tel 400-6027-270
Main Image
Anti-c-Jun 兔多克隆抗体
¥1900
加入对比
货号: K133213-100
亚细胞定位: 细胞核
别名: Activator protein 1,AP1,Proto-oncogene c-Jun,V-jun avian sarcoma virus 17 oncogene homolog,p39,JUN,Transcription factor AP-1,Proto oncogene cJun,AP-1 transcription factor subunit
应用 | 种属
IHC/IF H,M,R
规格:
产品信息
蛋白质全称 转录因子AP-1
别名 Activator protein 1,AP1,Proto-oncogene c-Jun,V-jun avian sarcoma virus 17 oncogene homolog,p39,JUN,Transcription factor AP-1,Proto oncogene cJun,AP-1 transcription factor subunit
Uniprot ID P05627
免疫原 KLH偶联的小鼠c-Jun合成肽
抗体亚型 IgG
纯化方式 亲和纯化
亚细胞定位 细胞核
应用
IHC/IF 免疫组织化学/免疫荧光
物种:人,小鼠,大鼠
稀释比:1:1000-1:4000
阳性样品:肾, 肺癌
背景
c-Jun is a protein that in humans is encoded by the JUN gene. c-Jun in combination with c-Fos, forms the AP-1early response transcription factor. It was first identified as the Fos-binding protein p39 and only later rediscovered as the product of the c-jun gene. It is activated through double phosphorylation by the JNK pathway but has also a phosphorylation-independent function. c-jun knockout is lethal, but transgenic animalswith a mutated c-jun that cannot be phosphorylated (termed c-junAA) can survive.
储存条件
储存条件:储存条件在:-20℃下储存一年, 避免反复冻融.
储存缓冲液:含0.15% ProClin300防腐剂, 100 μg/mL牛血清白蛋白和50%甘油的磷酸盐缓冲液.
图像
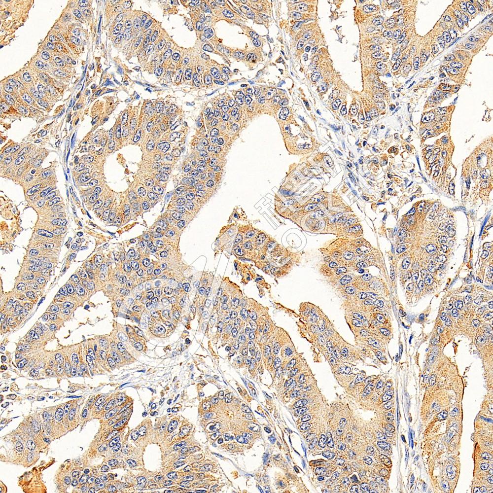
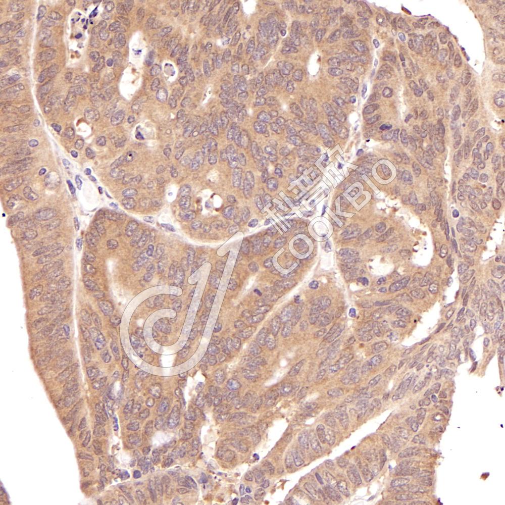
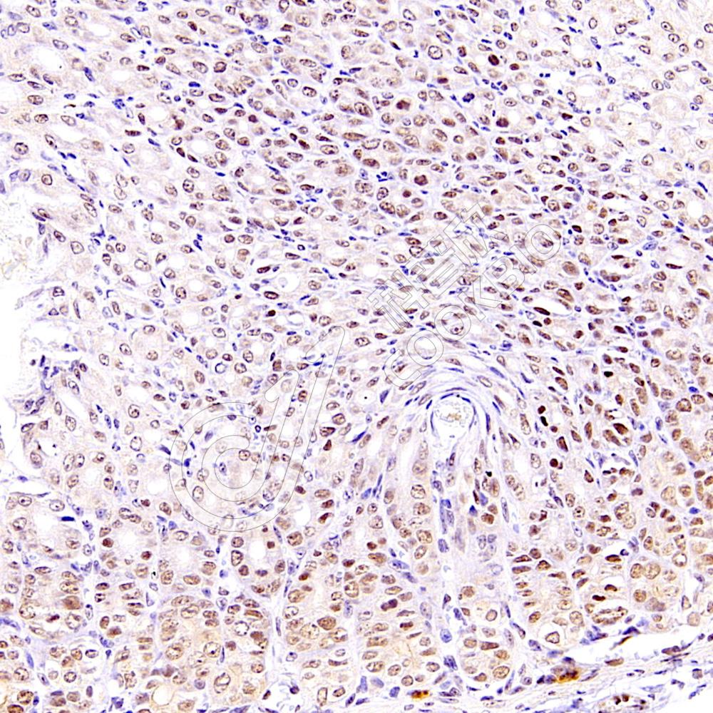
IHC检测c-Jun蛋白(货号 K133213).
样品: 人肺癌, 4%多聚甲醛 (货号KSG1101) 固定12-24小时.
抗原修复: 柠檬酸抗原修复液(干粉, pH 6.0) (KSG1201), 98℃, 20分钟.
—抗: 1: 2500稀释, 4℃ 孵育过夜.
二抗: S-vision免疫组化多聚二抗(山羊抗兔),即用型 (货号KB3906), 室温孵育20分钟.
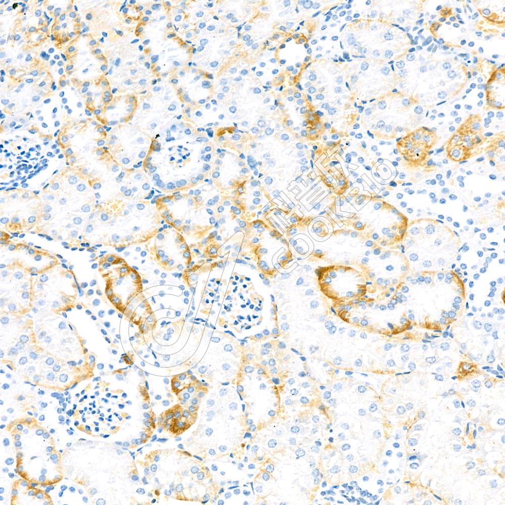
IHC检测c-Jun蛋白(货号 K133213).
样品: 大鼠肾, 4%多聚甲醛 (货号KSG1101) 固定12-24小时.
抗原修复: 柠檬酸抗原修复液(干粉, pH 6.0) (KSG1201), 98℃, 20分钟.
—抗: 1: 2500稀释, 4℃ 孵育过夜.
二抗: S-vision免疫组化多聚二抗(山羊抗兔),即用型 (货号KB3906), 室温孵育20分钟.

需要技术支持?

如果您有任何问题或如果您在实验过程中遇到问题,或需要更详细的技术指导,请联系我们的技术支持团队
电话 400-6027-270

联系我们

如果您对我们的公司或产品有任何疑问,欢迎随时联系我们