tel 400-6027-270
Main Image
Anti-MAdCAM1 兔多克隆抗体
¥1900
加入对比
货号: K1333018-100
亚细胞定位: 细胞膜
别名: MAdCAM-1,mMAdCAM-1,Madcam1,Addressin mucosal,hMAdCAM 1,MACAM1,Mucosal vascular addressin cell adhesion molecule 1
应用 | 种属
IHC/IF H,M,R
规格:
产品信息
蛋白质全称 黏膜定址素细胞黏附分子1 (MAdCAM-1)
别名 MAdCAM-1,mMAdCAM-1,Madcam1,Addressin mucosal,hMAdCAM 1,MACAM1,Mucosal vascular addressin cell adhesion molecule 1
Uniprot ID Q61826
免疫原 KLH偶联的小鼠MAdCAM1合成肽
抗体亚型 IgG
纯化方式 亲和纯化
亚细胞定位 细胞膜
应用
IHC/IF 免疫组织化学/免疫荧光
物种:人,小鼠,大鼠
稀释比:1:500-1:3000
阳性样品:结肠, 胰腺, 小肠
背景
MAdCAM-1 is an immunoglobulin (Ig) cell adhesion molecule family member. MAdCAM-1 is involved in lymphocyte homing to mucosal sites and is expressed on high endothelial venules (HEV) of both mesenteric lymph nodes and Peyer’s patches. It has also been found to be expressed on sinus-lining cells of the spleen. The integrin, alpha 4 beta 7, has been shown to function as the MAdCAM-1 receptor. The Ig domains of MAdCAM-1 have been found to be critical to alpha 4 beta 7 binding. The mucin domain has been shown to have activity in L-Selectin binding.
