tel 400-6027-270
Main Image
Recombinant Anti-MUC2 antibody (兔单克隆抗体)
¥1900
加入对比
货号: K5450522-100
预测分子量: 550 KDa
观测分子量: 250-350 kDa
亚细胞定位: 分泌型
别名: MUC2,MLP,MUC-2,SMUC,mucin 2,oligomeric mucus/gel-forming,Intestinal mucin 2,MUC 2,Mucin 2
应用 | 种属
WB M,R
IHC/IF H,M,R
规格:
产品信息
蛋白质全称 粘蛋白2
别名 MUC2,MLP,MUC-2,SMUC,mucin 2,oligomeric mucus/gel-forming,Intestinal mucin 2,MUC 2,Mucin 2
Uniprot ID Q02817
免疫原 人MUC2重组蛋白
抗体亚型 IgG
克隆号 SB628
纯化方式 亲和纯化
亚细胞定位 分泌型
预测分子量./观测分子量. 550 KDa / 250-350 kDa
应用
WB 免疫印迹
物种:小鼠,大鼠
稀释比:1:250-1:500
阳性样品:—
IHC/IF 免疫组织化学/免疫荧光
物种:人,小鼠,大鼠
稀释比:1:2000-1:4000
阳性样品:结肠, 小肠
背景
This gene encodes a member of the mucin protein family. The protein encoded by this gene, also called mucin 2, is secreted onto mucosal surfaces.Mucin 2 is particularly prominent in the gut where it is secreted from goblet cells in the epithelial lininginto the lumen of the large intestine. There, mucin 2, along with small amounts of related-mucin proteins,polymerizes into a gel of which 80% by weight is oligosaccharide side-chains that are added as post-translational modifications to the mucin proteins.
