tel 400-6027-270
Main Image
Anti-CLDN9 兔多克隆抗体
¥1900
加入对比
货号: K1345432-100
预测分子量: 23 kDa
观测分子量: 23 kDa
亚细胞定位: 细胞连接, 细胞膜
别名: claudin 9,CLDN9
应用 | 种属
WB M,R
IHC/IF H
规格:
产品信息
蛋白质全称 紧密连接蛋白9
别名 claudin 9,CLDN9
Uniprot ID Q9Z0S7
免疫原 KLH偶联的小鼠CLDN9合成肽
抗体亚型 IgG
纯化方式 亲和纯化
亚细胞定位 细胞连接, 细胞膜
预测分子量./观测分子量. 23 kDa / 23 kDa
应用
WB 免疫印迹
物种:小鼠,大鼠
稀释比:1:800-1:1000
阳性样品:海马区
IHC/IF 免疫组织化学/免疫荧光
物种:人
稀释比:1:500-1:2000
阳性样品:肺癌
背景
Plays a major role in tight junction-specific obliteration of the intercellular space, through calcium-independent cell-adhesion activity.
储存条件
储存条件:储存条件在:-20℃下储存一年, 避免反复冻融.
储存缓冲液:含0.15% ProClin300防腐剂, 100 μg/mL牛血清白蛋白和50%甘油的磷酸盐缓冲液.
图像
WB检测CLDN9蛋白(货号 K1345432).
样品: 经RIPA裂解液(货号KSG2002)处理的蛋白质.
