tel 400-6027-270
Main Image
Anti-RPL23 兔多克隆抗体
¥1900
加入对比
货号: K1339552-100
亚细胞定位: 细胞核, 细胞质
别名: 60S ribosomal protein L17,ribosomal protein L23,rpL17,RPL23,L23
应用 | 种属
IHC/IF R
规格:
产品信息
蛋白质全称 60S核糖体蛋白L23
别名 60S ribosomal protein L17,ribosomal protein L23,rpL17,RPL23,L23
Uniprot ID P62830
免疫原 小鼠RPL23重组蛋白
抗体亚型 IgG
纯化方式 亲和纯化
亚细胞定位 细胞核, 细胞质
应用
IHC/IF 免疫组织化学/免疫荧光
物种:大鼠
稀释比:1:400-1:800
阳性样品:结肠, 直肠
背景
Ribosomes, the organelles that catalyze protein synthesis, consist of a small 40S subunit and a large 60S subunit. Together these subunits are composed of 4 RNA species and approximately 80 structurally distinct proteins . RPL23 is a component of the 60 S large ribosomal subunit that interacts functionally with murine double minute 2 protein (MDM2 or HDM2 in humans). Upon binding to MDM2, RPL23 inhibits MDM2-mediated p53 degradation, thus activating p53 and inducing cellular apoptosis .
储存条件
储存条件:储存条件在:-20℃下储存一年, 避免反复冻融.
储存缓冲液:含0.15% ProClin300防腐剂, 100 μg/mL牛血清白蛋白和50%甘油的磷酸盐缓冲液.
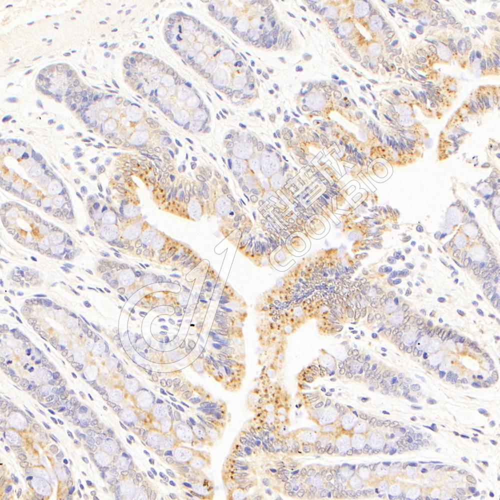
图像
IHC检测RPL23蛋白(货号 K1339552).
样品: 大鼠结肠, 4%多聚甲醛 (货号KSG1101) 固定12-24小时.
抗原修复: 柠檬酸抗原修复液(干粉, pH 6.0) (KSG1201), 98℃, 20分钟.
—抗: 1: 600稀释, 4℃ 孵育过夜.
二抗: S-vision免疫组化多聚二抗(山羊抗兔),即用型 (货号KB3906), 室温孵育20分钟.
IHC检测RPL23蛋白(货号 K1339552).
样品: 大鼠直肠, 4%多聚甲醛 (货号KSG1101) 固定12-24小时.
抗原修复: 柠檬酸抗原修复液(干粉, pH 6.0) (KSG1201), 98℃, 20分钟.
—抗: 1: 600稀释, 4℃ 孵育过夜.
二抗: S-vision免疫组化多聚二抗(山羊抗兔),即用型 (货号KB3906), 室温孵育20分钟.

需要技术支持?

如果您有任何问题或如果您在实验过程中遇到问题,或需要更详细的技术指导,请联系我们的技术支持团队
电话 400-6027-270

联系我们

如果您对我们的公司或产品有任何疑问,欢迎随时联系我们