tel 400-6027-270
Main Image
Anti-Caspase-7 小鼠单克隆抗体
¥1900
加入对比
货号: K237620-100
预测分子量: 34 kDa
观测分子量: 20/30/35 kDa
亚细胞定位: 细胞质, 细胞核, 分泌型
别名: Apoptotic protease Mch 3,CASP-7,CASP7,Caspase 7,Caspase7,CMH-1,ICE-LAP3,ICE like apoptotic protease 3,MCH3
应用 | 种属
WB H,M,R
IHC/IF H,M,R
规格:
产品信息
蛋白质全称 半胱天蛋白酶-7
别名 Apoptotic protease Mch 3,CASP-7,CASP7,Caspase 7,Caspase7,CMH-1,ICE-LAP3,ICE like apoptotic protease 3,MCH3
Uniprot ID P55210
免疫原 人Caspase-7重组蛋白
抗体亚型 IgG2b, κ
克隆号 5F11G11
纯化方式 亲和纯化
亚细胞定位 细胞质, 细胞核, 分泌型
预测分子量./观测分子量. 34 kDa / 20/30/35 kDa
应用
WB 免疫印迹
物种:人,小鼠,大鼠
稀释比:1:500-1:1000
阳性样品:Jurkat细胞, PC-12细胞
IHC/IF 免疫组织化学/免疫荧光
物种:人,小鼠,大鼠
稀释比:1:1000-1:3000
阳性样品:阑尾, 结肠, 回肠
背景
Caspase 7(CASP7), like caspases 3 and 6, contains a short prodomain and, upon apoptotic induction, the 35 kDa proform is converted into a 30 kDa intermediate or preactive form which is further processed into two active subunits consisting of the p20 or large (18 kDa) subunit and the p10 or small (11 kDa) subunit and it is present in the brain, which is up-regulated and activated after traumatic injury. The protein is involved in the activation cascade of caspases responsible for apoptosis execution.
储存条件
储存条件:储存条件在:-20℃下储存一年, 避免反复冻融.
储存缓冲液:含0.15% ProClin300防腐剂, 100 μg/mL牛血清白蛋白和50%甘油的磷酸盐缓冲液.
图像
WB检测Caspase-7蛋白(货号 K237620).
样品: 经RIPA裂解液(货号KSG2002)处理的蛋白质.
封闭: 3%脱脂牛奶(货号KSGC310001)溶于TBST溶液, 室温孵育1小时.
—抗: 1: 1000稀释, 4℃ 孵育过夜.
二抗: HRP标记山羊抗小鼠IgG (H+L) (货号KB69903), 1: 5000稀释, 室温孵育1小时.
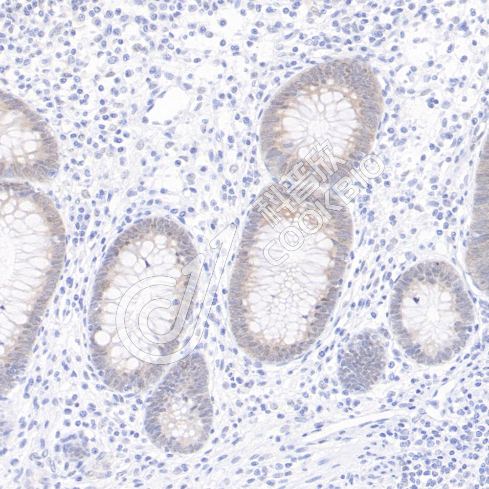
IHC检测Caspase-7蛋白(货号 K237620).
样品: 人阑尾, 4%多聚甲醛 (货号KSG1101) 固定12-24小时.
抗原修复: 柠檬酸抗原修复液(干粉, pH 6.0) (KSG1201), 高压锅均匀喷气计时2分钟.
—抗: 1: 2000稀释, 4℃ 孵育过夜.
二抗: S-vision免疫组化多聚二抗(山羊抗小鼠), 即用型(货号KB3903), 室温孵育20分钟.
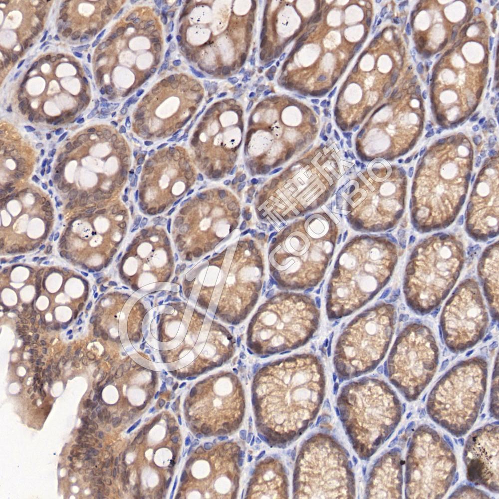
IHC检测Caspase-7蛋白(货号 K237620).
样品: 小鼠结肠, 4%多聚甲醛 (货号KSG1101) 固定12-24小时.
抗原修复: 柠檬酸抗原修复液(干粉, pH 6.0) (KSG1201), 高压锅均匀喷气计时2分钟.
—抗: 1: 2000稀释, 4℃ 孵育过夜.
二抗: S-vision免疫组化多聚二抗(山羊抗小鼠), 即用型(货号KB3903), 室温孵育20分钟.
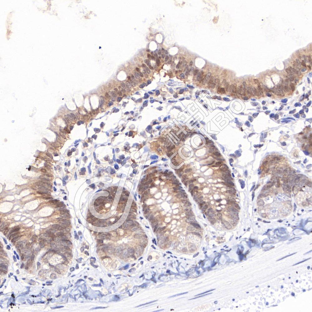
IHC检测Caspase-7蛋白(货号 K237620).
样品: 大鼠回肠, 4%多聚甲醛 (货号KSG1101) 固定12-24小时.
抗原修复: 柠檬酸抗原修复液(干粉, pH 6.0) (KSG1201), 高压锅均匀喷气计时2分钟.
—抗: 1: 2000稀释, 4℃ 孵育过夜.
二抗: S-vision免疫组化多聚二抗(山羊抗小鼠), 即用型(货号KB3903), 室温孵育20分钟.

需要技术支持?

如果您有任何问题或如果您在实验过程中遇到问题,或需要更详细的技术指导,请联系我们的技术支持团队
电话 400-6027-270

联系我们

如果您对我们的公司或产品有任何疑问,欢迎随时联系我们