tel 400-6027-270
Main Image
Anti-Scramblase 1 兔多克隆抗体
¥1900
加入对比
货号: K1341481-100
预测分子量: 36 kDa
观测分子量: 36 kDa
亚细胞定位: 细胞膜, 细胞质, 细胞核
别名: MMTRA1B,phospholipid scramblase 1,PL scramblase 1,PLSCR1,NOR1,TRA1,Tra1b,Tras1,Transplantability-associated protein 1,Mg(2+)-dependent nuclease,Ca(2+)-dependent phospholipid scramblase 1
应用 | 种属
WB H,M
IHC/IF M
规格:
产品信息
蛋白质全称 磷脂翻转酶1
别名 MMTRA1B,phospholipid scramblase 1,PL scramblase 1,PLSCR1,NOR1,TRA1,Tra1b,Tras1,Transplantability-associated protein 1,Mg(2+)-dependent nuclease,Ca(2+)-dependent phospholipid scramblase 1
Uniprot ID Q9JJ00
免疫原 KLH偶联的小鼠PLSCR1合成肽
抗体亚型 IgG
纯化方式 亲和纯化
亚细胞定位 细胞膜, 细胞质, 细胞核
预测分子量./观测分子量. 36 kDa / 36 kDa
应用
WB 免疫印迹
物种:人,小鼠
稀释比:1:1000-1:3000
阳性样品:—
IHC/IF 免疫组织化学/免疫荧光
物种:小鼠
稀释比:1:500-1:1500
阳性样品:十二指肠, 睾丸
背景
Catalyzes calcium-induced ATP-independent rapid bidirectional and non-specific distribution of phospholipids (lipid scrambling or lipid flip-flop) between the inner and outer leaflet of the plasma membrane resulting in collapse of the phospholipid asymmetry which leads to phosphatidylserine externalization on the cell surface .Mediates calcium-dependent phosphatidylserine externalization and apoptosis in neurons via its association with TRPC5 .
储存条件
储存条件:储存条件在:-20℃下储存一年, 避免反复冻融.
储存缓冲液:含0.15% ProClin300防腐剂, 100 μg/mL牛血清白蛋白和50%甘油的磷酸盐缓冲液.
图像
IHC检测Scramblase 1蛋白(货号 K1341481).
样品: 小鼠十二指肠, 4%多聚甲醛 (货号KSG1101) 固定12-24小时.
抗原修复: 柠檬酸抗原修复液(干粉, pH 6.0) (KSG1201), 98℃, 20分钟.
—抗: 1: 1000稀释, 4℃ 孵育过夜.
二抗: S-vision免疫组化多聚二抗(山羊抗兔),即用型 (货号KB3906), 室温孵育20分钟.
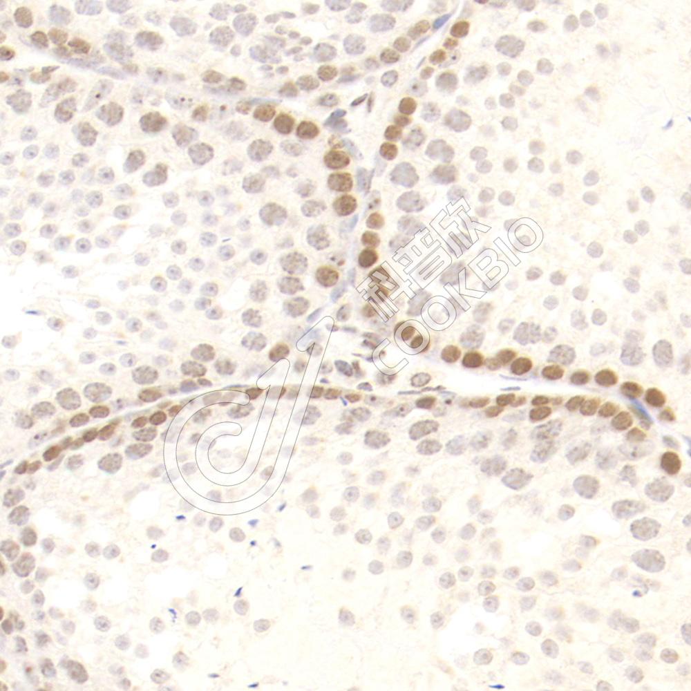
IHC检测Scramblase 1蛋白(货号 K1341481).
样品: 小鼠睾丸, 4%多聚甲醛 (货号KSG1101) 固定12-24小时.
抗原修复: 柠檬酸抗原修复液(干粉, pH 6.0) (KSG1201), 98℃, 20分钟.
—抗: 1: 1000稀释, 4℃ 孵育过夜.
二抗: S-vision免疫组化多聚二抗(山羊抗兔),即用型 (货号KB3906), 室温孵育20分钟.

需要技术支持?

如果您有任何问题或如果您在实验过程中遇到问题,或需要更详细的技术指导,请联系我们的技术支持团队
电话 400-6027-270

联系我们

如果您对我们的公司或产品有任何疑问,欢迎随时联系我们