀释, 室温孵育1小时.

需要技术支持?

如果您有任何问题或如果您在实验过程中遇到问题,或需要更详细的技术指导,请联系我们的技术支持团队
电话 400-6027-270

联系我们

如果您对我们的公司或产品有任何疑问,欢迎随时联系我们