储存条件
储存条件:储存条件在:-20℃下储存一年, 避免反复冻融.
储存缓冲液:含0.15% ProClin300防腐剂, 100 μg/mL牛血清白蛋白和50%甘油的磷酸盐缓冲液.
图像
IHC检测MUC2蛋白(货号 K5450522).
样品: 人结肠, 4%多聚甲醛 (货号KSG1101) 固定12-24小时.
抗原修复: Tris-EDTA抗原修复液(pH 9.0) (货号KSG1203), 水浴100℃, 25分钟.
—抗: 1: 3000稀释, 4℃ 孵育过夜.
二抗: S-vision免疫组化多聚二抗(山羊抗兔),即用型 (货号KB3906), 室温孵育20分钟.
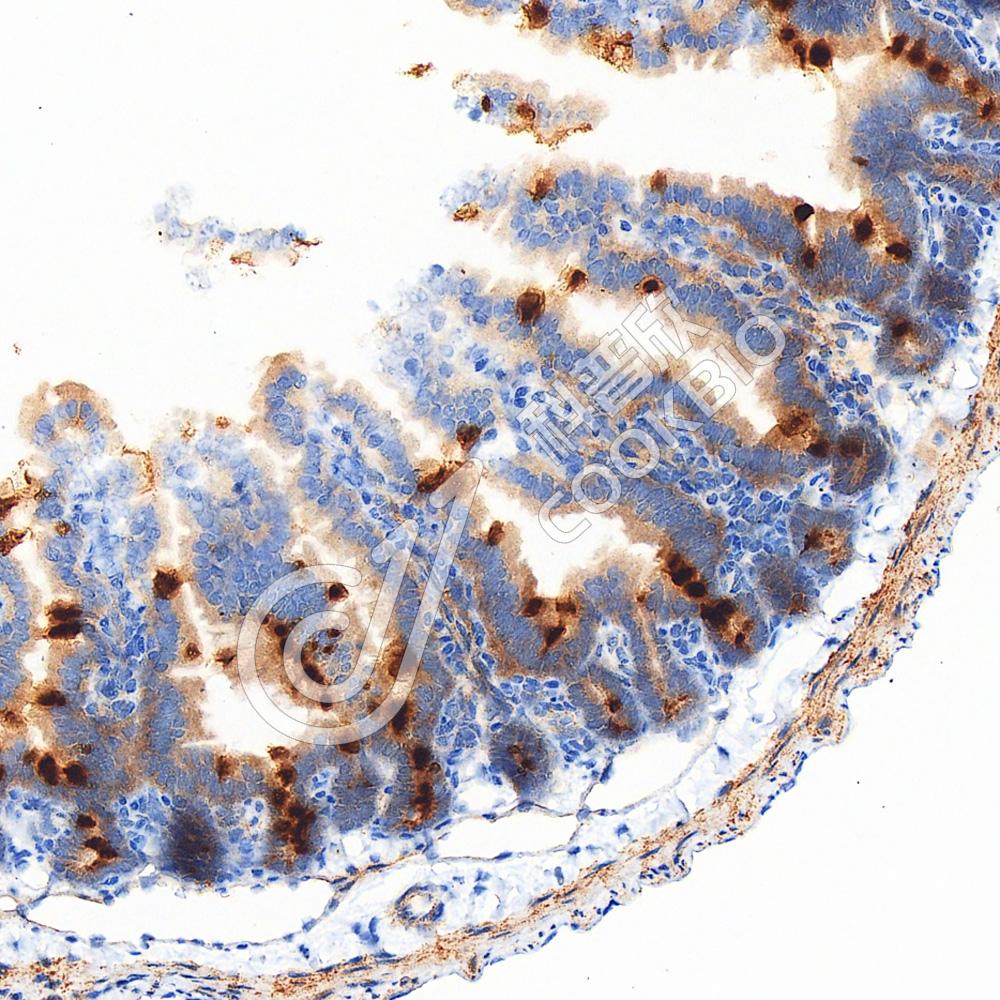
IHC检测MUC2蛋白(货号 K5450522).
样品: 小鼠小肠, 4%多聚甲醛 (货号KSG1101) 固定12-24小时.
抗原修复: Tris-EDTA抗原修复液(pH 9.0) (货号KSG1203), 水浴100℃, 25分钟.
—抗: 1: 3000稀释, 4℃ 孵育过夜.
二抗: S-vision免疫组化多聚二抗(山羊抗兔),即用型 (货号KB3906), 室温孵育20分钟.
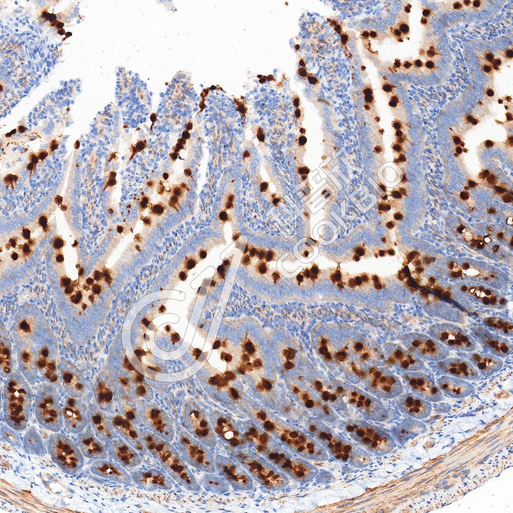
IHC检测MUC2蛋白(货号 K5450522).
样品: 大鼠小肠, 4%多聚甲醛 (货号KSG1101) 固定12-24小时.
抗原修复: Tris-EDTA抗原修复液(pH 9.0) (货号KSG1203), 水浴100℃, 25分钟.
—抗: 1: 3000稀释, 4℃ 孵育过夜.
二抗: S-vision免疫组化多聚二抗(山羊抗兔),即用型 (货号KB3906), 室温孵育20分钟.

需要技术支持?

如果您有任何问题或如果您在实验过程中遇到问题,或需要更详细的技术指导,请联系我们的技术支持团队
电话 400-6027-270

联系我们

如果您对我们的公司或产品有任何疑问,欢迎随时联系我们