tel 400-6027-270
Main Image
Recombinant Anti-EpCAM antibody (小鼠单克隆抗体)
¥1900
加入对比
货号: K545822-100
预测分子量: 35 kDa
观测分子量: 35 kDa
亚细胞定位: 侧细胞膜, 细胞连接
别名: EPCAM,DIAR5,EGP-2,EGP314,EGP40,ESA,HNPCC8,KS1/4,KSA,M4S1,MIC18,MK-1,TACSTD1,TROP1,epithelial cell adhesion molecule,CD326,cd326
应用 | 种属
WB H
IHC/IF H
规格:
产品信息
蛋白质全称 上皮细胞粘附分子
别名 EPCAM,DIAR5,EGP-2,EGP314,EGP40,ESA,HNPCC8,KS1/4,KSA,M4S1,MIC18,MK-1,TACSTD1,TROP1,epithelial cell adhesion molecule,CD326,cd326
Uniprot ID P16422
免疫原 小鼠EpCAM重组蛋白
抗体亚型 IgG1, κ
克隆号 SB7
纯化方式 亲和纯化
亚细胞定位 侧细胞膜, 细胞连接
预测分子量./观测分子量. 35 kDa / 35 kDa
应用
WB 免疫印迹
物种:人
稀释比:1:500-1:1000
阳性样品:—
IHC/IF 免疫组织化学/免疫荧光
物种:人
稀释比:1:1000-1:2000
阳性样品:结肠癌, 食管癌
背景
May act as a physical homophilic interaction molecule between intestinal epithelial cells (IECs) and intraepithelial lymphocytes (IELs) at the mucosal epithelium for providing immunological barrier as a first line of defense against mucosal infection. Plays a role in embryonic stem cells proliferation and differentiation. Up-regulates the expression of FABP5, MYC and cyclins A and E.
储存条件
储存条件:储存条件在:-20℃下储存一年, 避免反复冻融.
储存缓冲液:含0.15% ProClin300防腐剂, 100 μg/mL牛血清白蛋白和50%甘油的磷酸盐缓冲液.
图像
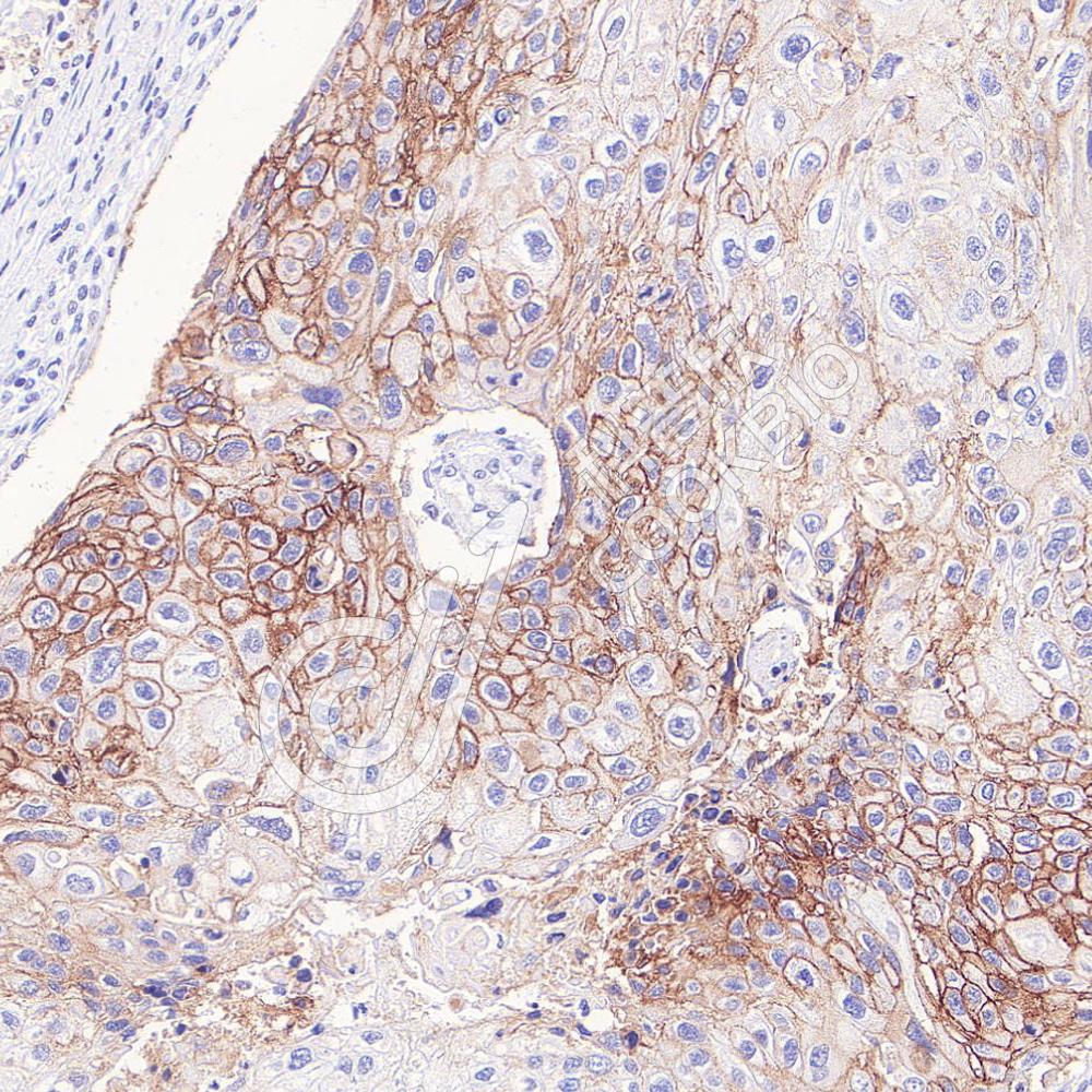
IHC检测EpCAM蛋白(货号 K545822).
样品: 人结肠癌, 4%多聚甲醛 (货号KSG1101) 固定12-24小时.
抗原修复: 柠檬酸抗原修复液(干粉, pH 6.0) (KSG1201), 高压锅均匀喷气计时2分钟.
—抗: 1: 1500稀释, 4℃ 孵育过夜.
二抗: S-vision免疫组化多聚二抗(山羊抗小鼠), 即用型(货号KB3903), 室温孵育20分钟.
IHC检测EpCAM蛋白(货号 K545822).
样品: 人食管癌, 4%多聚甲醛 (货号KSG1101) 固定12-24小时.
抗原修复: 柠檬酸抗原修复液(干粉, pH 6.0) (KSG1201), 高压锅均匀喷气计时2分钟.
—抗: 1: 1500稀释, 4℃ 孵育过夜.
二抗: S-vision免疫组化多聚二抗(山羊抗小鼠), 即用型(货号KB3903), 室温孵育20分钟.

需要技术支持?

如果您有任何问题或如果您在实验过程中遇到问题,或需要更详细的技术指导,请联系我们的技术支持团队
电话 400-6027-270

联系我们

如果您对我们的公司或产品有任何疑问,欢迎随时联系我们