tel 400-6027-270
Main Image
Recombinant Anti-S100A4 antibody (小鼠单克隆抗体)
¥1900
加入对比
货号: K546191-100
预测分子量: 12 kDa
观测分子量: 12 kDa
亚细胞定位: 分泌型, 细胞核
别名: S100A4,18A2,42A,CAPL,FSP1,MTS1,P9KA,PEL98,S100 calcium binding protein A4
应用 | 种属
WB H,M,R
IHC/IF H,M,R
规格:
产品信息
蛋白质全称 S100钙结合蛋白A4
别名 S100A4,18A2,42A,CAPL,FSP1,MTS1,P9KA,PEL98,S100 calcium binding protein A4
Uniprot ID P26447/P07091/P05942
免疫原 小鼠S100A4重组蛋白
抗体亚型 IgG1, κ
克隆号 SB8
纯化方式 亲和纯化
亚细胞定位 分泌型, 细胞核
预测分子量./观测分子量. 12 kDa / 12 kDa
应用
WB 免疫印迹
物种:人,小鼠,大鼠
稀释比:1:500-1:1000
阳性样品:C6细胞, HeLa细胞
IHC/IF 免疫组织化学/免疫荧光
物种:人,小鼠,大鼠
稀释比:1:1000-1:2000
阳性样品:结肠, 结肠癌
背景
The protein encoded by this gene is a member of the S100 family of proteins containing 2 EF-hand calcium-binding motifs. S100 proteins are localized in the cytoplasm and/or nucleus of a wide range of cells, and involved in the regulation of a number of cellular processes such as cell cycle progression and differentiation. S100 genes include at least 13 members which are located as a cluster on chromosome 1q21. This protein may function in motility, invasion, and tubulin polymerization. Chromosomal rearrangements and altered expression of this gene have been implicated in tumor metastasis.
