tel 400-6027-270
Main Image
Recombinant Anti-Melanoma gp100 antibody (小鼠单克隆抗体)
¥1900
加入对比
货号: K5450480-100
亚细胞定位: 黑色素体, 细胞质
别名: 95 kDa melanocyte specific secreted glycoprotein,95 kDa melanocyte-specific secreted glycoprotein,D12S53E,gp100,M-beta,ME20,ME20 M/ME20 S,ME20-M,ME20-S,ME20M,ME20M/ME20S,ME20S,Melanocyte lineage specific antigen GP100,Melanocyte protein mel 17,Melanocyte protein Pmel 17,Melanocyte protein Pmel 17 precursor,Melanocytes lineage-specific antigen GP100,Melanoma associated ME20 antigen,Melanoma gp100,Melanoma-associated ME20 antigen,Melanosomal matrix protein 17,Melanosomal matrix protein17,P1,p100,p26,PMEL 17,PMEL,Premelanosome protein,Secreted melanoma-associated ME20 antigen,SI,SIL,D12S53E,PMEL17,SILV,PMEL
应用 | 种属
IHC/IF H
规格:
产品信息
蛋白质全称 黑素细胞蛋白PMEL
别名 95 kDa melanocyte specific secreted glycoprotein,95 kDa melanocyte-specific secreted glycoprotein,D12S53E,gp100,M-beta,ME20,ME20 M/ME20 S,ME20-M,ME20-S,ME20M,ME20M/ME20S,ME20S,Melanocyte lineage specific antigen GP100,Melanocyte protein mel 17,Melanocyte protein Pmel 17,Melanocyte protein Pmel 17 precursor,Melanocytes lineage-specific antigen GP100,Melanoma associated ME20 antigen,Melanoma gp100,Melanoma-associated ME20 antigen,Melanosomal matrix protein 17,Melanosomal matrix protein17,P1,p100,p26,PMEL 17,PMEL,Premelanosome protein,Secreted melanoma-associated ME20 antigen,SI,SIL,D12S53E,PMEL17,SILV,PMEL
Uniprot ID P40967
免疫原 人Melanoma gp100重组蛋白
抗体亚型 IgG1
克隆号 SB580
纯化方式 亲和纯化
亚细胞定位 黑色素体, 细胞质
应用
IHC/IF 免疫组织化学/免疫荧光
物种:人
稀释比:1:500-1:1500
阳性样品:黑色素瘤
背景
Forms physiological amyloids that play a central role in melanosome morphogenesis and pigmentation. The maturation of unpigmented premelanosomes from stage I to II is marked by assembly of processed amyloidogenic fragments into parallel fibrillar sheets, which elongate the vesicle into a striated ellipsoidal shape. In pigmented stage III and IV melanosomes, the amyloid matrix serves as a platform where eumelanin precursors accumulate at high local concentrations for pigment formation. May prevent pigmentation-associated toxicity by sequestering toxic reaction intermediates of eumelanin biosynthesis pathway.
储存条件
储存条件:储存条件在:-20℃下储存一年, 避免反复冻融.
储存缓冲液:含0.15% ProClin300防腐剂, 100 μg/mL牛血清白蛋白和50%甘油的磷酸盐缓冲液.
图像
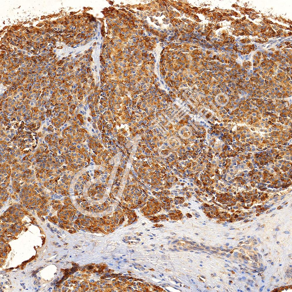
IHC检测Melanoma gp100蛋白(货号 K5450480).
样品: 人黑色素瘤, 4%多聚甲醛 (货号KSG1101) 固定12-24小时.
抗原修复: Tris-EDTA抗原修复液(pH 9.0) (货号KSG1203), 水浴100℃, 25分钟.
—抗: 1: 1000稀释, 4℃ 孵育过夜.
二抗: S-vision免疫组化多聚二抗(山羊抗小鼠), 即用型(货号KB3903), 室温孵育20分钟.
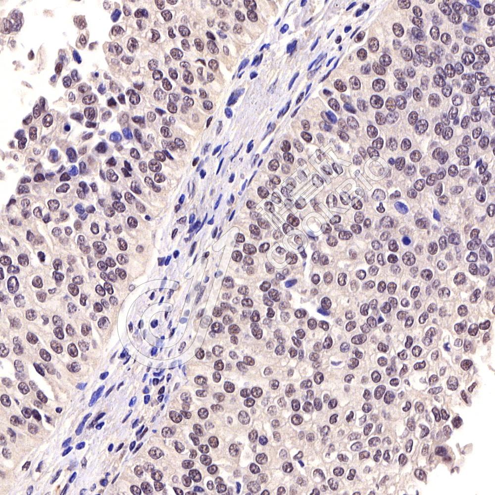
IHC检测Melanoma gp100蛋白(货号 K5450480).
样品: 人黑色素瘤, 4%多聚甲醛 (货号KSG1101) 固定12-24小时.
抗原修复: Tris-EDTA抗原修复液(pH 9.0) (货号KSG1203), 水浴100℃, 25分钟.
—抗: 1: 1000稀释, 4℃ 孵育过夜.
二抗: S-vision免疫组化多聚二抗(山羊抗小鼠), 即用型(货号KB3903), 室温孵育20分钟.

需要技术支持?

如果您有任何问题或如果您在实验过程中遇到问题,或需要更详细的技术指导,请联系我们的技术支持团队
电话 400-6027-270

联系我们

如果您对我们的公司或产品有任何疑问,欢迎随时联系我们