tel 400-6027-270
Main Image
Anti-AMACR 兔多克隆抗体
¥1900
加入对比
货号: K1339918-100
预测分子量: 42 kDa
观测分子量: 42 kDa
亚细胞定位: 线粒体, 过氧化物酶体
别名: 2 methylacyl CoA racemase,alpha methylacyl CoA racemase,AMACR,CBAS4,p504S,RACE
应用 | 种属
WB M,R
IHC/IF H,M,R
规格:
产品信息
蛋白质全称 α-甲基酰基辅酶A消旋酶
别名 2 methylacyl CoA racemase,alpha methylacyl CoA racemase,AMACR,CBAS4,p504S,RACE
Uniprot ID O09174
免疫原 小鼠AMACR重组蛋白
抗体亚型 IgG
纯化方式 亲和纯化
亚细胞定位 线粒体, 过氧化物酶体
预测分子量./观测分子量. 42 kDa / 42 kDa
应用
WB 免疫印迹
物种:小鼠,大鼠
稀释比:1:1000-1:2000
阳性样品:—
IHC/IF 免疫组织化学/免疫荧光
物种:人,小鼠,大鼠
稀释比:1:800-1:1600
阳性样品:肾
背景
AMACR(Alpha-methylacyl-CoA racemase) belongs to the CaiB/BaiF CoA-transferase family. It is a mitochondrial and peroxisomal enzyme that catalyzes the conversion of 2R stereoisomers of phytanic and pristanic acid to their S counterparts. AMACR has previously been shown to be a highly sensitive marker for colorectal and clinically localized prostate cancer (PCa). However, AMACR expression is down-regulated at the transcript and protein level in hormone-refractory metastatic PCa, suggesting a