tel 400-6027-270
Main Image
Anti-Adenosine A2b Receptor/ADORA2B 兔多克隆抗体
¥1900
加入对比
货号: K1336783-100
预测分子量: 36 kDa
观测分子量: 55 kDa
亚细胞定位: 细胞膜
别名: Adora2b,Adenosine A2b Receptor,adora 2,Netrin 1 receptor
应用 | 种属
WB M,R
IHC/IF R
规格:
产品信息
蛋白质全称 腺苷受体A2b
别名 Adora2b,Adenosine A2b Receptor,adora 2,Netrin 1 receptor
Uniprot ID Q60614
免疫原 KLH偶联的小鼠ADORA2B合成肽
抗体亚型 IgG
纯化方式 亲和纯化
亚细胞定位 细胞膜
预测分子量./观测分子量. 36 kDa / 55 kDa
应用
WB 免疫印迹
物种:小鼠,大鼠
稀释比:1:250-1:500
阳性样品:—
IHC/IF 免疫组织化学/免疫荧光
物种:大鼠
稀释比:1:100-1:600
阳性样品:肾
背景
This gene encodes an adenosine receptor that is a member of the G protein-coupled receptor superfamily. This integral membrane protein stimulates adenylate cyclase activity in the presence of adenosine. This protein also interacts with netrin-1, which is involved in axon elongation. The gene is located near the Smith-Magenis syndrome region on chromosome 17.
储存条件
储存条件:储存条件在:-20℃下储存一年, 避免反复冻融.
储存缓冲液:含0.15% ProClin300防腐剂, 100 μg/mL牛血清白蛋白和50%甘油的磷酸盐缓冲液.
图像
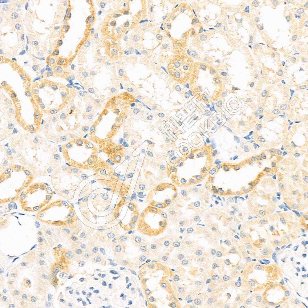
IHC检测Adenosine A2b Receptor/ADORA2B蛋白(货号 K1336783).
样品: 大鼠肾, 4%多聚甲醛 (货号KSG1101) 固定12-24小时.
抗原修复: 柠檬酸抗原修复液(干粉, pH 6.0) (KSG1201), 98℃, 20分钟.
—抗: 1: 400稀释, 4℃ 孵育过夜.
二抗: S-vision免疫组化多聚二抗(山羊抗兔),即用型 (货号KB3906), 室温孵育20分钟.
IHC检测Adenosine A2b Receptor/ADORA2B蛋白(货号 K1336783).
样品: 大鼠肾, 4%多聚甲醛 (货号KSG1101) 固定12-24小时.
抗原修复: 柠檬酸抗原修复液(干粉, pH 6.0) (KSG1201), 98℃, 20分钟.
—抗: 1: 400稀释, 4℃ 孵育过夜.
二抗: S-vision免疫组化多聚二抗(山羊抗兔),即用型 (货号KB3906), 室温孵育20分钟.

需要技术支持?

如果您有任何问题或如果您在实验过程中遇到问题,或需要更详细的技术指导,请联系我们的技术支持团队
电话 400-6027-270

联系我们

如果您对我们的公司或产品有任何疑问,欢迎随时联系我们