tel 400-6027-270
Main Image
Recombinant Anti-Mannose Receptor/CD206 antibody (兔单克隆抗体)
¥1900
加入对比
货号: K5465819-100
预测分子量: 166 kDa
观测分子量: 170-200 kDa
亚细胞定位: 内体膜, 细胞膜
别名: CD206,CLEC13D,Macrophage mannose receptor 1,Mannose receptor,mannose receptor,C type 1,MMR,MRC1
应用 | 种属
WB H,R
IHC/IF H,R
规格:
产品信息
蛋白质全称 巨噬细胞甘露糖受体1
别名 CD206,CLEC13D,Macrophage mannose receptor 1,Mannose receptor,mannose receptor,C type 1,MMR,MRC1
Uniprot ID P22897
免疫原 人CD206重组蛋白
抗体亚型 IgG
克隆号 SB621
纯化方式 亲和纯化
亚细胞定位 内体膜, 细胞膜
预测分子量./观测分子量. 166 kDa / 170-200 kDa
应用
WB 免疫印迹
物种:人,大鼠
稀释比:1:1000-1:2000
阳性样品:—
IHC/IF 免疫组织化学/免疫荧光
物种:人,大鼠
稀释比:1:2000-1:6000
阳性样品:肺
背景
CD206, also named as MMR, CLEC13D and MRC1, is a type I membrane receptor that mediates the endocytosis of glycoproteins by macrophages. CD206 has been shown to bind high-mannose structures on the surface of potentially pathogenic viruses, bacteria, and fungi so that they can be neutralized by phagocytic engulfment. CD206 is a 170 kDa transmembrane glycoprotein which contains 5 domains: an amino-terminal cysteine-rich region, a fibronectin type II repeat, a series of eight tandem lectin-like carbohydrate recognition domains (responsible for the recognition of mannose and fucose).
储存条件
储存条件:储存条件在:-20℃下储存一年, 避免反复冻融.
储存缓冲液:含0.15% ProClin300防腐剂, 100 μg/mL牛血清白蛋白和50%甘油的磷酸盐缓冲液.
图像
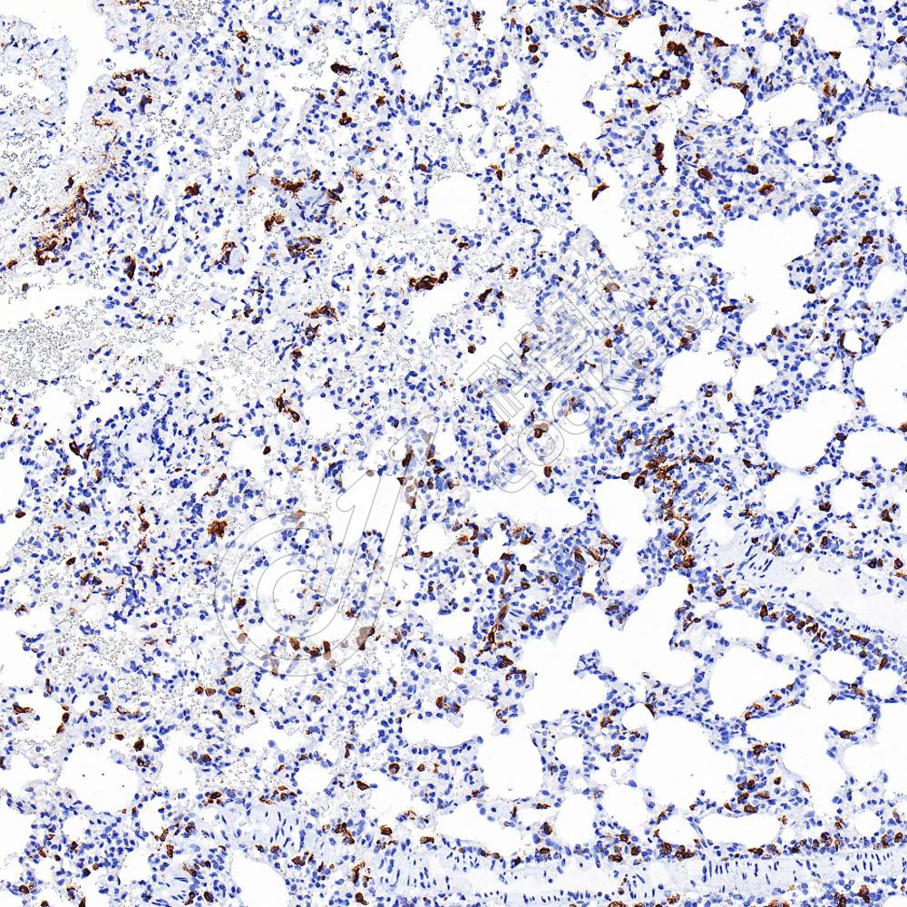
IHC检测Mannose Receptor/CD206蛋白(货号 K5465819).
样品: 人肺, 4%多聚甲醛 (货号KSG1101) 固定12-24小时.
抗原修复: Tris-EDTA抗原修复液(pH 9.0) (货号KSG1203), 水浴100℃, 25分钟.
—抗: 1: 4000稀释, 4℃ 孵育过夜.
二抗: S-vision免疫组化多聚二抗(山羊抗兔),即用型 (货号KB3906), 室温孵育20分钟.
IHC检测Mannose Receptor/CD206蛋白(货号 K5465819).
样品: 大鼠肺, 4%多聚甲醛 (货号KSG1101) 固定12-24小时.
抗原修复: Tris-EDTA抗原修复液(pH 9.0) (货号KSG1203), 水浴100℃, 25分钟.
—抗: 1: 4000稀释, 4℃ 孵育过夜.
二抗: S-vision免疫组化多聚二抗(山羊抗兔),即用型 (货号KB3906), 室温孵育20分钟.
ICC检测Mannose Receptor/CD206蛋白(货号 K5465819)(红色).
样品: HeLa细胞, 4%多聚甲醛 (货号KSG1101) 固定20分钟.
封闭: 3% BSA(货号KSGC305010)的PBS溶液, 室温孵育30分钟.
—抗: 1: 4000稀释, 4℃ 孵育过夜.
二抗: Cy3标记山羊抗兔IgG (H+L) (货号KB63909), 1: 300稀释, 室温孵育1小时.
ICC检测Mannose Receptor/CD206蛋白(货号 K5465819)(红色).
样品: NIH3T3细胞, 4%多聚甲醛 (货号KSG1101) 固定20分钟.
封闭: 3% BSA(货号KSGC305010)的PBS溶液, 室温孵育30分钟.
—抗: 1: 4000稀释, 4℃ 孵育过夜.
二抗: Cy3标记山羊抗兔IgG (H+L) (货号KB63909), 1: 300稀释, 室温孵育1小时.
ICC检测Mannose Receptor/CD206蛋白(货号 K5465819)(红色).
样品: pc12细胞, 4%多聚甲醛 (货号KSG1101) 固定20分钟.
封闭: 3% BSA(货号KSGC305010)的PBS溶液, 室温孵育30分钟.
—抗: 1: 4000稀释, 4℃ 孵育过夜.
二抗: Cy3标记山羊抗兔IgG (H+L) (货号KB63909), 1: 300稀释, 室温孵育1小时.

需要技术支持?

如果您有任何问题或如果您在实验过程中遇到问题,或需要更详细的技术指导,请联系我们的技术支持团队
电话 400-6027-270

联系我们

如果您对我们的公司或产品有任何疑问,欢迎随时联系我们