tel 400-6027-270
Main Image
Anti-TRAP100/MED24 兔多克隆抗体
¥1900
加入对比
货号: K1335277-100
亚细胞定位: 细胞核
别名: Mediator complex subunit 24,Thyroid hormone receptor-associated protein 4,Trap100,mTRAP100,Med24,D11Ertd307e,Thrap4,Trap100
应用 | 种属
IHC/IF M,R
规格:
产品信息
蛋白质全称 RNA聚合酶II转录中介体亚基24
别名 Mediator complex subunit 24,Thyroid hormone receptor-associated protein 4,Trap100,mTRAP100,Med24,D11Ertd307e,Thrap4,Trap100
Uniprot ID Q99K74
免疫原 小鼠TRAP100/MED24重组蛋白
抗体亚型 IgG
纯化方式 亲和纯化
亚细胞定位 细胞核
应用
IHC/IF 免疫组织化学/免疫荧光
物种:小鼠,大鼠
稀释比:1:400-1:1200
阳性样品:附睾, 卵巢, 骨骼肌
背景
This gene encodes a component of the mediator complex , a transcriptional coactivator complex thought to be required for the expression of almost all genes. The mediator complex is recruited by transcriptional activators or nuclear receptors to induce gene expression, possibly by interacting with RNA polymerase II and promoting the formation of a transcriptional pre-initiation complex. Multiple transcript variants encoding different isoforms have been found for this gene.
储存条件
储存条件:储存条件在:-20℃下储存一年, 避免反复冻融.
储存缓冲液:含0.15% ProClin300防腐剂, 100 μg/mL牛血清白蛋白和50%甘油的磷酸盐缓冲液.
图像
IHC检测TRAP100/MED24蛋白(货号 K1335277).
样品: 小鼠卵巢, 4%多聚甲醛 (货号KSG1101) 固定12-24小时.
抗原修复: Tris-EDTA抗原修复液(pH 9.0) (KSG1203), 98℃, 20分钟.
—抗: 1: 800稀释, 4℃ 孵育过夜.
二抗: S-vision免疫组化多聚二抗(山羊抗兔),即用型 (货号KB3906), 室温孵育20分钟.
IHC检测TRAP100/MED24蛋白(货号 K1335277).
样品: 小鼠骨骼肌, 4%多聚甲醛 (货号KSG1101) 固定12-24小时.
抗原修复: Tris-EDTA抗原修复液(pH 9.0) (KSG1203), 98℃, 20分钟.
—抗: 1: 800稀释, 4℃ 孵育过夜.
二抗: S-vision免疫组化多聚二抗(山羊抗兔),即用型 (货号KB3906), 室温孵育20分钟.
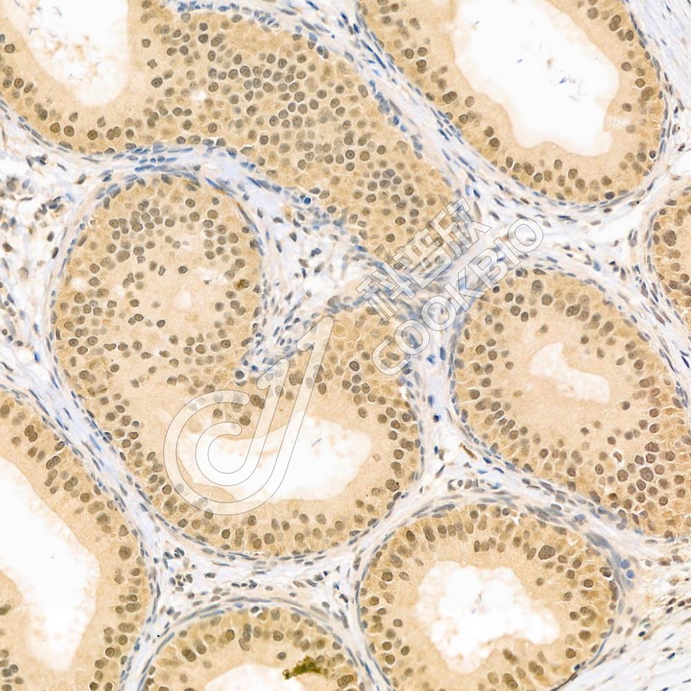
IHC检测TRAP100/MED24蛋白(货号 K1335277).
样品: 大鼠附睾, 4%多聚甲醛 (货号KSG1101) 固定12-24小时.
抗原修复: Tris-EDTA抗原修复液(pH 9.0) (KSG1203), 98℃, 20分钟.
—抗: 1: 800稀释, 4℃ 孵育过夜.
二抗: S-vision免疫组化多聚二抗(山羊抗兔),即用型 (货号KB3906), 室温孵育20分钟.

需要技术支持?

如果您有任何问题或如果您在实验过程中遇到问题,或需要更详细的技术指导,请联系我们的技术支持团队
电话 400-6027-270

联系我们

如果您对我们的公司或产品有任何疑问,欢迎随时联系我们