tel 400-6027-270
Main Image
Anti-P2X3 兔多克隆抗体
¥1900
加入对比
货号: K134044-100
亚细胞定位:
别名: P2RX3,P2X3,purinergic receptor P2X 3,ATP receptor,P2X purinoceptor 3,Purinergic receptor
应用 | 种属
IHC/IF M,R
规格:
产品信息
蛋白质全称 P2X嘌呤受体3
别名 P2RX3,P2X3,purinergic receptor P2X 3,ATP receptor,P2X purinoceptor 3,Purinergic receptor
Uniprot ID Q3UR32
免疫原 KLH偶联的小鼠P2X3合成肽
抗体亚型 IgG
纯化方式 亲和纯化
亚细胞定位
应用
IHC/IF 免疫组织化学/免疫荧光
物种:小鼠,大鼠
稀释比:1:1000-1:3000
阳性样品:小肠, 脾
背景
P2X purinoceptor 3 is a protein that in humans is encoded by the P2RX3 gene.The product of this gene belongs to the family of purinoceptors for ATP. This receptor functions as a ligand-gated ion channel and may transduce ATP-evoked nociceptor activation. Mouse studies suggest that this receptor is important for peripheral pain responses, and also participates in pathways controlling urinary bladder volume reflexes, platelet aggregation, macrophage activation, apoptosis and neuronal–glial interactions.
储存条件
储存条件:储存条件在:-20℃下储存一年, 避免反复冻融.
储存缓冲液:含0.15% ProClin300防腐剂, 100 μg/mL牛血清白蛋白和50%甘油的磷酸盐缓冲液.
图像
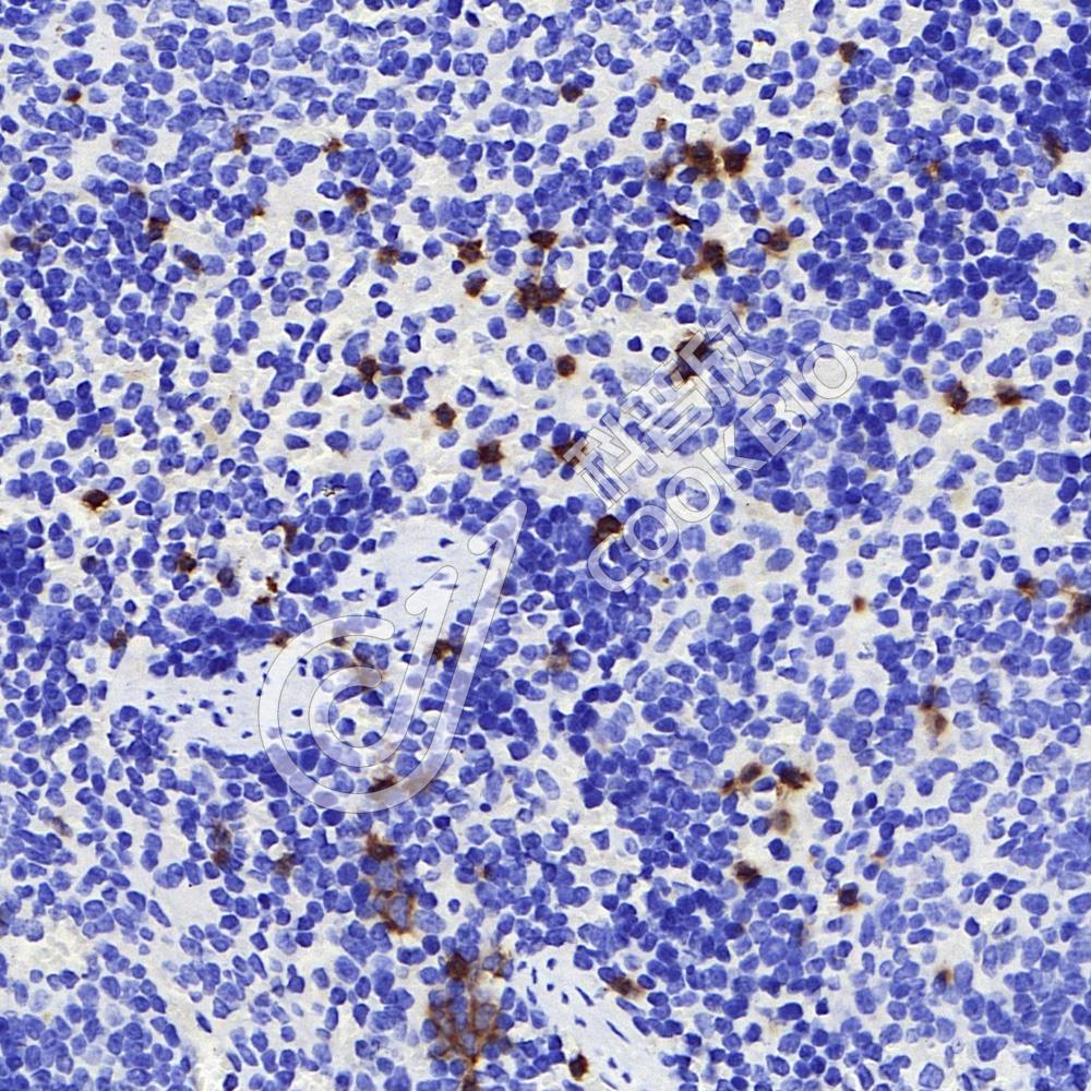
IHC检测P2X3蛋白(货号 K134044).
样品: 小鼠脾, 4%多聚甲醛 (货号KSG1101) 固定12-24小时.
抗原修复: 柠檬酸抗原修复液(干粉, pH 6.0) (KSG1201), 98℃, 20分钟.
—抗: 1: 2000稀释, 4℃ 孵育过夜.
二抗: S-vision免疫组化多聚二抗(山羊抗兔),即用型 (货号KB3906), 室温孵育20分钟.
IHC检测P2X3蛋白(货号 K134044).
样品: 大鼠脾, 4%多聚甲醛 (货号KSG1101) 固定12-24小时.
抗原修复: 柠檬酸抗原修复液(干粉, pH 6.0) (KSG1201), 98℃, 20分钟.
—抗: 1: 2000稀释, 4℃ 孵育过夜.
二抗: S-vision免疫组化多聚二抗(山羊抗兔),即用型 (货号KB3906), 室温孵育20分钟.
IF检测P2X3蛋白(货号 K134044)(红色).
样品: 大鼠小肠, 4%多聚甲醛 (货号KSG1101) 固定12-24小时.
抗原修复: Tris-EDTA抗原修复液(pH 9.0) (KSG1203), 98℃, 20分钟.
封闭: 3% BSA(货号KSGC305010)的PBS溶液, 室温孵育30分钟.
—抗: 1: 2000稀释, 4℃ 孵育过夜.
二抗: Cy3标记山羊抗兔IgG (H+L) (货号KB63909), 1: 300稀释, 室温孵育1小时.

需要技术支持?

如果您有任何问题或如果您在实验过程中遇到问题,或需要更详细的技术指导,请联系我们的技术支持团队
电话 400-6027-270

联系我们

如果您对我们的公司或产品有任何疑问,欢迎随时联系我们