tel 400-6027-270
Main Image
Anti-Bcl10 兔多克隆抗体
¥1900
加入对比
货号: K135313-100
亚细胞定位: 细胞质
别名: Bcl10,BCL10,CARMEN,CIPER,CLAP,c-E10,mE10,IMD37,B-cell CLL/lymphoma 10,B cell CLL/lymphoma 10,immune signaling adaptor,BCL10 immune signaling adaptor
应用 | 种属
IHC/IF M,R
规格:
产品信息
蛋白质全称 B细胞淋巴瘤/白血病10
别名 Bcl10,BCL10,CARMEN,CIPER,CLAP,c-E10,mE10,IMD37,B-cell CLL/lymphoma 10,B cell CLL/lymphoma 10,immune signaling adaptor,BCL10 immune signaling adaptor
Uniprot ID Q9Z0H7
免疫原 小鼠Bcl10重组蛋白
抗体亚型 IgG
纯化方式 亲和纯化
亚细胞定位 细胞质
应用
IHC/IF 免疫组织化学/免疫荧光
物种:小鼠,大鼠
稀释比:1:250-1:2500
阳性样品:脑, 小肠, 脾
背景
B-cell lymphoma/leukemia 10 contains a caspase recruitment domain (CARD), and has been shown to induce apoptosis and pro-caspase-9 maturation and to activate NF-kappaB via NIK and IKK. The protein may be an adapter protein between upstream TNFR1-TRADD-RIP complex and the downstream NIK-IKK-IKAP complex. It is reported to interact with other CARD domain containing proteins including CARD9, 10, 11 and 14, which are thought to function as upstream regulators in NF-kappaB signaling. This protein is found to form a complex with the paracaspase MALT1.
储存条件
储存条件:储存条件在:-20℃下储存一年, 避免反复冻融.
储存缓冲液:含0.15% ProClin300防腐剂, 100 μg/mL牛血清白蛋白和50%甘油的磷酸盐缓冲液.
图像
IHC检测Bcl10蛋白(货号 K135313).
样品: 小鼠小肠, 4%多聚甲醛 (货号KSG1101) 固定12-24小时.
抗原修复: 柠檬酸抗原修复液(干粉, pH 6.0) (KSG1201), 98℃, 20分钟.
—抗: 1: 1400稀释, 4℃ 孵育过夜.
二抗: S-vision免疫组化多聚二抗(山羊抗兔),即用型 (货号KB3906), 室温孵育20分钟.
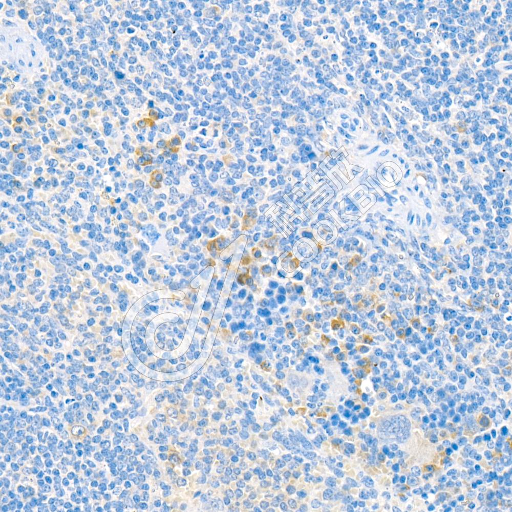
IHC检测Bcl10蛋白(货号 K135313).
样品: 小鼠脾, 4%多聚甲醛 (货号KSG1101) 固定12-24小时.
抗原修复: 柠檬酸抗原修复液(干粉, pH 6.0) (KSG1201), 98℃, 20分钟.
—抗: 1: 1400稀释, 4℃ 孵育过夜.
二抗: S-vision免疫组化多聚二抗(山羊抗兔),即用型 (货号KB3906), 室温孵育20分钟.
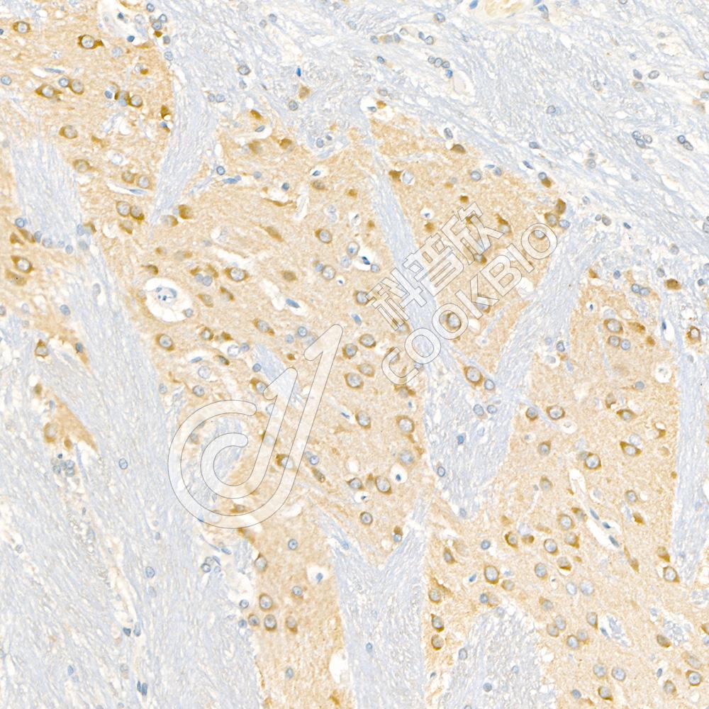
IHC检测Bcl10蛋白(货号 K135313).
样品: 大鼠脑, 4%多聚甲醛 (货号KSG1101) 固定12-24小时.
抗原修复: 柠檬酸抗原修复液(干粉, pH 6.0) (KSG1201), 98℃, 20分钟.
—抗: 1: 1400稀释, 4℃ 孵育过夜.
二抗: S-vision免疫组化多聚二抗(山羊抗兔),即用型 (货号KB3906), 室温孵育20分钟.

需要技术支持?

如果您有任何问题或如果您在实验过程中遇到问题,或需要更详细的技术指导,请联系我们的技术支持团队
电话 400-6027-270

联系我们

如果您对我们的公司或产品有任何疑问,欢迎随时联系我们