tel 400-6027-270
Main Image
Anti-CPSF73 兔多克隆抗体
¥1900
加入对比
货号: K1342312-100
预测分子量: 78 kDa
观测分子量: 70 kDa
亚细胞定位: 细胞核
别名: CPSF,CPSF-73,CPSF 73 kDa subunit,CPSF3,CPSF73,YSH1
应用 | 种属
WB M,R
IHC/IF H
规格:
产品信息
蛋白质全称 剪切与多聚腺苷酸化特异性因子亚基3
别名 CPSF,CPSF-73,CPSF 73 kDa subunit,CPSF3,CPSF73,YSH1
Uniprot ID Q9QXK7
免疫原 小鼠CPSF73重组蛋白
抗体亚型 IgG
纯化方式 亲和纯化
亚细胞定位 细胞核
预测分子量./观测分子量. 78 kDa / 70 kDa
应用
WB 免疫印迹
物种:小鼠,大鼠
稀释比:1:700-1:1400
阳性样品:—
IHC/IF 免疫组织化学/免疫荧光
物种:人
稀释比:1:1000-1:2000
阳性样品:胎盘
背景
Component of the cleavage and polyadenylation specificity factor (CPSF) complex that plays a key role in pre-mRNA 3'-end formation, recognizing the AAUAAA signal sequence and interacting with poly(A) polymerase and other factors to bring about cleavage and poly(A) addition. Has endonuclease activity, and functions as mRNA 3'-end-processing endonuclease. Also involved in the histone 3'-end pre-mRNA processing. U7 snRNP-dependent protein that induces both the 3' endoribonucleolytic cleavage of histone pre-mRNAs and acts as a 5' to 3' exonuclease for degrading the subsequent downstream cleavage product (DCP) of mature histone mRNAs.
储存条件
储存条件:储存条件在:-20℃下储存一年, 避免反复冻融.
储存缓冲液:含0.15% ProClin300防腐剂, 100 μg/mL牛血清白蛋白和50%甘油的磷酸盐缓冲液.
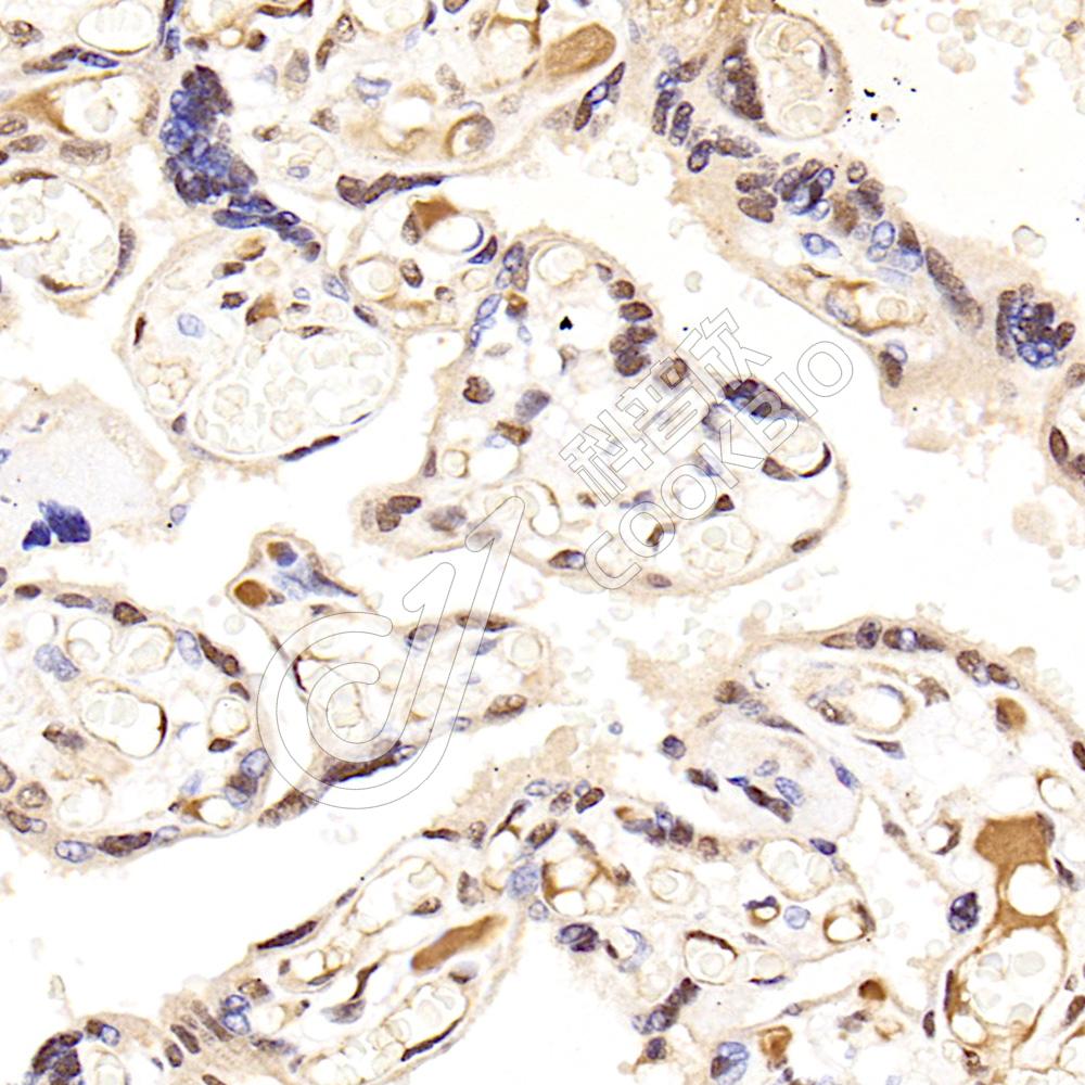
图像
IHC检测CPSF73蛋白(货号 K1342312).
样品: 人胎盘, 4%多聚甲醛 (货号KSG1101) 固定12-24小时.
抗原修复: 柠檬酸抗原修复液(干粉, pH 6.0) (KSG1201), 98℃, 20分钟.
—抗: 1: 1500稀释, 4℃ 孵育过夜.
二抗: S-vision免疫组化多聚二抗(山羊抗兔),即用型 (货号KB3906), 室温孵育20分钟.
IHC检测CPSF73蛋白(货号 K1342312).
样品: 人胎盘, 4%多聚甲醛 (货号KSG1101) 固定12-24小时.
抗原修复: 柠檬酸抗原修复液(干粉, pH 6.0) (KSG1201), 98℃, 20分钟.
—抗: 1: 1500稀释, 4℃ 孵育过夜.
二抗: S-vision免疫组化多聚二抗(山羊抗兔),即用型 (货号KB3906), 室温孵育20分钟.

需要技术支持?

如果您有任何问题或如果您在实验过程中遇到问题,或需要更详细的技术指导,请联系我们的技术支持团队
电话 400-6027-270

联系我们

如果您对我们的公司或产品有任何疑问,欢迎随时联系我们