tel 400-6027-270
Main Image
Recombinant Anti-ZO1 tight junction protein antibody (兔单克隆抗体)
¥1900
加入对比
货号: K5467058-100
预测分子量: 195 kDa
观测分子量: 250 kDa
亚细胞定位: 细胞膜, 细胞连接
别名: TJP1,ZO-1,Tight junction protein 1
应用 | 种属
WB H,M,R
IHC/IF H,M,R
规格:
产品信息
蛋白质全称 紧密连接蛋白ZO1
别名 TJP1,ZO-1,Tight junction protein 1
Uniprot ID Q07157
免疫原 人ZO1 tight junction protein重组蛋白
抗体亚型 IgG
克隆号 SB282
纯化方式 亲和纯化
亚细胞定位 细胞膜, 细胞连接
预测分子量./观测分子量. 195 kDa / 250 kDa
应用
WB 免疫印迹
物种:人,小鼠,大鼠
稀释比:1:1000-1:2000
阳性样品:—
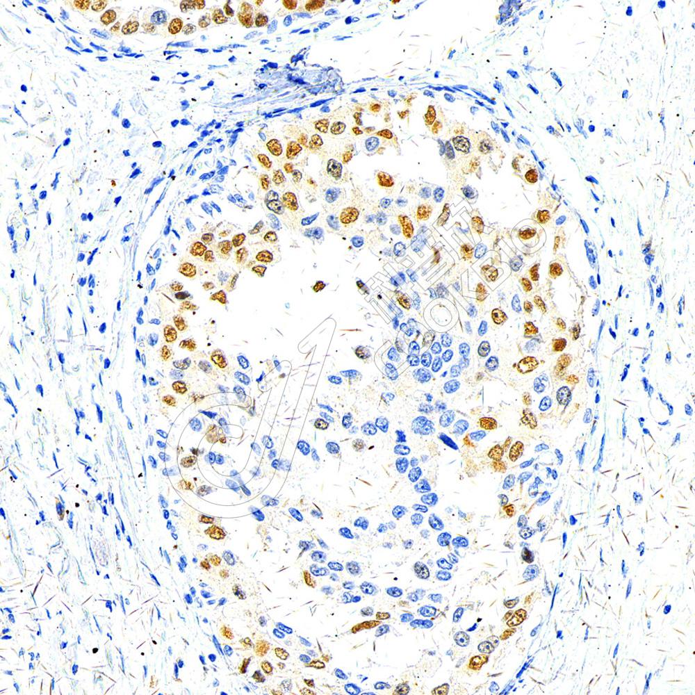
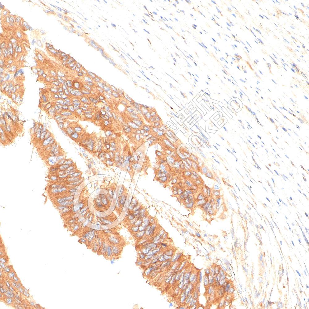
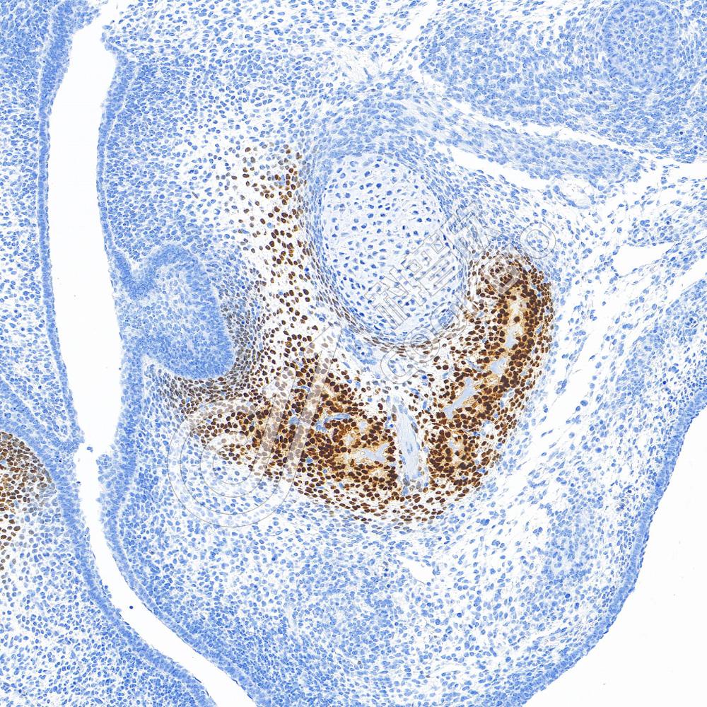
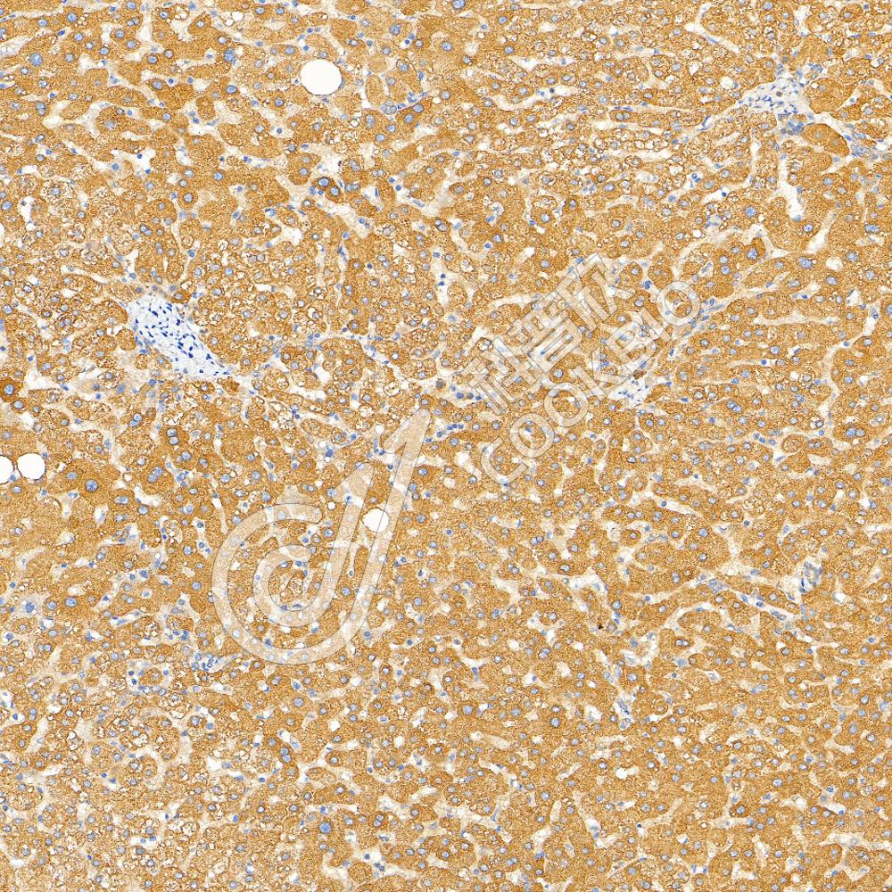
IHC/IF 免疫组织化学/免疫荧光
物种:人,小鼠,大鼠
稀释比:1:500-1:1000
阳性样品:结肠, 肾
背景
Tjp1, TjpP2, and Tjp3 are closely related scaffolding proteins that link tight junction (TJ) transmembrane proteins such as claudins, junctional adhesion molecules, and occludin to the actin cytoskeleton.The tight junction acts to limit movement of substances through the paracellular space and as a boundary between the compositionally distinct apical and basolateral plasma membrane domains of epithelial and endothelial cells. Necessary for lumenogenesis, and particularly efficient epithelial polarization and barrier formation.Plays a role in the regulation of cell migration by targeting Cdc42bpb to the leading