tel 400-6027-270
Main Image
Recombinant Anti-CD86 antibody (兔单克隆抗体)
¥1900
加入对比
货号: K5450162-100
预测分子量: 37 kDa
观测分子量: 65-85 kDa
亚细胞定位: 细胞膜
别名: Activation B7 2 antigen,B7 2,B70,CD28LG2,CD86,CD86 (C-terminal),CD86 molecule,CTLA 4 counter receptor B7.2,FUN 1,LAB72
应用 | 种属
WB M
IHC/IF M
规格:
产品信息
蛋白质全称 T淋巴细胞活化抗原CD86
别名 Activation B7 2 antigen,B7 2,B70,CD28LG2,CD86,CD86 (C-terminal),CD86 molecule,CTLA 4 counter receptor B7.2,FUN 1,LAB72
Uniprot ID P42082
免疫原 小鼠CD86重组蛋白
抗体亚型 IgG, κ
克隆号 SB350
纯化方式 亲和纯化
亚细胞定位 细胞膜
预测分子量./观测分子量. 37 kDa / 65-85 kDa
应用
WB 免疫印迹
物种:小鼠
稀释比:1:500-1:1000
阳性样品:脾
IHC/IF 免疫组织化学/免疫荧光
物种:小鼠
稀释比:1:500-1:1500
阳性样品:lps(24h)肺诱导炎症模型, MCF-7细胞的皮下核-M模型
背景
Receptor involved in the costimulatory signal essential for T-lymphocyte proliferation and interleukin-2 production, by binding CD28 or CTLA-4.May play a critical role in the early events of T-cell activation and costimulation of naive T-cells, such as deciding between immunity and anergy that is made by T-cells within 24 hours after activation.Also involved in the regulation of B cells function, plays a role in regulating the level of IgG(1) produced.Upon CD40 engagement, activates NF-kappa-B signaling pathway via phospholipase C and protein kinase C activation.; [Isoform 2]: Interferes with the formation of CD86 clusters, and thus acts as a negative regulator of T-cell activation.(Microbial infection) Acts as a receptor for adenovirus subgroup B.
储存条件
储存条件:储存条件在:-20℃下储存一年, 避免反复冻融.
储存缓冲液:含0.15% ProClin300防腐剂, 100 μg/mL牛血清白蛋白和50%甘油的磷酸盐缓冲液.
图像
WB检测CD86蛋白(货号 K5450162).
样品: 经RIPA裂解液(货号KSG2002)处理的蛋白质.
封闭: 3%脱脂牛奶(货号KSGC310001)溶于TBST溶液, 室温孵育1小时.
—抗: 1: 500稀释, 4℃ 孵育过夜.
二抗: HRP标记山羊抗兔IgG (H+L) (货号KB69909), 1: 5000稀释, 室温孵育1小时.
IHC检测CD86蛋白(货号 K5450162).
样品: 小鼠lps(24h)肺诱导炎症模型, 4%多聚甲醛 (货号KSG1101) 固定12-24小时.
抗原修复: 柠檬酸抗原修复液(干粉, pH 6.0) (KSG1201), 高压锅均匀喷气计时2分钟.
—抗: 1: 1000稀释, 4℃ 孵育过夜.
二抗: S-vision免疫组化多聚二抗(山羊抗兔),即用型 (货号KB3906), 室温孵育20分钟.
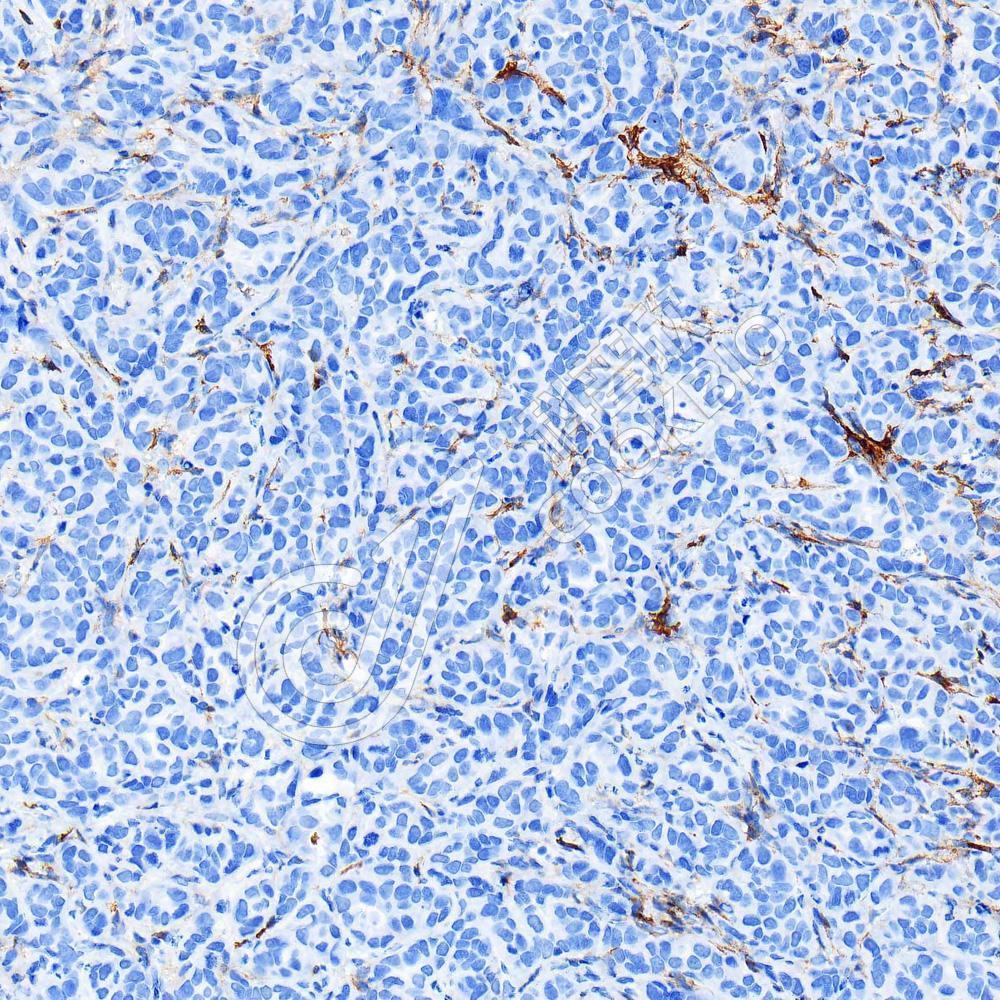
IHC检测CD86蛋白(货号 K5450162).
样品: 小鼠MCF-7细胞的皮下核-M模型, 4%多聚甲醛 (货号KSG1101) 固定12-24小时.
抗原修复: 柠檬酸抗原修复液(干粉, pH 6.0) (KSG1201), 高压锅均匀喷气计时2分钟.
—抗: 1: 1000稀释, 4℃ 孵育过夜.
二抗: S-vision免疫组化多聚二抗(山羊抗兔),即用型 (货号KB3906), 室温孵育20分钟.

需要技术支持?

如果您有任何问题或如果您在实验过程中遇到问题,或需要更详细的技术指导,请联系我们的技术支持团队
电话 400-6027-270

联系我们

如果您对我们的公司或产品有任何疑问,欢迎随时联系我们