tel 400-6027-270
Main Image
Anti-TEAD3 兔多克隆抗体
¥1900
加入对比
货号: K1335922-100
预测分子量: 49 kDa
观测分子量: 49 kDa
亚细胞定位: 细胞核
别名: DTEF 1,ETFR 1,TEA domain family member 3,TEAD3,TEAD5,TEF5,ETF-related factor 1,Tcf13r2
应用 | 种属
WB H
IHC/IF H,M,R
规格:
产品信息
蛋白质全称 转录增强因子TEF-5
别名 DTEF 1,ETFR 1,TEA domain family member 3,TEAD3,TEAD5,TEF5,ETF-related factor 1,Tcf13r2
Uniprot ID P70210
免疫原 小鼠TEAD3重组蛋白
抗体亚型 IgG
纯化方式 亲和纯化
亚细胞定位 细胞核
预测分子量./观测分子量. 49 kDa / 49 kDa
应用
WB 免疫印迹
物种:人
稀释比:1:500-1:1000
阳性样品:Hep G2细胞, MCF-7细胞
IHC/IF 免疫组织化学/免疫荧光
物种:人,小鼠,大鼠
稀释比:1:600-1:1400
阳性样品:心, 肺
背景
TEAD3, others named ranscriptional enhancer factor 5(TEF5), a member of family of transcription factors that plays a key role in the Hippo signaling pathway, suggesting involve in organ and tumor suppression by restricting proliferation and promoting. TEAD3 contains the TEA/ATTS DNA-binding domain. Human TEAD3 has a strong mRNA expression in placenta and choriocarcinoma cells(JEG-3), but low in Hela, HepG2 and MCF-7. This is a rabbit polyclonal anti-TEAD3 antibody raised against part of C-terminal chain of human TEAD3.
储存条件
储存条件:储存条件在:-20℃下储存一年, 避免反复冻融.
储存缓冲液:含0.15% ProClin300防腐剂, 100 μg/mL牛血清白蛋白和50%甘油的磷酸盐缓冲液.
图像
WB检测TEAD3蛋白(货号 K1335922).
样品: 经RIPA裂解液(货号KSG2002)处理的蛋白质.
封闭: 3%脱脂牛奶(货号KSGC310001)溶于TBST溶液, 室温孵育1小时.
—抗: 1: 500稀释, 4℃ 孵育过夜.
二抗: HRP标记山羊抗兔IgG (H+L) (货号KB69909), 1: 5000稀释, 室温孵育1小时.
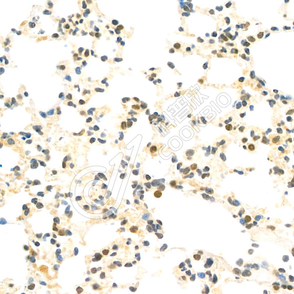
IHC检测TEAD3蛋白(货号 K1335922).
样品: 小鼠肺, 4%多聚甲醛 (货号KSG1101) 固定12-24小时.
抗原修复: Tris-EDTA抗原修复液(pH 9.0) (KSG1203), 98℃, 20分钟.
—抗: 1: 1000稀释, 4℃ 孵育过夜.
二抗: S-vision免疫组化多聚二抗(山羊抗兔),即用型 (货号KB3906), 室温孵育20分钟.
IHC检测TEAD3蛋白(货号 K1335922).
样品: 大鼠心, 4%多聚甲醛 (货号KSG1101) 固定12-24小时.
抗原修复: Tris-EDTA抗原修复液(pH 9.0) (KSG1203), 98℃, 20分钟.
—抗: 1: 1000稀释, 4℃ 孵育过夜.
二抗: S-vision免疫组化多聚二抗(山羊抗兔),即用型 (货号KB3906), 室温孵育20分钟.

需要技术支持?

如果您有任何问题或如果您在实验过程中遇到问题,或需要更详细的技术指导,请联系我们的技术支持团队
电话 400-6027-270

联系我们

如果您对我们的公司或产品有任何疑问,欢迎随时联系我们