tel 400-6027-270
Main Image
Recombinant Anti-Claudin18.2 antibody (兔单克隆抗体)
¥1900
加入对比
货号: K545198-100
亚细胞定位: 细胞膜
别名: claudin 18,CLDN18,SFTA5,SFTPJ
应用 | 种属
IHC/IF H,M,R
规格:
产品信息
蛋白质全称 紧密连接蛋白18
别名 claudin 18,CLDN18,SFTA5,SFTPJ
Uniprot ID P56856-2
免疫原 KLH偶联的人claudin18.2合成肽
抗体亚型 IgG
克隆号 SB412
纯化方式 亲和纯化
亚细胞定位 细胞膜
应用
IHC/IF 免疫组织化学/免疫荧光
物种:人, 小鼠, 大鼠
稀释比:1:500-1:1500
阳性样品:胃
背景
Plays a major role in tight junction-specific obliteration of the intercellular space, through calcium-independent cell-adhesion activity.
储存条件
储存条件:储存条件在:-20℃下储存一年, 避免反复冻融.
储存缓冲液:含0.15% ProClin300防腐剂, 100 μg/mL牛血清白蛋白和50%甘油的磷酸盐缓冲液.
图像
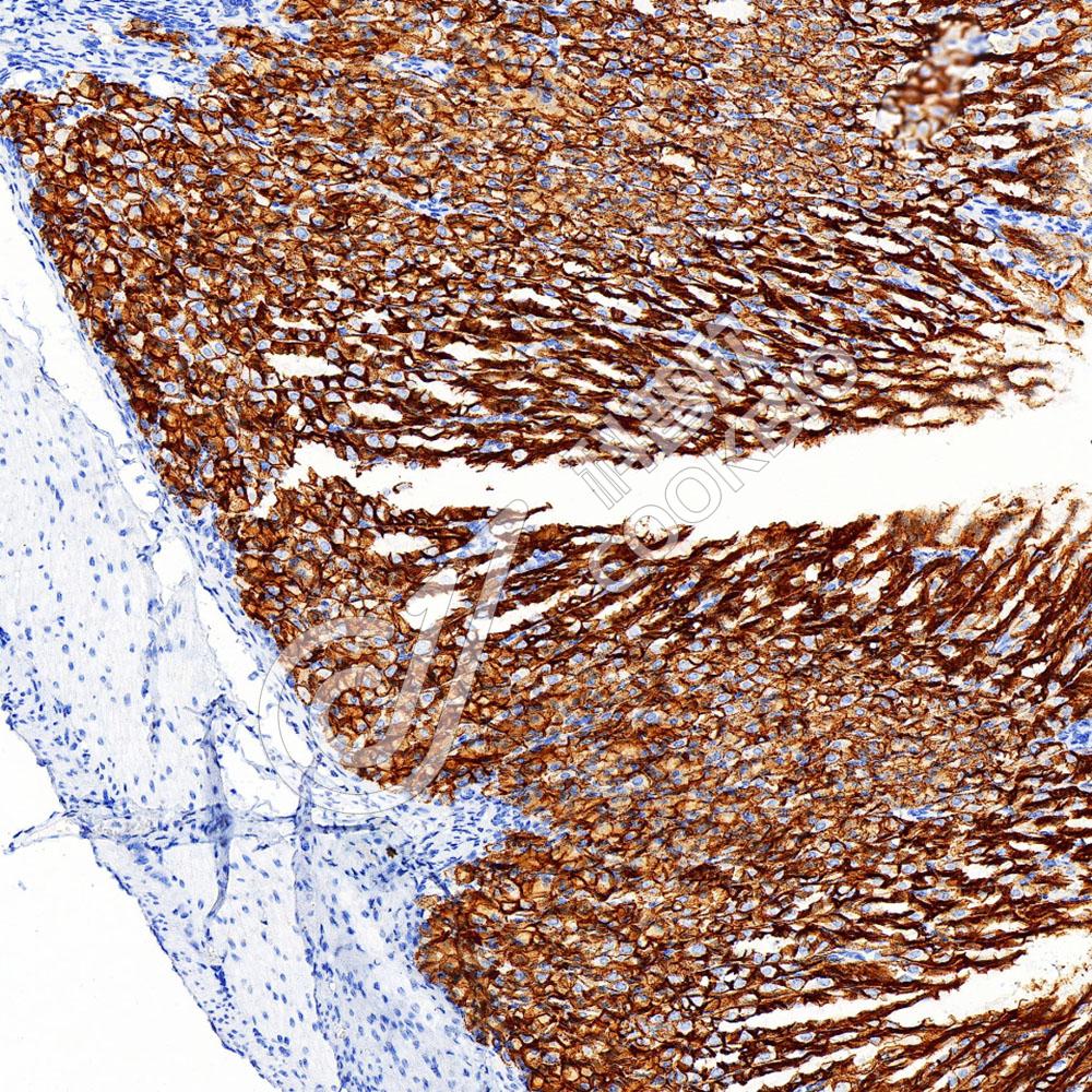
IHC检测Claudin18.
2蛋白(货号 K545198).
样品: 人胃, 4%多聚甲醛 (货号KSG1101) 固定12-24小时.
抗原修复: Tris-EDTA抗原修复液(pH 9.0) (KSG1203), 100℃, 25分钟.
—抗: 1: 1000稀释, 4℃ 孵育过夜.
二抗: S-vision免疫组化多聚二抗(山羊抗兔),即用型 (货号KB3906), 室温孵育20分钟.
IHC检测Claudin18.
2蛋白(货号 K545198).
样品: 小鼠胃, 4%多聚甲醛 (货号KSG1101) 固定12-24小时.
抗原修复: Tris-EDTA抗原修复液(pH 9.0) (KSG1203), 100℃, 25分钟.
—抗: 1: 1000稀释, 4℃ 孵育过夜.
二抗: S-vision免疫组化多聚二抗(山羊抗兔),即用型 (货号KB3906), 室温孵育20分钟.

需要技术支持?

如果您有任何问题或如果您在实验过程中遇到问题,或需要更详细的技术指导,请联系我们的技术支持团队
电话 400-6027-270

联系我们

如果您对我们的公司或产品有任何疑问,欢迎随时联系我们