tel 400-6027-270
Main Image
Anti-FKBP12 兔多克隆抗体
¥1900
加入对比
货号: K1339396-100
亚细胞定位: 细胞质
别名: 12 kDa FK506 binding protein,12 kDa FKBP,FK506 binding protein 1A,FKBP 12,FKBP 1A,FKBP1,FKBP12,FKBP12C,FKBP1A,Immunophilin FKBP12,PKC12,PKCI2,PPIASE,PPIase FKBP1A,Rotamase
应用 | 种属
IHC/IF H
规格:
产品信息
蛋白质全称 FKBP1A肽基脯氨酰异构酶
别名 12 kDa FK506 binding protein,12 kDa FKBP,FK506 binding protein 1A,FKBP 12,FKBP 1A,FKBP1,FKBP12,FKBP12C,FKBP1A,Immunophilin FKBP12,PKC12,PKCI2,PPIASE,PPIase FKBP1A,Rotamase
Uniprot ID P26883
免疫原 KLH偶联的小鼠FKBP12合成肽
抗体亚型 IgG
纯化方式 亲和纯化
亚细胞定位 细胞质
应用
IHC/IF 免疫组织化学/免疫荧光
物种:人
稀释比:1:1500-1:3000
阳性样品:食管癌, 食管
背景
FKBP1A(FK506-binding protein 1A) is also named as FKBP1, FKBP12 and belongs to the FKBP-type PPIase family.It keeps in an inactive conformation TGFBR1, the TGF-beta type I serine/threonine kinase receptor, preventing TGF-beta receptor activation in absence of ligand and catalyzes the cis-trans isomerization of proline imidic peptide bonds in oligopeptides.
储存条件
储存条件:储存条件在:-20℃下储存一年, 避免反复冻融.
储存缓冲液:含0.15% ProClin300防腐剂, 100 μg/mL牛血清白蛋白和50%甘油的磷酸盐缓冲液.
图像
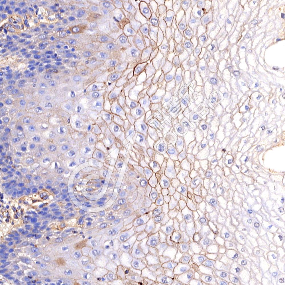
IHC检测FKBP12蛋白(货号 K1339396).
样品: 人食管癌, 4%多聚甲醛 (货号KSG1101) 固定12-24小时.
抗原修复: 柠檬酸抗原修复液(干粉, pH 6.0) (KSG1201), 98℃, 20分钟.
—抗: 1: 2300稀释, 4℃ 孵育过夜.
二抗: S-vision免疫组化多聚二抗(山羊抗兔),即用型 (货号KB3906), 室温孵育20分钟.
IHC检测FKBP12蛋白(货号 K1339396).
样品: 人食管, 4%多聚甲醛 (货号KSG1101) 固定12-24小时.
抗原修复: 柠檬酸抗原修复液(干粉, pH 6.0) (KSG1201), 98℃, 20分钟.
—抗: 1: 2300稀释, 4℃ 孵育过夜.
二抗: S-vision免疫组化多聚二抗(山羊抗兔),即用型 (货号KB3906), 室温孵育20分钟.

需要技术支持?

如果您有任何问题或如果您在实验过程中遇到问题,或需要更详细的技术指导,请联系我们的技术支持团队
电话 400-6027-270

联系我们

如果您对我们的公司或产品有任何疑问,欢迎随时联系我们