tel 400-6027-270
Main Image
Anti-Lamin B1 兔多克隆抗体
¥1900
加入对比
货号: K1347145-100
预测分子量: 66 kDa
观测分子量: 25/45/66-70 kDa
亚细胞定位: 细胞核
别名: LMNB1,LMN2,LMNB,ADLD,LMN
应用 | 种属
WB H,M,R
IHC/IF H,M,R
规格:
产品信息
蛋白质全称 核纤层蛋白B1
别名 LMNB1,LMN2,LMNB,ADLD,LMN
Uniprot ID P20700
免疫原 人Lamin B1重组蛋白
抗体亚型 IgG
纯化方式 亲和纯化
亚细胞定位 细胞核
预测分子量./观测分子量. 66 kDa / 25/45/66-70 kDa
应用
WB 免疫印迹
物种:人,小鼠,大鼠
稀释比:1:500-1:1000
阳性样品:—
IHC/IF 免疫组织化学/免疫荧光
物种:人,小鼠,大鼠
稀释比:1:100-1:400
阳性样品:肝癌, 胃, 睾丸
背景
Lamins are components of the nuclear lamina, a fibrous layer on the nucleoplasmic side of the inner nuclear membrane, which is thought to provide a framework for the nuclear envelope and may also interact with chromatin. The nuclear lamina consists of a two-dimensional matrix of proteins located next to the inner nuclear membrane.
储存条件
储存条件:储存条件在:-20℃下储存一年, 避免反复冻融.
