tel 400-6027-270
Main Image
Anti-MyD88 兔多克隆抗体
¥1900
加入对比
货号: K133807-100
亚细胞定位: 细胞核, 细胞质
别名: MYD88,MYD88D,mutant myeloid differentiation primary response 88,myeloid differentiation primary response gene (88)
应用 | 种属
IHC/IF M,R
规格:
产品信息
蛋白质全称 髓样分化初级反应蛋白MyD88
别名 MYD88,MYD88D,mutant myeloid differentiation primary response 88,myeloid differentiation primary response gene (88)
Uniprot ID P22366
免疫原 KLH偶联的小鼠MyD88合成肽
抗体亚型 IgG
纯化方式 亲和纯化
亚细胞定位 细胞核, 细胞质
应用
IHC/IF 免疫组织化学/免疫荧光
物种:小鼠,大鼠
稀释比:1:100-1:400
阳性样品:lps(24h)诱导肾脏炎症模型, lps(24h)肺诱导炎症模型
背景
MYD88 is a cytosolic adapter protein that plays a central role in the innate and adaptive immune response. MYD88 is the key adaptor protein for the Toll/IL-1R and is involved in the inflammatory response induced by IL-1, IL-18 and LPS, which are essential for innate immunity and pathogen-associated molecular pattern recognition. Mutations in the MyD88 gene lead to the development of cancer in humans and mice suggesting that MyD88 also plays a cell autonomous role in tissue homeostasis.
储存条件
储存条件:储存条件在:-20℃下储存一年, 避免反复冻融.
储存缓冲液:含0.15% ProClin300防腐剂, 100 μg/mL牛血清白蛋白和50%甘油的磷酸盐缓冲液.
图像
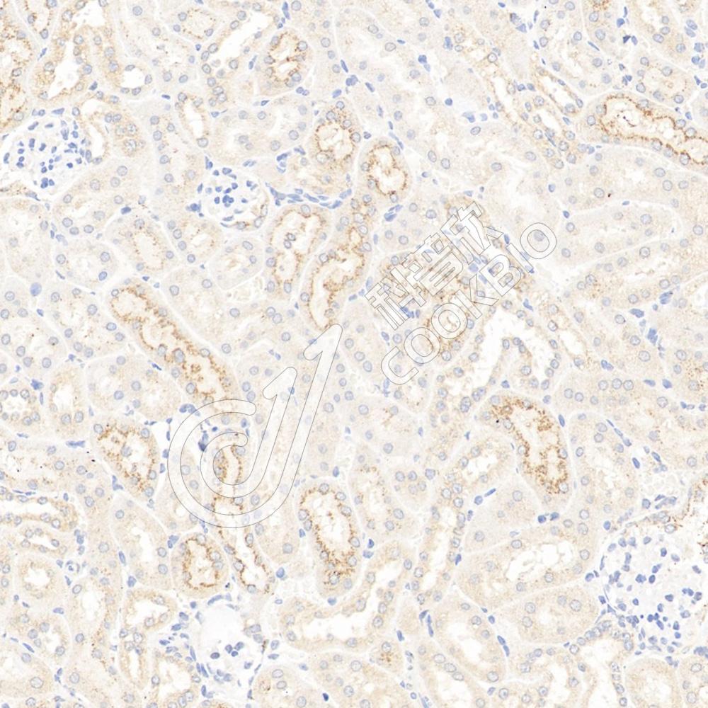
IHC检测MyD88蛋白(货号 K133807).
样品: 小鼠lps(24h)诱导肾脏炎症模型, 4%多聚甲醛 (货号KSG1101) 固定12-24小时.
抗原修复: 柠檬酸抗原修复液(干粉, pH 6.0) (KSG1201), 98℃, 20分钟.
—抗: 1: 300稀释, 4℃ 孵育过夜.
二抗: S-vision免疫组化多聚二抗(山羊抗兔),即用型 (货号KB3906), 室温孵育20分钟.
IHC检测MyD88蛋白(货号 K133807).
样品: 大鼠lps(24h)肺诱导炎症模型, 4%多聚甲醛 (货号KSG1101) 固定12-24小时.
抗原修复: 柠檬酸抗原修复液(干粉, pH 6.0) (KSG1201), 98℃, 20分钟.
—抗: 1: 300稀释, 4℃ 孵育过夜.
二抗: S-vision免疫组化多聚二抗(山羊抗兔),即用型 (货号KB3906), 室温孵育20分钟.

需要技术支持?

如果您有任何问题或如果您在实验过程中遇到问题,或需要更详细的技术指导,请联系我们的技术支持团队
电话 400-6027-270

联系我们

如果您对我们的公司或产品有任何疑问,欢迎随时联系我们