tel 400-6027-270
Main Image
Anti-Claudin 4 兔多克隆抗体
¥1900
加入对比
货号: K1342168-100
预测分子量: 22 kDa
观测分子量: 18-22 kDa
亚细胞定位: 细胞膜
别名: claudin 4,Claudin 4-specific,CLDN4,CPE R,CPE receptor,CPER,CPETR,CPETR1,hCPE R,WBSCR8
应用 | 种属
WB H
IHC/IF H
规格:
产品信息
蛋白质全称 紧密连接蛋白4
别名 claudin 4,Claudin 4-specific,CLDN4,CPE R,CPE receptor,CPER,CPETR,CPETR1,hCPE R,WBSCR8
Uniprot ID O14493
免疫原 KLH偶联的人Claudin 4合成肽
抗体亚型 IgG
纯化方式 亲和纯化
亚细胞定位 细胞膜
预测分子量./观测分子量. 22 kDa / 18-22 kDa
应用
WB 免疫印迹
物种:人
稀释比:1:500-1:1000
阳性样品:—
IHC/IF 免疫组织化学/免疫荧光
物种:人
稀释比:1:1500-1:3000
阳性样品:结肠癌, 子宫内膜癌
背景
Channel-forming tight junction protein that mediates paracellular chloride transport in the kidney. Plays a critical role in the paracellular reabsorption of filtered chloride in the kidney collecting ducts. Claudins play a major role in tight junction-specific obliteration of the intercellular space, through calcium-independent cell-adhesion activity.
储存条件
储存条件:储存条件在:-20℃下储存一年, 避免反复冻融.
储存缓冲液:含0.15% ProClin300防腐剂, 100 μg/mL牛血清白蛋白和50%甘油的磷酸盐缓冲液.
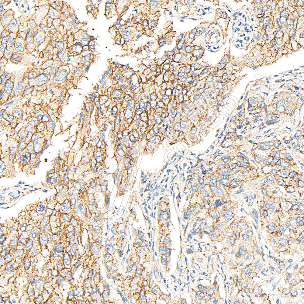
图像
IHC检测Claudin 4蛋白(货号 K1342168).
样品: 人结肠癌, 4%多聚甲醛 (货号KSG1101) 固定12-24小时.
抗原修复: 柠檬酸抗原修复液(干粉, pH 6.0) (KSG1201), 98℃, 20分钟.
—抗: 1: 2300稀释, 4℃ 孵育过夜.
二抗: S-vision免疫组化多聚二抗(山羊抗兔),即用型 (货号KB3906), 室温孵育20分钟.
IHC检测Claudin 4蛋白(货号 K1342168).
样品: 人子宫内膜癌, 4%多聚甲醛 (货号KSG1101) 固定12-24小时.
抗原修复: 柠檬酸抗原修复液(干粉, pH 6.0) (KSG1201), 98℃, 20分钟.
—抗: 1: 2300稀释, 4℃ 孵育过夜.
二抗: S-vision免疫组化多聚二抗(山羊抗兔),即用型 (货号KB3906), 室温孵育20分钟.

需要技术支持?

如果您有任何问题或如果您在实验过程中遇到问题,或需要更详细的技术指导,请联系我们的技术支持团队
电话 400-6027-270

联系我们

如果您对我们的公司或产品有任何疑问,欢迎随时联系我们