tel 400-6027-270
Main Image
Recombinant Anti-MLKL antibody (兔单克隆抗体)
¥1900
加入对比
货号: K5467097-100
预测分子量: 54 kDa
观测分子量: 54 kDa
亚细胞定位: 细胞质, 细胞膜, 细胞核
别名: hMLKL,Mixed lineage kinase domain like,Mixed lineage kinase domain like protein,Mixed lineage kinase domain-like protein,mixed lineage kinase domain like pseudokinase
应用 | 种属
WB H,M,R
IHC/IF H
规格:
产品信息
蛋白质全称 混合谱系激酶结构域样蛋白
别名 hMLKL,Mixed lineage kinase domain like,Mixed lineage kinase domain like protein,Mixed lineage kinase domain-like protein,mixed lineage kinase domain like pseudokinase
Uniprot ID Q8NB16
免疫原 人MLKL重组蛋白
抗体亚型 IgG
克隆号 SB386
纯化方式 亲和纯化
亚细胞定位 细胞质, 细胞膜, 细胞核
预测分子量./观测分子量. 54 kDa / 54 kDa
应用
WB 免疫印迹
物种:人,小鼠,大鼠
稀释比:1:1000-1:2000
阳性样品:—
IHC/IF 免疫组织化学/免疫荧光
物种:人
稀释比:1:500-1:1500
阳性样品:结肠癌, 卵巢癌
背景
This gene belongs to the protein kinase superfamily. The encoded protein contains a protein kinase-like domain; however, is thought to be inactive because it lacks several residues required for activity. This protein plays a critical role in tumor necrosis factor (TNF)-induced necroptosis, a programmed cell death process, via interaction with receptor-interacting protein 3 (RIP3), which is a key signaling molecule in necroptosis pathway. Inhibitor studies and knockdown of this gene inhibited TNF-induced necrosis. High levels of this protein and RIP3 are associated with inflammatory bowel disease in children. Alternatively spliced transcript variants have been described for this gene.
储存条件
储存条件:储存条件在:-20℃下储存一年, 避免反复冻融.
储存缓冲液:含0.15% ProClin300防腐剂, 100 μg/mL牛血清白蛋白和50%甘油的磷酸盐缓冲液.
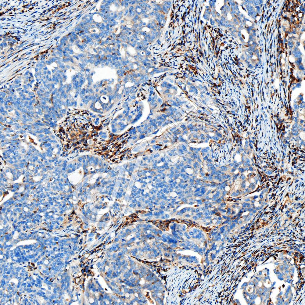
图像
IHC检测MLKL蛋白(货号 K5467097).
样品: 人结肠癌, 4%多聚甲醛 (货号KSG1101) 固定12-24小时.
抗原修复: 柠檬酸抗原修复液(干粉, pH 6.0) (KSG1201), 高压锅均匀喷气计时2分钟.
—抗: 1: 1000稀释, 4℃ 孵育过夜.
二抗: S-vision免疫组化多聚二抗(山羊抗兔),即用型 (货号KB3906), 室温孵育20分钟.
IHC检测MLKL蛋白(货号 K5467097).
样品: 人卵巢癌, 4%多聚甲醛 (货号KSG1101) 固定12-24小时.
抗原修复: 柠檬酸抗原修复液(干粉, pH 6.0) (KSG1201), 高压锅均匀喷气计时2分钟.
—抗: 1: 1000稀释, 4℃ 孵育过夜.
二抗: S-vision免疫组化多聚二抗(山羊抗兔),即用型 (货号KB3906), 室温孵育20分钟.

需要技术支持?

如果您有任何问题或如果您在实验过程中遇到问题,或需要更详细的技术指导,请联系我们的技术支持团队
电话 400-6027-270

联系我们

如果您对我们的公司或产品有任何疑问,欢迎随时联系我们