edge of migrating cells.Plays an important role in podosome formation and associated function, thus regulating cell adhesion and matrix remodeling.With Tjp2 and TJjp3, participates in the junctional retention and stability of the transcription factor Dbpa, but is not involved in its shuttling to the nucleus.
储存条件
储存条件:储存条件在:-20℃下储存一年, 避免反复冻融.
储存缓冲液:含0.15% ProClin300防腐剂, 100 μg/mL牛血清白蛋白和50%甘油的磷酸盐缓冲液.
图像
IF检测ZO1 tight junction protein蛋白(货号 K5467058)(红色).
样品: 人结肠, 4%多聚甲醛 (货号KSG1101) 固定12-24小时.
抗原修复: Tris-EDTA抗原修复液(pH 9.0) (货号KSG1203), 高压锅均匀喷气计时2分钟.
封闭: 3% BSA(货号KSGC305010)的PBS溶液, 室温孵育30分钟.
—抗: 1: 800稀释, 4℃ 孵育过夜.
二抗: Cy3标记山羊抗兔IgG (H+L) (货号KB63909), 1: 300稀释, 室温孵育1小时.
IF检测ZO1 tight junction protein蛋白(货号 K5467058)(红色).
样品: 小鼠肾, 4%多聚甲醛 (货号KSG1101) 固定12-24小时.
抗原修复: Tris-EDTA抗原修复液(pH 9.0) (货号KSG1203), 高压锅均匀喷气计时2分钟.
封闭: 3% BSA(货号KSGC305010)的PBS溶液, 室温孵育30分钟.
—抗: 1: 800稀释, 4℃ 孵育过夜.
二抗: Cy3标记山羊抗兔IgG (H+L) (货号KB63909), 1: 300稀释, 室温孵育1小时.
IF检测ZO1 tight junction protein蛋白(货号 K5467058)(红色).
样品: 大鼠肾, 4%多聚甲醛 (货号KSG1101) 固定12-24小时.
抗原修复: Tris-EDTA抗原修复液(pH 9.0) (货号KSG1203), 高压锅均匀喷气计时2分钟.
封闭: 3% BSA(货号KSGC305010)的PBS溶液, 室温孵育30分钟.
—抗: 1: 800稀释, 4℃ 孵育过夜.
二抗: Cy3标记山羊抗兔IgG (H+L) (货号KB63909), 1: 300稀释, 室温孵育1小时.

需要技术支持?

如果您有任何问题或如果您在实验过程中遇到问题,或需要更详细的技术指导,请联系我们的技术支持团队
电话 400-6027-270

联系我们

如果您对我们的公司或产品有任何疑问,欢迎随时联系我们