储存条件
储存条件:储存条件在:-20℃下储存一年, 避免反复冻融.
储存缓冲液:含0.15% ProClin300防腐剂, 100 μg/mL牛血清白蛋白和50%甘油的磷酸盐缓冲液.
图像
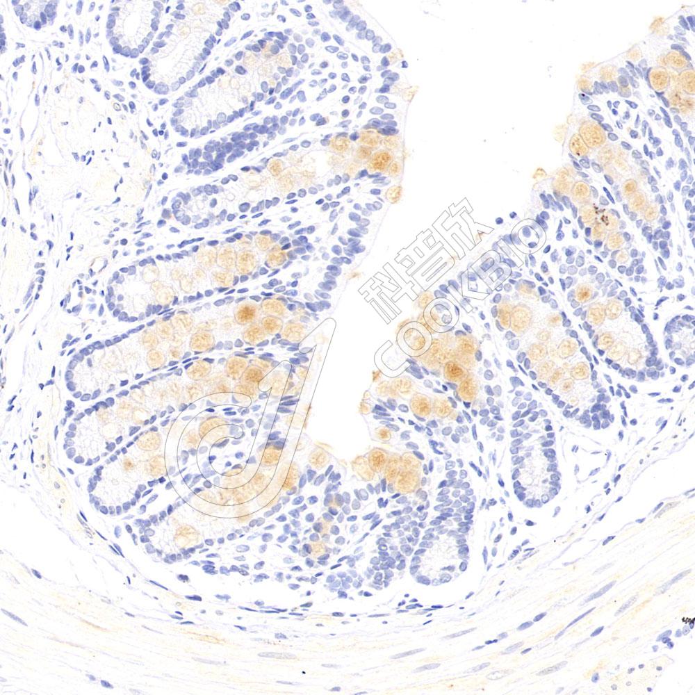
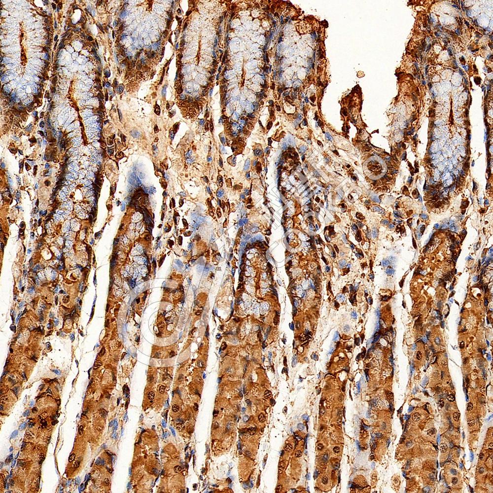
IHC检测MAdCAM1蛋白(货号 K1333018).
样品: 小鼠小肠, 4%多聚甲醛 (货号KSG1101) 固定12-24小时.
抗原修复: 柠檬酸抗原修复液(干粉, pH 6.0) (KSG1201), 98℃, 20分钟.
—抗: 1: 1800稀释, 4℃ 孵育过夜.
二抗: S-vision免疫组化多聚二抗(山羊抗兔),即用型 (货号KB3906), 室温孵育20分钟.
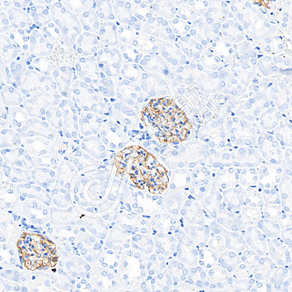
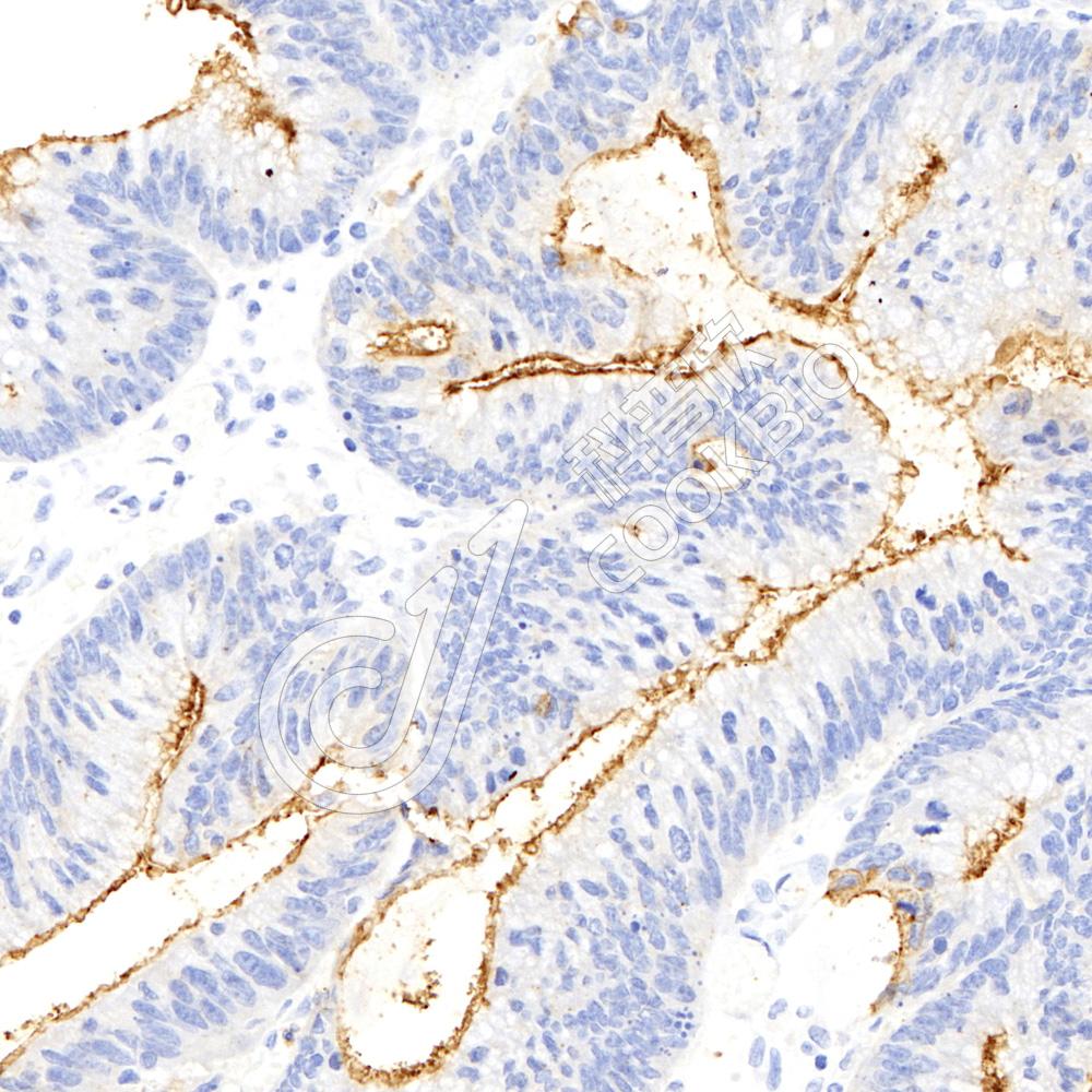
IHC检测MAdCAM1蛋白(货号 K1333018).
样品: 大鼠胰腺, 4%多聚甲醛 (货号KSG1101) 固定12-24小时.
抗原修复: 柠檬酸抗原修复液(干粉, pH 6.0) (KSG1201), 98℃, 20分钟.
—抗: 1: 1800稀释, 4℃ 孵育过夜.
二抗: S-vision免疫组化多聚二抗(山羊抗兔),即用型 (货号KB3906), 室温孵育20分钟.
IF检测MAdCAM1蛋白(货号 K1333018)(红色).
样品: 人结肠, 4%多聚甲醛 (货号KSG1101) 固定12-24小时.
抗原修复: Tris-EDTA抗原修复液(pH 9.0) (KSG1203), 98℃, 20分钟.
封闭: 3% BSA(货号KSGC305010)的PBS溶液, 室温孵育30分钟.
—抗: 1: 1800稀释, 4℃ 孵育过夜.
二抗: Cy3标记山羊抗兔IgG (H+L) (货号KB63909), 1: 300稀释, 室温孵育1小时.

需要技术支持?

如果您有任何问题或如果您在实验过程中遇到问题,或需要更详细的技术指导,请联系我们的技术支持团队
电话 400-6027-270

联系我们

如果您对我们的公司或产品有任何疑问,欢迎随时联系我们