tel 400-6027-270
Main Image
Anti-IRBIT 兔多克隆抗体
¥1900
加入对比
货号: K1342489-100
亚细胞定位: 内质网, 细胞质
别名: AdoHcyase 2,AHCYL1,DCAL,IRBIT,PRO0233,XPVKONA
应用 | 种属
IHC/IF H
规格:
产品信息
蛋白质全称 S-腺苷同型半胱氨酸水解酶样蛋白1
别名 AdoHcyase 2,AHCYL1,DCAL,IRBIT,PRO0233,XPVKONA
Uniprot ID Q80SW1
免疫原 小鼠IRBIT重组蛋白
抗体亚型 IgG
纯化方式 亲和纯化
亚细胞定位 内质网, 细胞质
应用
IHC/IF 免疫组织化学/免疫荧光
物种:人
稀释比:1:1000-1:2000
阳性样品:肾, 胃
背景
S-adenosylhomocysteine hydrolase-like protein 1 (AHCYL1), also known as IP3 receptor-binding protein released with IP3 (IRBIT), regulates IP3-induced Ca2+ release into the cytoplasm of cells(PMID:23145124). This protein is also named as DCAL, XPVKONA and belongs to the adenosylhomocysteinase family. AHCYL1 mRNA and protein are most abundant in the glandular epithelium of adenocarcinoma of cancerous, but not normal and AHCYL1 protein is predominantly in the nucleus(PMID:22826361). It has 2 isoforms produced by alternative splicing.
储存条件
储存条件:储存条件在:-20℃下储存一年, 避免反复冻融.
储存缓冲液:含0.15% ProClin300防腐剂, 100 μg/mL牛血清白蛋白和50%甘油的磷酸盐缓冲液.
图像
IHC检测IRBIT蛋白(货号 K1342489).
样品: 人肾, 4%多聚甲醛 (货号KSG1101) 固定12-24小时.
抗原修复: 柠檬酸抗原修复液(干粉, pH 6.0) (KSG1201), 98℃, 20分钟.
—抗: 1: 1500稀释, 4℃ 孵育过夜.
二抗: S-vision免疫组化多聚二抗(山羊抗兔),即用型 (货号KB3906), 室温孵育20分钟.
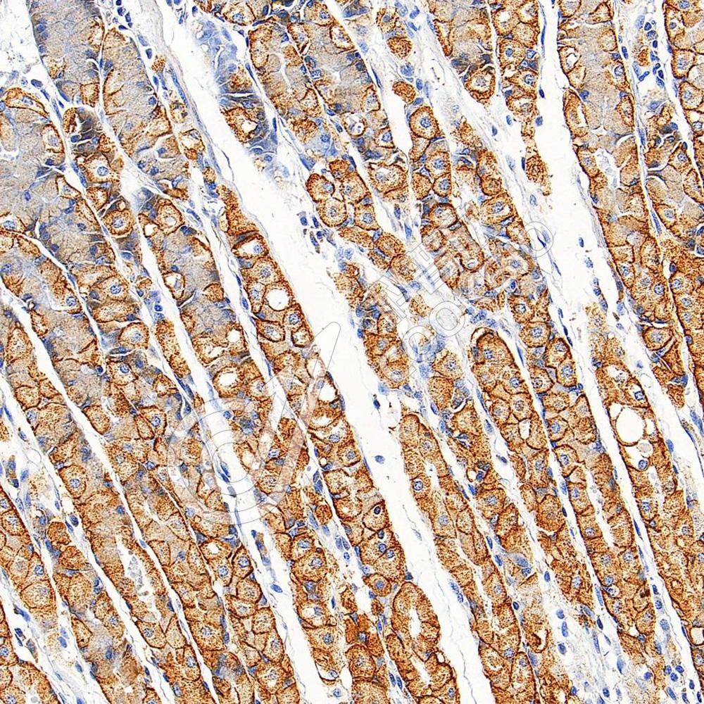
IHC检测IRBIT蛋白(货号 K1342489).
样品: 人胃, 4%多聚甲醛 (货号KSG1101) 固定12-24小时.
抗原修复: 柠檬酸抗原修复液(干粉, pH 6.0) (KSG1201), 98℃, 20分钟.
—抗: 1: 1500稀释, 4℃ 孵育过夜.
二抗: S-vision免疫组化多聚二抗(山羊抗兔),即用型 (货号KB3906), 室温孵育20分钟.

需要技术支持?

如果您有任何问题或如果您在实验过程中遇到问题,或需要更详细的技术指导,请联系我们的技术支持团队
电话 400-6027-270

联系我们

如果您对我们的公司或产品有任何疑问,欢迎随时联系我们