封闭: 3%脱脂牛奶(货号KSGC310001)溶于TBST溶液, 室温孵育1小时.
—抗: 1: 1000稀释, 4℃ 孵育过夜.
二抗: HRP标记山羊抗兔IgG (H+L) (货号KB69909), 1: 5000稀释, 室温孵育1小时.
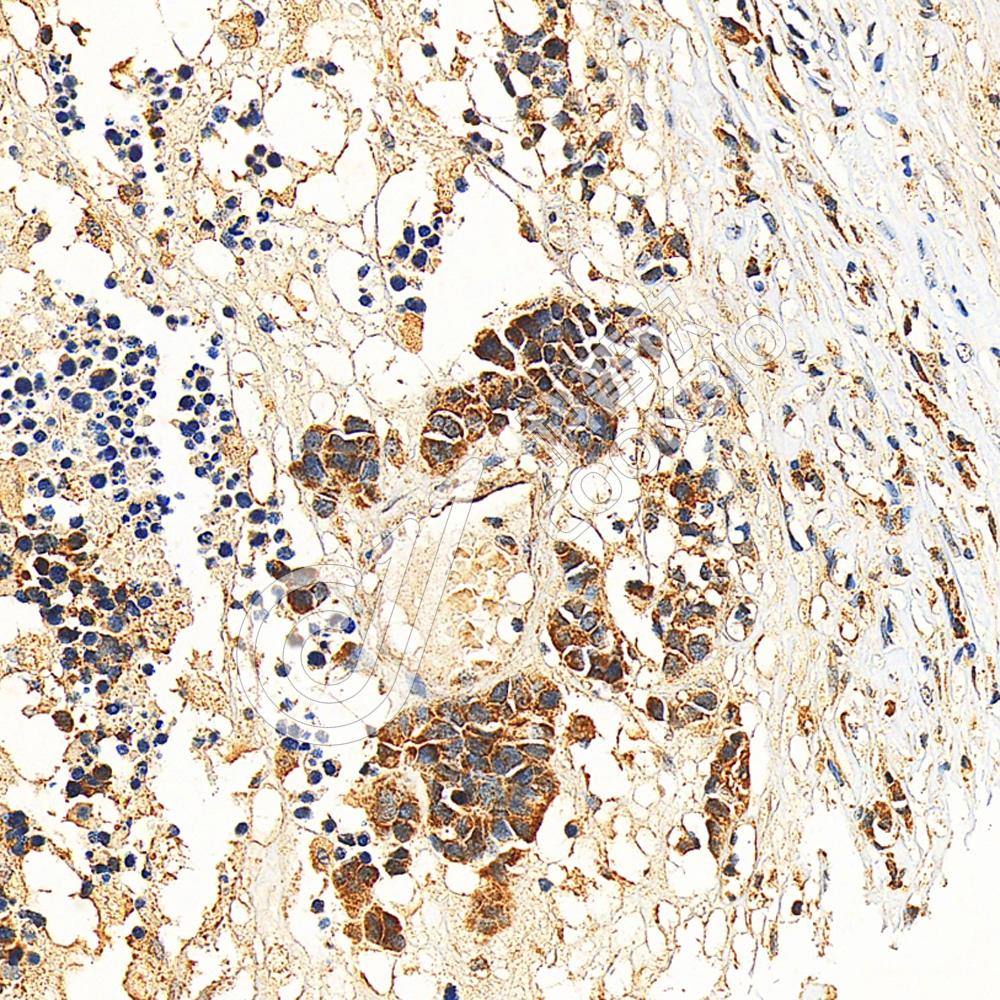
IHC检测CLDN9蛋白(货号 K1345432).
样品: 人肺癌, 4%多聚甲醛 (货号KSG1101) 固定12-24小时.
抗原修复: Tris-EDTA抗原修复液(pH 9.0) (KSG1203), 98℃, 20分钟.
—抗: 1: 1300稀释, 4℃ 孵育过夜.
二抗: S-vision免疫组化多聚二抗(山羊抗兔),即用型 (货号KB3906), 室温孵育20分钟.
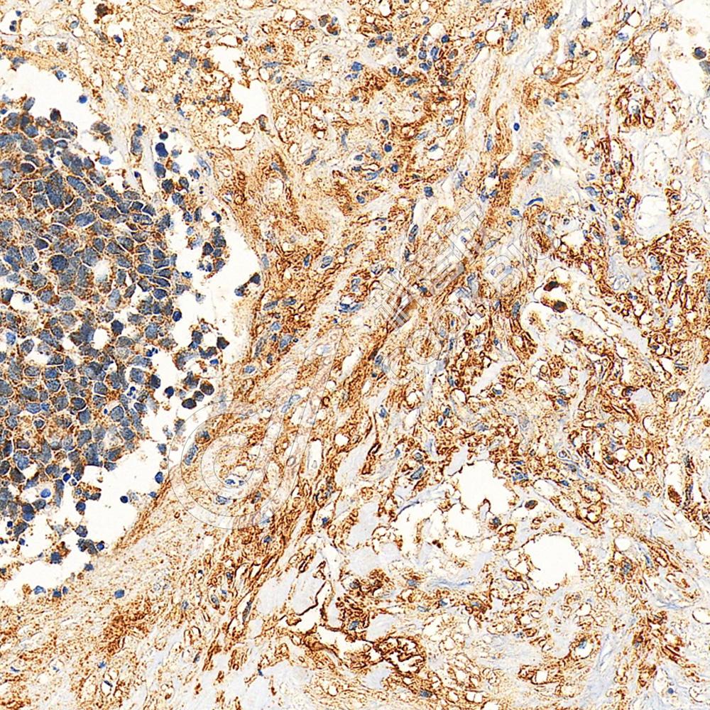
IHC检测CLDN9蛋白(货号 K1345432).
样品: 人肺癌, 4%多聚甲醛 (货号KSG1101) 固定12-24小时.
抗原修复: Tris-EDTA抗原修复液(pH 9.0) (KSG1203), 98℃, 20分钟.
—抗: 1: 1300稀释, 4℃ 孵育过夜.
二抗: S-vision免疫组化多聚二抗(山羊抗兔),即用型 (货号KB3906), 室温孵育20分钟.

需要技术支持?

如果您有任何问题或如果您在实验过程中遇到问题,或需要更详细的技术指导,请联系我们的技术支持团队
电话 400-6027-270

联系我们

如果您对我们的公司或产品有任何疑问,欢迎随时联系我们