hormone-dependent expression of AMACR. Defects in AMACR are the cause of alpha-methylacyl-CoA racemase deficiency (AMACRD) and congenital bile acid synthesis defect type 4 (CBAS4).
储存条件
储存条件:储存条件在:-20℃下储存一年, 避免反复冻融.
储存缓冲液:含0.15% ProClin300防腐剂, 100 μg/mL牛血清白蛋白和50%甘油的磷酸盐缓冲液.
图像
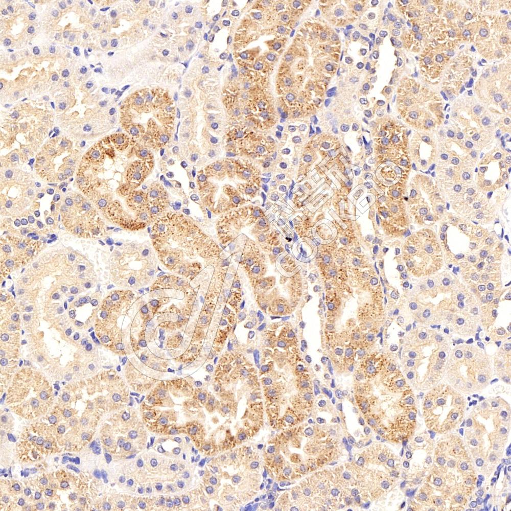
IHC检测AMACR蛋白(货号 K1339918).
样品: 人肾, 4%多聚甲醛 (货号KSG1101) 固定12-24小时.
抗原修复: 柠檬酸抗原修复液(干粉, pH 6.0) (KSG1201), 98℃, 20分钟.
—抗: 1: 1200稀释, 4℃ 孵育过夜.
二抗: S-vision免疫组化多聚二抗(山羊抗兔),即用型 (货号KB3906), 室温孵育20分钟.
AMACR_d1000_WB
IHC检测AMACR蛋白(货号 K1339918).
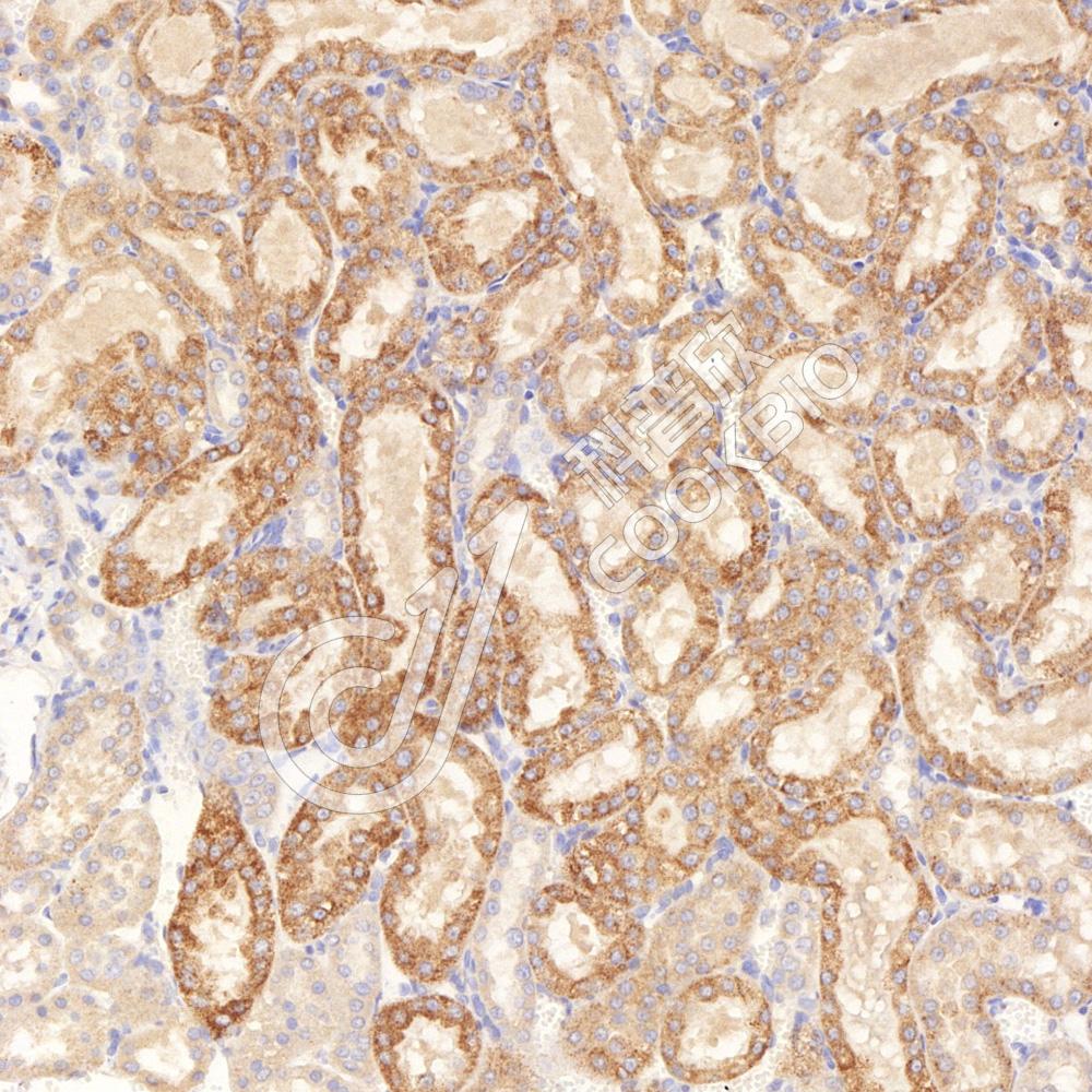
样品: 小鼠肾, 4%多聚甲醛 (货号KSG1101) 固定12-24小时.
抗原修复: 柠檬酸抗原修复液(干粉, pH 6.0) (KSG1201), 98℃, 20分钟.
—抗: 1: 1200稀释, 4℃ 孵育过夜.
二抗: S-vision免疫组化多聚二抗(山羊抗兔),即用型 (货号KB3906), 室温孵育20分钟.
IHC检测AMACR蛋白(货号 K1339918).
样品: 大鼠肾, 4%多聚甲醛 (货号KSG1101) 固定12-24小时.
抗原修复: 柠檬酸抗原修复液(干粉, pH 6.0) (KSG1201), 98℃, 20分钟.
—抗: 1: 1200稀释, 4℃ 孵育过夜.
二抗: S-vision免疫组化多聚二抗(山羊抗兔),即用型 (货号KB3906), 室温孵育20分钟.

需要技术支持?

如果您有任何问题或如果您在实验过程中遇到问题,或需要更详细的技术指导,请联系我们的技术支持团队
电话 400-6027-270

联系我们

如果您对我们的公司或产品有任何疑问,欢迎随时联系我们