tel 400-6027-270
Main Image
Anti-ANKMY2 兔多克隆抗体
¥1900
加入对比
货号: K1345234-100
亚细胞定位: 细胞突起
别名: ANKMY2,ZMYND20
应用 | 种属
IHC/IF H,M,R
规格:
产品信息
蛋白质全称 含锚蛋白重复和MYND结构域的蛋白2
别名 ANKMY2,ZMYND20
Uniprot ID Q3TPE9
免疫原 KLH偶联的小鼠ANKMY2合成肽
抗体亚型 IgG
纯化方式 亲和纯化
亚细胞定位 细胞突起
应用
IHC/IF 免疫组织化学/免疫荧光
物种:人,小鼠,大鼠
稀释比:1:500-1:2000
阳性样品:食管腺癌, 肾
背景
May be involved in the trafficking of signaling proteins to the cilia.
储存条件
储存条件:储存条件在:-20℃下储存一年, 避免反复冻融.
储存缓冲液:含0.15% ProClin300防腐剂, 100 μg/mL牛血清白蛋白和50%甘油的磷酸盐缓冲液.
图像
IHC检测ANKMY2蛋白(货号 K1345234).
样品: 人食管腺癌, 4%多聚甲醛 (货号KSG1101) 固定12-24小时.
抗原修复: Tris-EDTA抗原修复液(pH 9.0) (KSG1203), 98℃, 20分钟.
—抗: 1: 1300稀释, 4℃ 孵育过夜.
二抗: S-vision免疫组化多聚二抗(山羊抗兔),即用型 (货号KB3906), 室温孵育20分钟.
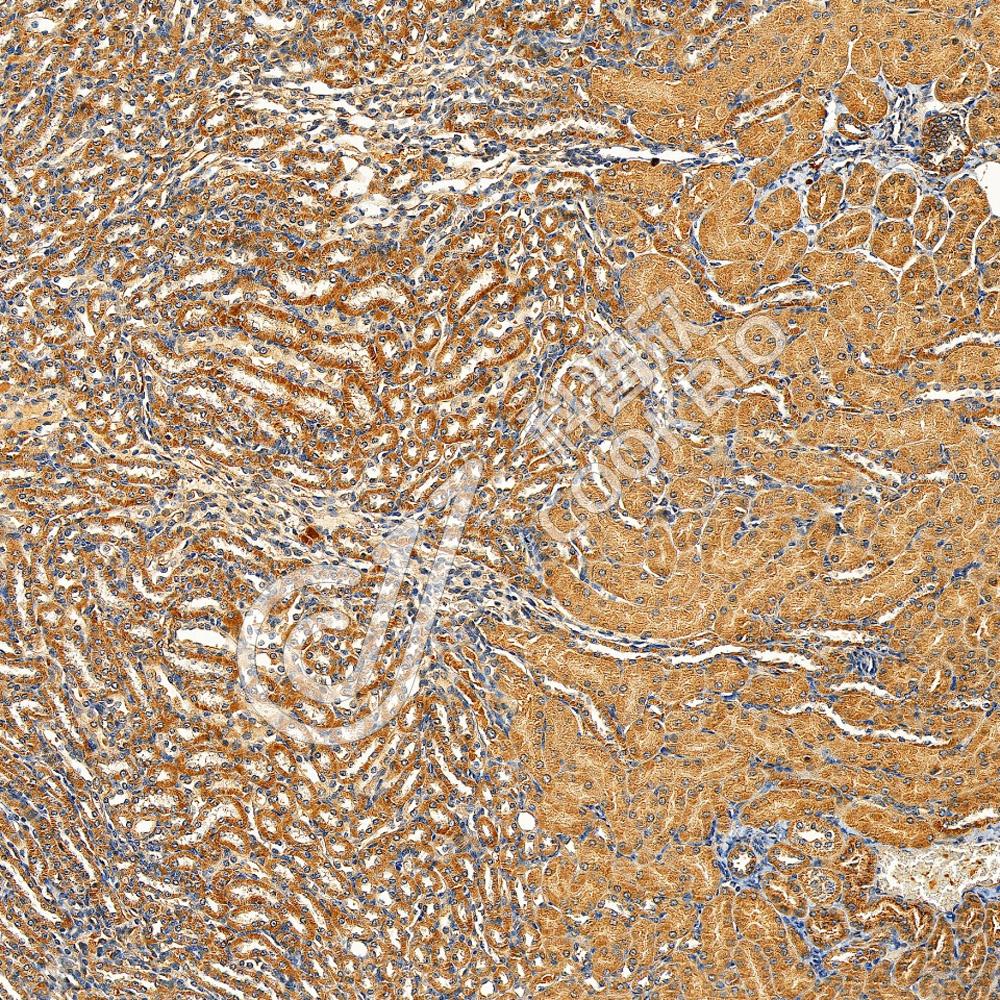
IHC检测ANKMY2蛋白(货号 K1345234).
样品: 小鼠肾, 4%多聚甲醛 (货号KSG1101) 固定12-24小时.
抗原修复: Tris-EDTA抗原修复液(pH 9.0) (KSG1203), 98℃, 20分钟.
—抗: 1: 1300稀释, 4℃ 孵育过夜.
二抗: S-vision免疫组化多聚二抗(山羊抗兔),即用型 (货号KB3906), 室温孵育20分钟.
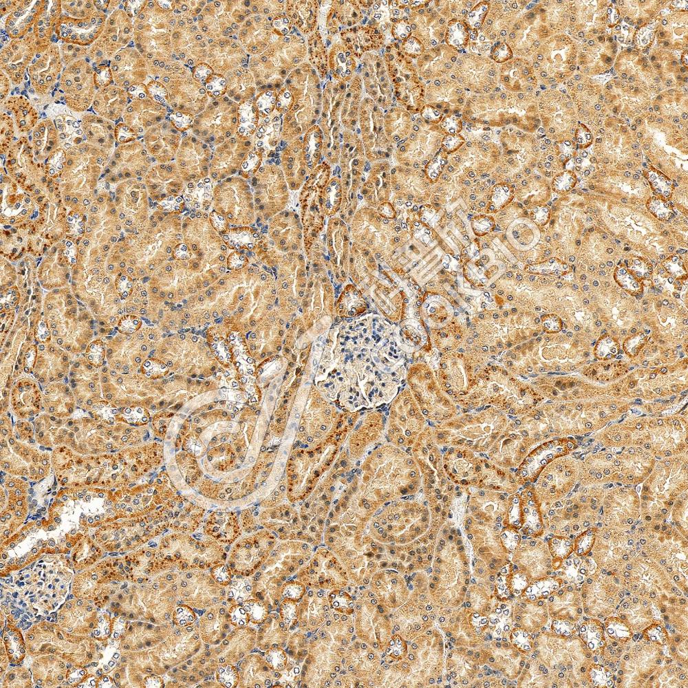
IHC检测ANKMY2蛋白(货号 K1345234).
样品: 大鼠肾, 4%多聚甲醛 (货号KSG1101) 固定12-24小时.
抗原修复: Tris-EDTA抗原修复液(pH 9.0) (KSG1203), 98℃, 20分钟.
—抗: 1: 1300稀释, 4℃ 孵育过夜.
二抗: S-vision免疫组化多聚二抗(山羊抗兔),即用型 (货号KB3906), 室温孵育20分钟.

需要技术支持?

如果您有任何问题或如果您在实验过程中遇到问题,或需要更详细的技术指导,请联系我们的技术支持团队
电话 400-6027-270

联系我们

如果您对我们的公司或产品有任何疑问,欢迎随时联系我们