tel 400-6027-270
Main Image
Anti-MUC2 小鼠单克隆抗体
¥1900
加入对比
货号: K237032-100
亚细胞定位: 分泌型
别名: MUC2,MLP,MUC-2,SMUC,mucin 2,oligomeric mucus/gel-forming,Intestinal mucin 2,MUC 2,Mucin 2
应用 | 种属
IHC/IF H
规格:
产品信息
蛋白质全称 黏蛋白2
别名 MUC2,MLP,MUC-2,SMUC,mucin 2,oligomeric mucus/gel-forming,Intestinal mucin 2,MUC 2,Mucin 2
Uniprot ID Q02817
免疫原 人MUC2重组蛋白
抗体亚型 IgG2b, κ
克隆号 1H3B9
纯化方式 亲和纯化
亚细胞定位 分泌型
应用
IHC/IF 免疫组织化学/免疫荧光
物种:人
稀释比:1:500-1:1500
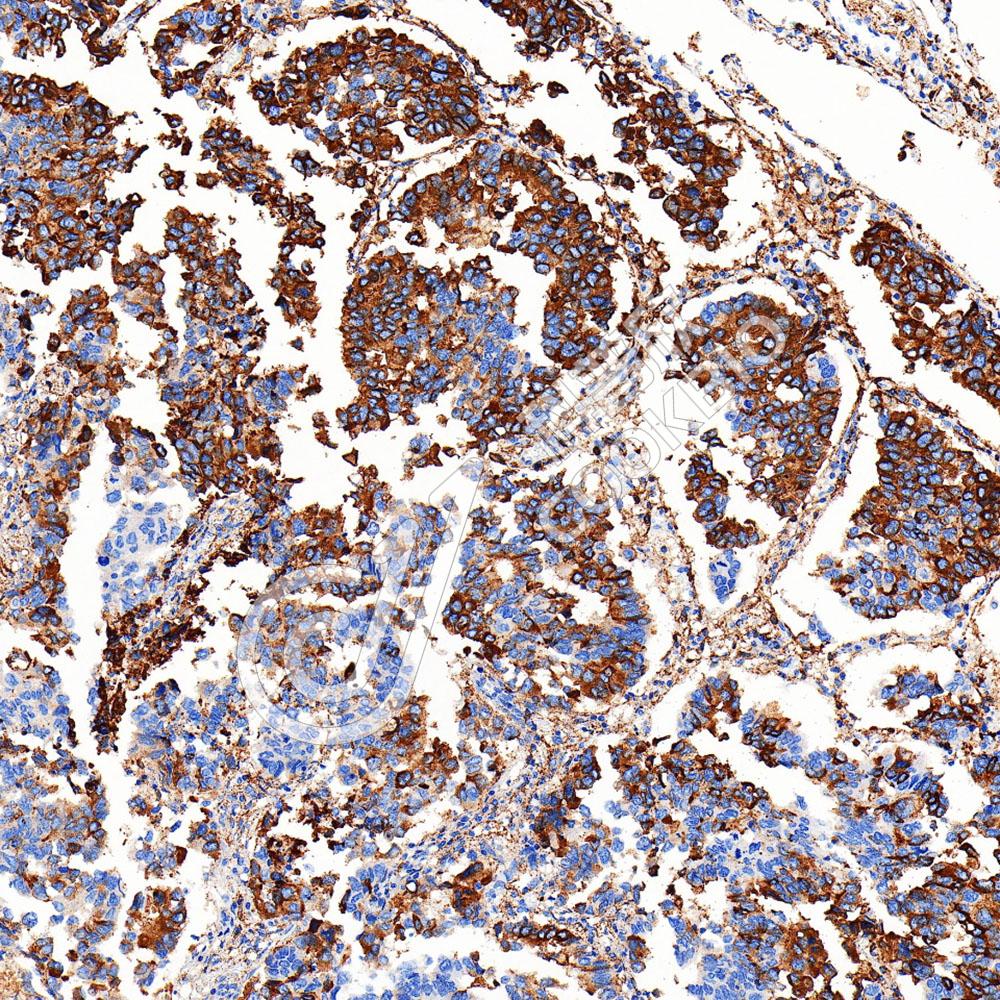
阳性样品:结肠, 结肠癌
背景
This gene encodes a member of the mucin protein family. The protein encoded by this gene, also called mucin 2, is secreted onto mucosal surfaces.Mucin 2 is particularly prominent in the gut where it is secreted from goblet cells in the epithelial lininginto the lumen of the large intestine. There, mucin 2, along with small amounts of related-mucin proteins,polymerizes into a gel of which 80% by weight is oligosaccharide side-chains that are added as post-translational modifications to the mucin proteins.
储存条件
储存条件:储存条件在:-20℃下储存一年, 避免反复冻融.
储存缓冲液:含0.15% ProClin300防腐剂, 100 μg/mL牛血清白蛋白和50%甘油的磷酸盐缓冲液.
图像
IF检测MUC2蛋白(货号 K237032)(红色).
样品: 人结肠癌, 4%多聚甲醛 (货号KSG1101) 固定12-24小时.
抗原修复: 柠檬酸抗原修复液(干粉, pH 6.0) (KSG1201), 高压锅均匀喷气计时2分钟.
封闭: 3% BSA(货号KSGC305010)的PBS溶液, 室温孵育30分钟.
—抗: 1: 1000稀释, 4℃ 孵育过夜.
二抗: Cy3标记山羊抗小鼠IgG (H+L) (货号KB63903), 1: 300稀释, 室温孵育1小时.
IF检测MUC2蛋白(货号 K237032)(红色).
样品: 人结肠, 4%多聚甲醛 (货号KSG1101) 固定12-24小时.
抗原修复: 柠檬酸抗原修复液(干粉, pH 6.0) (KSG1201), 高压锅均匀喷气计时2分钟.
封闭: 3% BSA(货号KSGC305010)的PBS溶液, 室温孵育30分钟.
—抗: 1: 1000稀释, 4℃ 孵育过夜.
二抗: Cy3标记山羊抗小鼠IgG (H+L) (货号KB63903), 1: 300稀释, 室温孵育1小时.

需要技术支持?

如果您有任何问题或如果您在实验过程中遇到问题,或需要更详细的技术指导,请联系我们的技术支持团队
电话 400-6027-270

联系我们

如果您对我们的公司或产品有任何疑问,欢迎随时联系我们