tel 400-6027-270
Main Image
Anti-NF-κB p65 小鼠单克隆抗体
¥1900
加入对比
货号: K238991-100
预测分子量: 65 kDa
观测分子量: 65 kDa
亚细胞定位: 细胞质, 细胞核
别名: RELA,NFKB3,p65,RELA proto-oncogene,NF-kB subunit
应用 | 种属
WB H,M,R
IHC/IF M,R
规格:
产品信息
蛋白质全称 转录因子p65
别名 RELA,NFKB3,p65,RELA proto-oncogene,NF-kB subunit
Uniprot ID Q04207
免疫原 小鼠Nuclear factor NF-kappa-B p65 subunit重组蛋白
抗体亚型 IgG2b, κ
克隆号 7B9B4
纯化方式 亲和纯化
亚细胞定位 细胞质, 细胞核
预测分子量./观测分子量. 65 kDa / 65 kDa
应用
WB 免疫印迹
物种:人,小鼠,大鼠
稀释比:1:500-1:1000
阳性样品:—
IHC/IF 免疫组织化学/免疫荧光
物种:小鼠,大鼠
稀释比:1:500-1:1000
阳性样品:lps(6h)诱导的结肠炎症模型
背景
NF-kappa-B is a pleiotropic transcription factor present in almost all cell types and is the endpoint of a series of signal transduction events that are initiated by a vast array of stimuli related to many biological processes such as inflammation, immunity, differentiation, cell growth, tumorigenesis and apoptosis. NF-kappa-B is a homo- or heterodimeric complex formed by the Rel-like domain-containing proteins RELA/p65, RELB, NFKB1/p105, NFKB1/p50, REL and NFKB2/p52 and the heterodimeric p65-p50 complex appears to be most abundant one.
储存条件
储存条件:储存条件在:-20℃下储存一年, 避免反复冻融.
储存缓冲液:含0.15% ProClin300防腐剂, 100 μg/mL牛血清白蛋白和50%甘油的磷酸盐缓冲液.
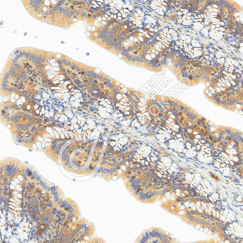
图像
IHC检测NF-κB p65蛋白(货号 K238991).
样品: 小鼠lps(6h)诱导的结肠炎症模型, 4%多聚甲醛 (货号KSG1101) 固定12-24小时.
抗原修复: Tris-EDTA抗原修复液(pH 9.0) (KSG1203), 95℃, 20分钟.
—抗: 1: 800稀释, 4℃ 孵育过夜.
二抗: S-vision免疫组化多聚二抗(山羊抗小鼠), 即用型(货号KB3903), 室温孵育20分钟.
IHC检测NF-κB p65蛋白(货号 K238991).
样品: 大鼠lps(6h)诱导的结肠炎症模型, 4%多聚甲醛 (货号KSG1101) 固定12-24小时.
抗原修复: Tris-EDTA抗原修复液(pH 9.0) (KSG1203), 95℃, 20分钟.
—抗: 1: 800稀释, 4℃ 孵育过夜.
二抗: S-vision免疫组化多聚二抗(山羊抗小鼠), 即用型(货号KB3903), 室温孵育20分钟.

需要技术支持?

如果您有任何问题或如果您在实验过程中遇到问题,或需要更详细的技术指导,请联系我们的技术支持团队
电话 400-6027-270

联系我们

如果您对我们的公司或产品有任何疑问,欢迎随时联系我们