tel 400-6027-270
Main Image
Anti-Caspase-3 小鼠单克隆抗体
¥1900
加入对比
货号: K237596-100
预测分子量: 31 kDa
观测分子量: 17/35 kDa
亚细胞定位: 细胞质
别名: Casp3,CASP3,CPP32,CPP32B,SCA-1,Caspase 3
应用 | 种属
WB M
IHC/IF M
规格:
产品信息
蛋白质全称 半胱天冬酶-3
别名 Casp3,CASP3,CPP32,CPP32B,SCA-1,Caspase 3
Uniprot ID P70677
免疫原 小鼠Caspase-3重组蛋白
抗体亚型 IgG2b, κ
克隆号 6E10F5
纯化方式 亲和纯化
亚细胞定位 细胞质
预测分子量./观测分子量. 31 kDa / 17/35 kDa
应用
WB 免疫印迹
物种:小鼠
稀释比:1:500-1:1500
阳性样品:—
IHC/IF 免疫组织化学/免疫荧光
物种:小鼠
稀释比:1:500-1:1500
阳性样品:淋巴结, 脾
背景
Involved in the activation cascade of caspases responsible for apoptosis execution. At the onset of apoptosis it proteolytically cleaves poly(ADP-ribose) polymerase (PARP) at a '216-Asp-|-Gly-217' bond. Cleaves and activates sterol regulatory element binding proteins (SREBPs) between the basic helix-loop-helix leucine zipper domain and the membrane attachment domain. Cleaves and activates caspase-6, -7 and -9. Triggers cell adhesion in sympathetic neurons through RET cleavage (By similarity). Cleaves IL-1 beta between an Asp and an Ala, releasing the mature cytokine which is involved in a variety of inflammatory processes.
储存条件
储存条件:储存条件在:-20℃下储存一年, 避免反复冻融.
储存缓冲液:含0.15% ProClin300防腐剂, 100 μg/mL牛血清白蛋白和50%甘油的磷酸盐缓冲液.
图像
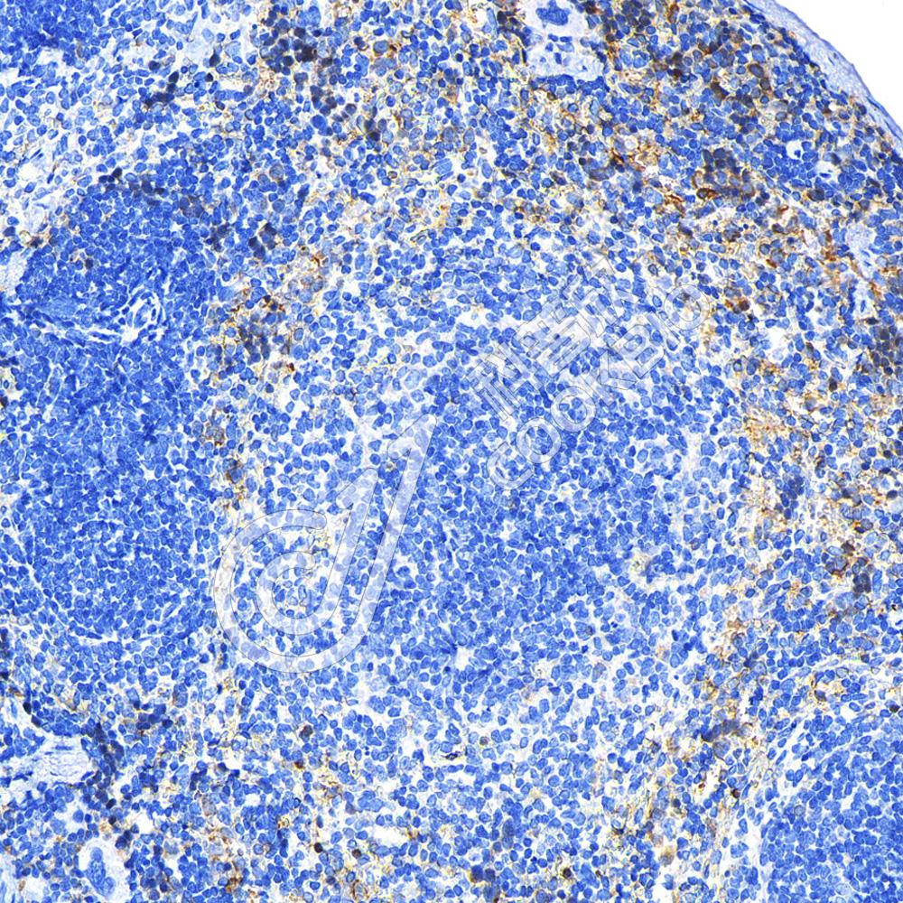
IHC检测Caspase-3蛋白(货号 K237596).
样品: 小鼠淋巴结, 4%多聚甲醛 (货号KSG1101) 固定12-24小时.
抗原修复: 柠檬酸抗原修复液(干粉, pH 6.0) (KSG1201), 高压锅均匀喷气计时2分钟.
—抗: 1: 1000稀释, 4℃ 孵育过夜.
二抗: S-vision免疫组化多聚二抗(山羊抗小鼠), 即用型(货号KB3903), 室温孵育20分钟.
IHC检测Caspase-3蛋白(货号 K237596).
样品: 小鼠 大鼠脾, 4%多聚甲醛 (货号KSG1101) 固定12-24小时.
抗原修复: 柠檬酸抗原修复液(干粉, pH 6.0) (KSG1201), 高压锅均匀喷气计时2分钟.
—抗: 1: 1000稀释, 4℃ 孵育过夜.
二抗: S-vision免疫组化多聚二抗(山羊抗小鼠), 即用型(货号KB3903), 室温孵育20分钟.

需要技术支持?

如果您有任何问题或如果您在实验过程中遇到问题,或需要更详细的技术指导,请联系我们的技术支持团队
电话 400-6027-270

联系我们

如果您对我们的公司或产品有任何疑问,欢迎随时联系我们