tel 400-6027-270
Main Image
Anti-HSD17B8 兔多克隆抗体
¥1900
加入对比
货号: K1344412-100
预测分子量: 27 kDa
观测分子量: 32 kDa
亚细胞定位: 线粒体基质
别名: 17 beta HSD 8,D6S2245E,FABG,FABGL,H2 KE6,HKE6,HSD17B8,Ke 6,KE6,Protein Ke6,RING2,SDR30C1
应用 | 种属
WB M,R
IHC/IF M,R
规格:
产品信息
蛋白质全称 (3R)-3-羟酰辅酶A脱氢酶
别名 17 beta HSD 8,D6S2245E,FABG,FABGL,H2 KE6,HKE6,HSD17B8,Ke 6,KE6,Protein Ke6,RING2,SDR30C1
Uniprot ID P50171
免疫原 KLH偶联的小鼠HSD17B8合成肽
抗体亚型 IgG
纯化方式 亲和纯化
亚细胞定位 线粒体基质
预测分子量./观测分子量. 27 kDa / 32 kDa
应用
WB 免疫印迹
物种:小鼠,大鼠
稀释比:1:2000-1:3000
阳性样品:—
IHC/IF 免疫组织化学/免疫荧光
物种:小鼠,大鼠
稀释比:1:1000-1:3000
阳性样品:脑, 小脑
背景
Required for the solubility and assembly of the heterotetramer 3-ketoacyl-[acyl carrier protein] (ACP) reductase functional complex (KAR or KAR1) that forms part of the mitochondrial fatty acid synthase (mtFAS). Alpha-subunit of the KAR complex, acts as scaffold protein, required for the stability of carbonyl reductase type-4 (CBR4, beta-subunit of the KAR complex) and for its 3-ketoacyl-ACP reductase activity, thereby participating in mitochondrial fatty acid biosynthesis. Catalyzes the NAD-dependent conversion of (3R)-3-hydroxyacyl-CoA into 3-ketoacyl-CoA (3-oxoacyl-CoA) with no chain length preference, this enzymatic activity is not needed for the KAR function. Prefers (3R)-3-hydroxyacyl-CoA over (3S)-3-hydroxyacyl-CoA and displays enzymatic activity only in the presence of NAD+(H).
储存条件
储存条件:储存条件在:-20℃下储存一年, 避免反复冻融.
储存缓冲液:含0.15% ProClin300防腐剂, 100 μg/mL牛血清白蛋白和50%甘油的磷酸盐缓冲液.
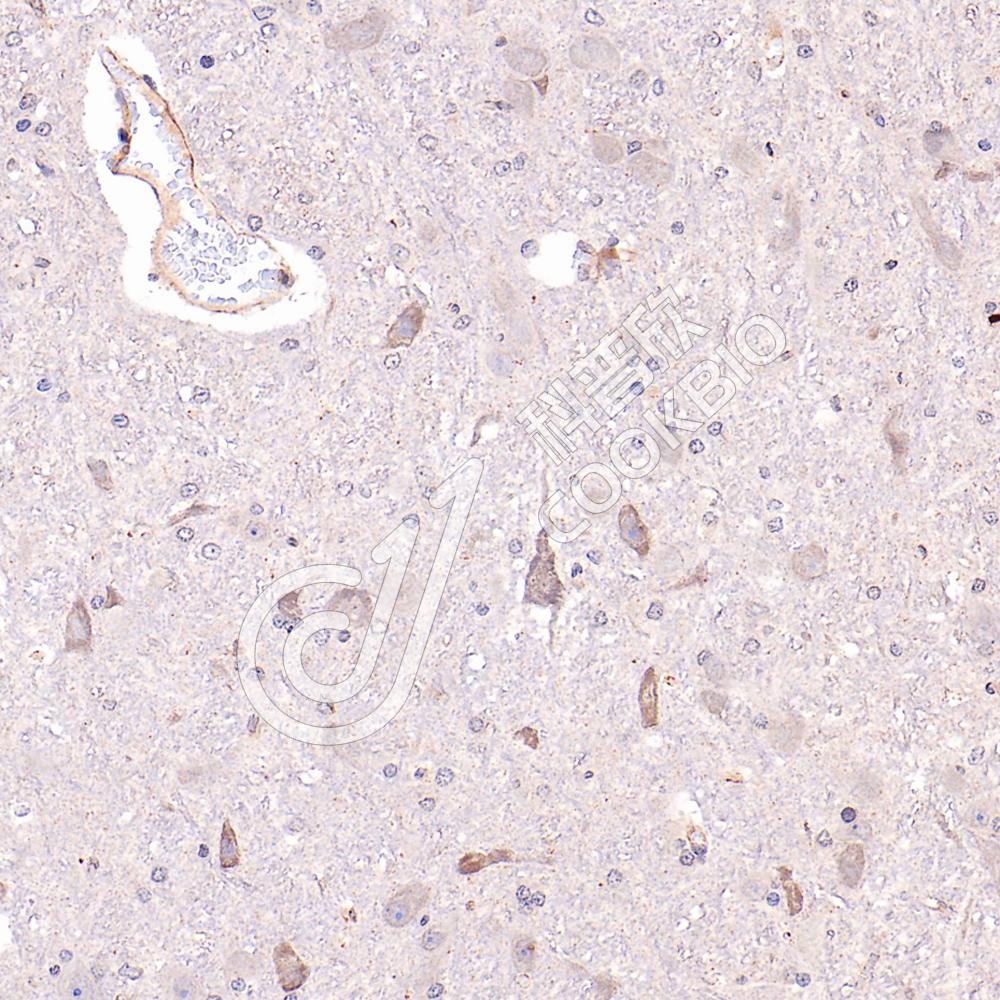
图像
IHC检测HSD17B8蛋白(货号 K1344412).
样品: 小鼠脑, 4%多聚甲醛 (货号KSG1101) 固定12-24小时.
抗原修复: 柠檬酸抗原修复液(干粉, pH 6.0) (KSG1201), 98℃, 20分钟.
—抗: 1: 2000稀释, 4℃ 孵育过夜.
二抗: S-vision免疫组化多聚二抗(山羊抗兔),即用型 (货号KB3906), 室温孵育20分钟.
IHC检测HSD17B8蛋白(货号 K1344412).
样品: 大鼠小脑, 4%多聚甲醛 (货号KSG1101) 固定12-24小时.
抗原修复: 柠檬酸抗原修复液(干粉, pH 6.0) (KSG1201), 98℃, 20分钟.
—抗: 1: 2000稀释, 4℃ 孵育过夜.
二抗: S-vision免疫组化多聚二抗(山羊抗兔),即用型 (货号KB3906), 室温孵育20分钟.

需要技术支持?

如果您有任何问题或如果您在实验过程中遇到问题,或需要更详细的技术指导,请联系我们的技术支持团队
电话 400-6027-270

联系我们

如果您对我们的公司或产品有任何疑问,欢迎随时联系我们