储存缓冲液:含0.15% ProClin300防腐剂, 100 μg/mL牛血清白蛋白和50%甘油的磷酸盐缓冲液.
图像
IHC检测Lamin B1蛋白(货号 K1347145).
样品: 人肝癌, 4%多聚甲醛 (货号KSG1101) 固定12-24小时.
抗原修复: Tris-EDTA抗原修复液(pH 9.0) (KSG1203), 98℃, 20分钟.
—抗: 1: 300稀释, 4℃ 孵育过夜.
二抗: S-vision免疫组化多聚二抗(山羊抗兔),即用型 (货号KB3906), 室温孵育20分钟.
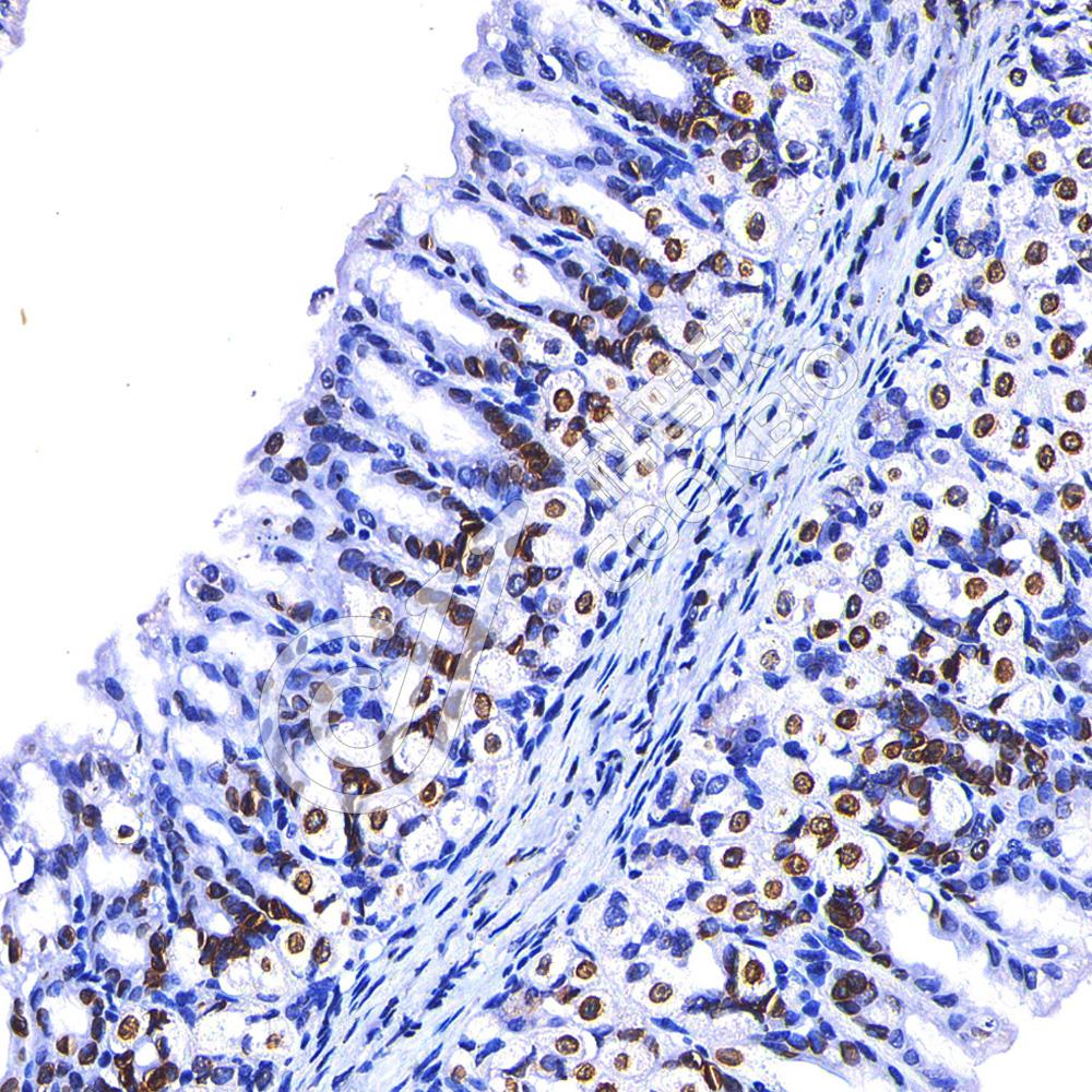
IHC检测Lamin B1蛋白(货号 K1347145).
样品: 小鼠胃, 4%多聚甲醛 (货号KSG1101) 固定12-24小时.
抗原修复: Tris-EDTA抗原修复液(pH 9.0) (KSG1203), 98℃, 20分钟.
—抗: 1: 300稀释, 4℃ 孵育过夜.
二抗: S-vision免疫组化多聚二抗(山羊抗兔),即用型 (货号KB3906), 室温孵育20分钟.
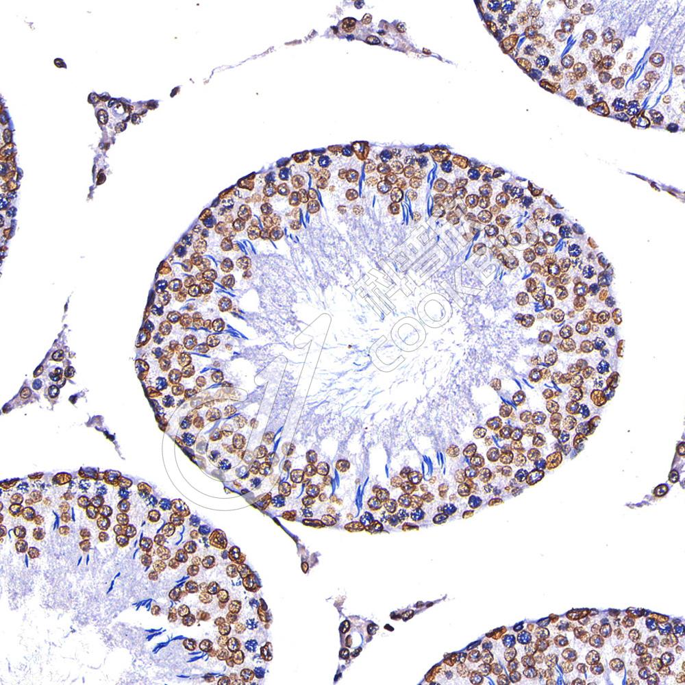
IHC检测Lamin B1蛋白(货号 K1347145).
样品: 大鼠睾丸, 4%多聚甲醛 (货号KSG1101) 固定12-24小时.
抗原修复: Tris-EDTA抗原修复液(pH 9.0) (KSG1203), 98℃, 20分钟.
—抗: 1: 300稀释, 4℃ 孵育过夜.
二抗: S-vision免疫组化多聚二抗(山羊抗兔),即用型 (货号KB3906), 室温孵育20分钟.

需要技术支持?

如果您有任何问题或如果您在实验过程中遇到问题,或需要更详细的技术指导,请联系我们的技术支持团队
电话 400-6027-270

联系我们

如果您对我们的公司或产品有任何疑问,欢迎随时联系我们