tel 400-6027-270
Main Image
Anti-UCKL1 兔多克隆抗体
¥1900
加入对比
货号: K1338256-100
预测分子量: 61 kDa
观测分子量: 65 kDa
亚细胞定位: 细胞质, 细胞核
别名: Uckl1,Urkl1,F538,UCK1 like,Uridine kinase like 1
应用 | 种属
WB H,M
IHC/IF R
规格:
产品信息
蛋白质全称 尿苷-胞苷激酶样1
别名 Uckl1,Urkl1,F538,UCK1 like,Uridine kinase like 1
Uniprot ID Q91YL3
免疫原 小鼠UCKL1重组蛋白
抗体亚型 IgG
纯化方式 亲和纯化
亚细胞定位 细胞质, 细胞核
预测分子量./观测分子量. 61 kDa / 65 kDa
应用
WB 免疫印迹
物种:人,小鼠
稀释比:1:1000-1:2000
阳性样品:—
IHC/IF 免疫组织化学/免疫荧光
物种:大鼠
稀释比:1:4000-1:8000
阳性样品:肾
背景
May contribute to UTP accumulation needed for blast transformation and proliferation.
储存条件
储存条件:储存条件在:-20℃下储存一年, 避免反复冻融.
储存缓冲液:含0.15% ProClin300防腐剂, 100 μg/mL牛血清白蛋白和50%甘油的磷酸盐缓冲液.
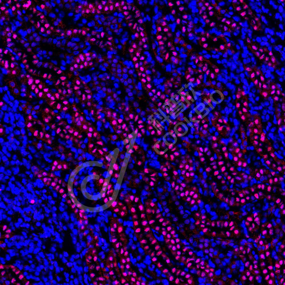
图像
IF检测UCKL1蛋白(货号 K1338256)(红色).
样品: 大鼠肾, 4%多聚甲醛 (货号KSG1101) 固定12-24小时.
抗原修复: Tris-EDTA抗原修复液(pH 9.0) (KSG1203), 98℃, 20分钟.
封闭: 3% BSA(货号KSGC305010)的PBS溶液, 室温孵育30分钟.
—抗: 1: 6000稀释, 4℃ 孵育过夜.
二抗: Cy3标记山羊抗兔IgG (H+L) (货号KB63909), 1: 300稀释, 室温孵育1小时.
IF检测UCKL1蛋白(货号 K1338256)(红色).
样品: 大鼠肾, 4%多聚甲醛 (货号KSG1101) 固定12-24小时.
抗原修复: Tris-EDTA抗原修复液(pH 9.0) (KSG1203), 98℃, 20分钟.
封闭: 3% BSA(货号KSGC305010)的PBS溶液, 室温孵育30分钟.
—抗: 1: 6000稀释, 4℃ 孵育过夜.
二抗: Cy3标记山羊抗兔IgG (H+L) (货号KB63909), 1: 300稀释, 室温孵育1小时.

需要技术支持?

如果您有任何问题或如果您在实验过程中遇到问题,或需要更详细的技术指导,请联系我们的技术支持团队
电话 400-6027-270

联系我们

如果您对我们的公司或产品有任何疑问,欢迎随时联系我们