tel 400-6027-270
Main Image
Recombinant Anti-Annexin-6/ANXA6 antibody (兔单克隆抗体)
¥1900
加入对比
货号: K547847-100
预测分子量: 76 kDa
观测分子量: 72 kDa
亚细胞定位: 细胞质, 黑素体
别名: 67 kDa calelectrin,Annexin VI,Annexin-6,Calphobindin-II,CPB-II,Chromobindin-20,Lipocortin VI,Protein III,p68,p70,Anxa6,Anx6,Annexin-6
应用 | 种属
WB H,M,R
IHC/IF H,M,R
规格:
产品信息
蛋白质全称 膜联蛋白A6
别名 67 kDa calelectrin,Annexin VI,Annexin-6,Calphobindin-II,CPB-II,Chromobindin-20,Lipocortin VI,Protein III,p68,p70,Anxa6,Anx6,Annexin-6
Uniprot ID P14824
免疫原 小鼠Annexin-6重组蛋白
抗体亚型 IgG, κ
克隆号 SB229
纯化方式 亲和纯化
亚细胞定位 细胞质, 黑素体
预测分子量./观测分子量. 76 kDa / 72 kDa
应用
WB 免疫印迹
物种:人,小鼠,大鼠
稀释比:1:500-1:1000
阳性样品:—
IHC/IF 免疫组织化学/免疫荧光
物种:人,小鼠,大鼠
稀释比:1:500-1:1000
阳性样品:结肠, 扁桃体
背景
Annexin VI belongs to a family of calcium-dependent membrane and phospholipid binding proteins. It is characterised by a conserved core domain which binds to phospholipids in a Ca2+ dependent manner and a unique amino terminal region which may confer binding specificity. The Annexin family has been implicated as regulators of such diverse processes as ion flux, endocytosis and exocytosis, and cellular adhesion. Annexin VI has been implicated in mediating the endosome aggregation and vesicle fusion in secreting epithelia during exocytosis.
储存条件
储存条件:储存条件在:-20℃下储存一年, 避免反复冻融.
储存缓冲液:含0.15% ProClin300防腐剂, 100 μg/mL牛血清白蛋白和50%甘油的磷酸盐缓冲液.
图像
IHC检测Annexin-6/ANXA6蛋白(货号 K547847).
样品: 人扁桃体, 4%多聚甲醛 (货号KSG1101) 固定12-24小时.
抗原修复: 柠檬酸抗原修复液(干粉, pH 6.0) (KSG1201), 高压锅均匀喷气计时2分钟.
—抗: 1: 800稀释, 4℃ 孵育过夜.
二抗: S-vision免疫组化多聚二抗(山羊抗兔),即用型 (货号KB3906), 室温孵育20分钟.
IHC检测Annexin-6/ANXA6蛋白(货号 K547847).
样品: 小鼠结肠, 4%多聚甲醛 (货号KSG1101) 固定12-24小时.
抗原修复: 柠檬酸抗原修复液(干粉, pH 6.0) (KSG1201), 高压锅均匀喷气计时2分钟.
—抗: 1: 800稀释, 4℃ 孵育过夜.
二抗: S-vision免疫组化多聚二抗(山羊抗兔),即用型 (货号KB3906), 室温孵育20分钟.
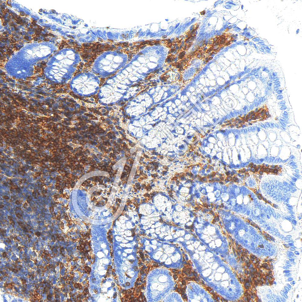
IHC检测Annexin-6/ANXA6蛋白(货号 K547847).
样品: 大鼠结肠, 4%多聚甲醛 (货号KSG1101) 固定12-24小时.
抗原修复: 柠檬酸抗原修复液(干粉, pH 6.0) (KSG1201), 高压锅均匀喷气计时2分钟.
—抗: 1: 800稀释, 4℃ 孵育过夜.
二抗: S-vision免疫组化多聚二抗(山羊抗兔),即用型 (货号KB3906), 室温孵育20分钟.

需要技术支持?

如果您有任何问题或如果您在实验过程中遇到问题,或需要更详细的技术指导,请联系我们的技术支持团队
电话 400-6027-270

联系我们

如果您对我们的公司或产品有任何疑问,欢迎随时联系我们