储存条件
储存条件:储存条件在:-20℃下储存一年, 避免反复冻融.
储存缓冲液:含0.15% ProClin300防腐剂, 100 μg/mL牛血清白蛋白和50%甘油的磷酸盐缓冲液.
图像
WB检测S100A4蛋白(货号 K546191).
样品: 经RIPA裂解液(货号KSG2002)处理的蛋白质.
封闭: 3%脱脂牛奶(货号KSGC310001)溶于TBST溶液, 室温孵育1小时.
—抗: 1: 500稀释, 4℃ 孵育过夜.
二抗: HRP标记山羊抗小鼠IgG (H+L) (货号KB69903), 1: 5000稀释, 室温孵育1小时.
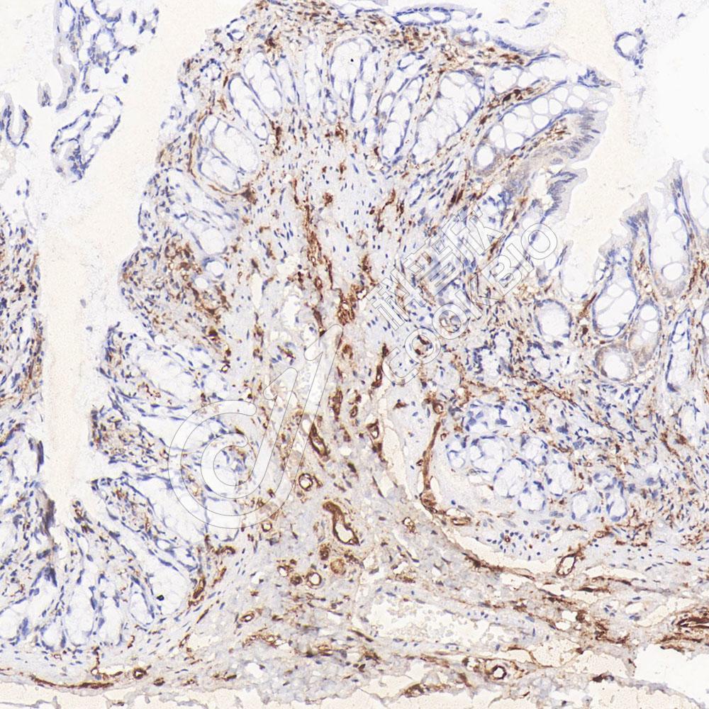
IHC检测S100A4蛋白(货号 K546191).
样品: 人结肠癌, 4%多聚甲醛 (货号KSG1101) 固定12-24小时.
抗原修复: 柠檬酸抗原修复液(干粉, pH 6.0) (KSG1201), 高压锅均匀喷气计时2分钟.
—抗: 1: 1500稀释, 4℃ 孵育过夜.
二抗: S-vision免疫组化多聚二抗(山羊抗小鼠), 即用型(货号KB3903), 室温孵育20分钟.
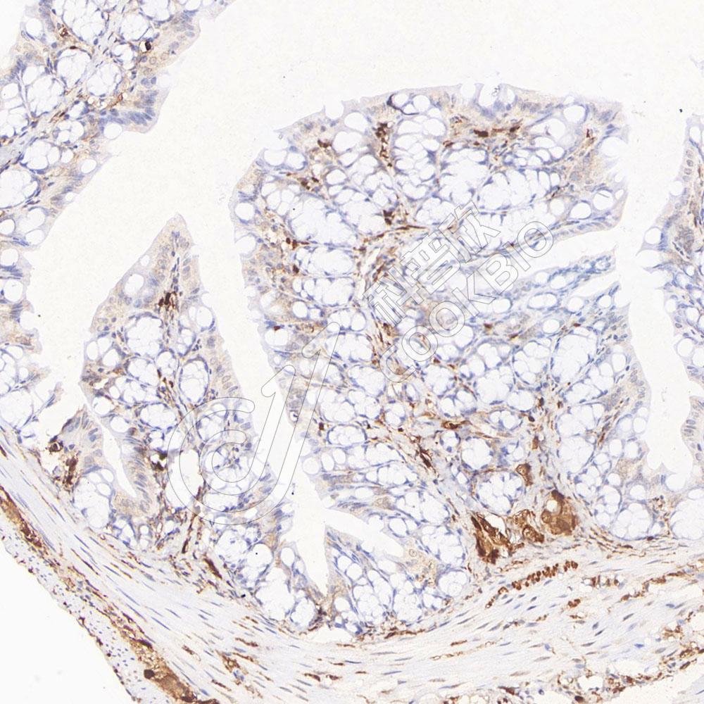
IHC检测S100A4蛋白(货号 K546191).
样品: 小鼠结肠, 4%多聚甲醛 (货号KSG1101) 固定12-24小时.
抗原修复: 柠檬酸抗原修复液(干粉, pH 6.0) (KSG1201), 高压锅均匀喷气计时2分钟.
—抗: 1: 1500稀释, 4℃ 孵育过夜.
二抗: S-vision免疫组化多聚二抗(山羊抗小鼠), 即用型(货号KB3903), 室温孵育20分钟.
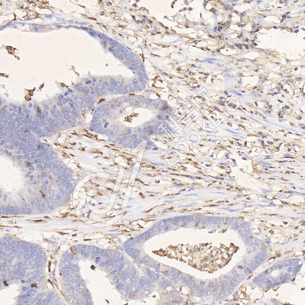
IHC检测S100A4蛋白(货号 K546191).
样品: 大鼠结肠, 4%多聚甲醛 (货号KSG1101) 固定12-24小时.
抗原修复: 柠檬酸抗原修复液(干粉, pH 6.0) (KSG1201), 高压锅均匀喷气计时2分钟.
—抗: 1: 1500稀释, 4℃ 孵育过夜.
二抗: S-vision免疫组化多聚二抗(山羊抗小鼠), 即用型(货号KB3903), 室温孵育20分钟.

需要技术支持?

如果您有任何问题或如果您在实验过程中遇到问题,或需要更详细的技术指导,请联系我们的技术支持团队
电话 400-6027-270

联系我们

如果您对我们的公司或产品有任何疑问,欢迎随时联系我们