tel 400-6027-270
Main Image
Anti-Ki67 小鼠单克隆抗体
¥1900
加入对比
货号: K2363423-100
亚细胞定位: 细胞核
别名: MKI67,marker of proliferation Ki-67,KIA,MIB-1,PPP1R105
应用 | 种属
IHC/IF H,M,R
ICC/IF H,M,R
规格:
产品信息
蛋白质全称 增殖标志蛋白Ki-67
别名 MKI67,marker of proliferation Ki-67,KIA,MIB-1,PPP1R105
Uniprot ID P46013
免疫原 KLH偶联的人Ki67合成肽
抗体亚型 IgG1, κ
克隆号 6D12B2
纯化方式 亲和纯化
亚细胞定位 细胞核
应用
IHC/IF 免疫组织化学/免疫荧光
物种:人,小鼠,大鼠
稀释比:1:300-1:600
阳性样品:食管癌, 肝, 脾
ICC/IF 免疫细胞化学/免疫荧光
物种:人,小鼠,大鼠
稀释比:1:100-1:500
阳性样品:—
背景
Required to maintain individual mitotic chromosomes dispersed in the cytoplasm following nuclear envelope disassembly . Associates with the surface of the mitotic chromosome, the perichromosomal layer, and covers a substantial fraction of the chromosome surface . Prevents chromosomes from collapsing into a single chromatin mass by forming a steric and electrostatic charge barrier: the protein has a high net electrical charge and acts as a surfactant, dispersing chromosomes and enabling independent chromosome motility .
储存条件
储存条件:储存条件在:-20℃下储存一年, 避免反复冻融.
储存缓冲液:含0.15% ProClin300防腐剂, 100 μg/mL牛血清白蛋白和50%甘油的磷酸盐缓冲液.
图像
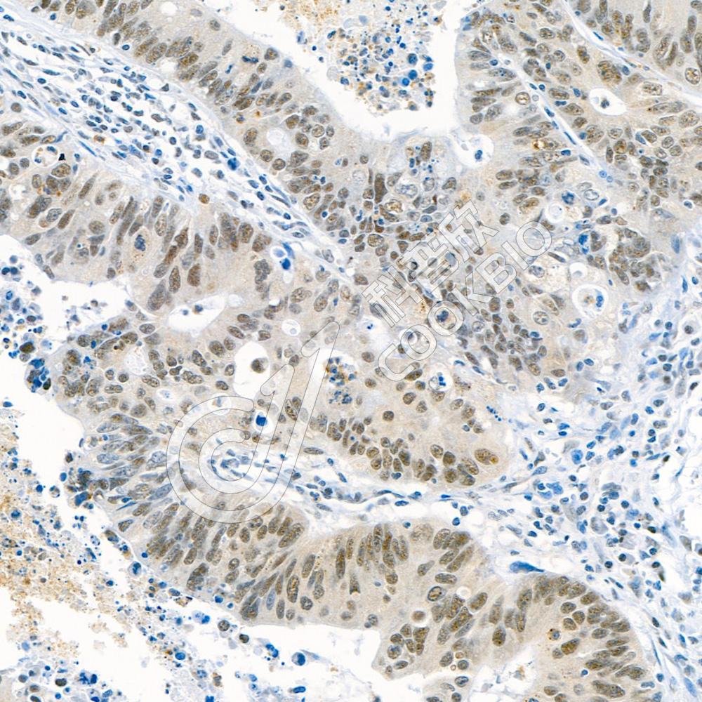
IHC检测Ki67蛋白(货号 K2363423).
样品: 人食管癌, 4%多聚甲醛 (货号KSG1101) 固定12-24小时.
抗原修复: 柠檬酸抗原修复液(干粉, pH 6.0) (KSG1201), 高压锅均匀喷气计时2分钟.
—抗: 1: 500稀释, 4℃ 孵育过夜.
二抗: S-vision免疫组化多聚二抗(山羊抗小鼠), 即用型(货号KB3903), 室温孵育20分钟.
IHC检测Ki67蛋白(货号 K2363423).
样品: 小鼠脾, 4%多聚甲醛 (货号KSG1101) 固定12-24小时.
抗原修复: 柠檬酸抗原修复液(干粉, pH 6.0) (KSG1201), 高压锅均匀喷气计时2分钟.
—抗: 1: 500稀释, 4℃ 孵育过夜.
二抗: S-vision免疫组化多聚二抗(山羊抗小鼠), 即用型(货号KB3903), 室温孵育20分钟.
IHC检测Ki67蛋白(货号 K2363423).
样品: 大鼠肝, 4%多聚甲醛 (货号KSG1101) 固定12-24小时.
抗原修复: 柠檬酸抗原修复液(干粉, pH 6.0) (KSG1201), 高压锅均匀喷气计时2分钟.
—抗: 1: 500稀释, 4℃ 孵育过夜.
二抗: S-vision免疫组化多聚二抗(山羊抗小鼠), 即用型(货号KB3903), 室温孵育20分钟.

需要技术支持?

如果您有任何问题或如果您在实验过程中遇到问题,或需要更详细的技术指导,请联系我们的技术支持团队
电话 400-6027-270

联系我们

如果您对我们的公司或产品有任何疑问,欢迎随时联系我们