tel 400-6027-270
Main Image
Recombinant Anti-CD163 antibody (兔单克隆抗体)
¥1900
加入对比
货号: K5461253-100
预测分子量: 121 kDa
观测分子量: 130-160 kDa
亚细胞定位: 细胞膜, 分泌型
别名: CD163,CD163 molecule,Hemoglobin scavenger receptor,M130,MM130,sCD163,  SCARI1
应用 | 种属
WB H,M,R
IHC/IF H,M,R
规格:
产品信息
蛋白质全称 清道夫受体富含半胱氨酸1型蛋白M130
别名 CD163,CD163 molecule,Hemoglobin scavenger receptor,M130,MM130,sCD163,  SCARI1
Uniprot ID Q86VB7
免疫原 人CD163重组蛋白
抗体亚型 IgG, κ
克隆号 SB371
纯化方式 亲和纯化
亚细胞定位 细胞膜, 分泌型
预测分子量./观测分子量. 121 kDa / 130-160 kDa
应用
WB 免疫印迹
物种:人,小鼠,大鼠
稀释比:1:1000-1:3000
阳性样品:—
IHC/IF 免疫组织化学/免疫荧光
物种:人,小鼠,大鼠
稀释比:1:1000-1:3000
阳性样品:肝, 脾
背景
CD163 is a transmembrane protein which belongs to the scavenger receptor cysteine-rich (SRCR) superfamily. This protein is a scavenger receptor for the hemoglobin-haptoglobin complex and is a marker for monocytes and macrophages. Soluble CD163 (sCD163), as a result of ectodomain shedding during inflammatory activation of macrophages, circulates in blood and has been suggested as a plasma/serum marker for macrophage activity.
储存条件
储存条件:储存条件在:-20℃下储存一年, 避免反复冻融.
储存缓冲液:含0.15% ProClin300防腐剂, 100 μg/mL牛血清白蛋白和50%甘油的磷酸盐缓冲液.
图像
IHC检测CD163蛋白(货号 K5461253).
样品: 人肝, 4%多聚甲醛 (货号KSG1101) 固定12-24小时.
抗原修复: 柠檬酸抗原修复液(干粉, pH 6.0) (KSG1201), 高压锅均匀喷气计时2分钟.
—抗: 1: 2000稀释, 4℃ 孵育过夜.
二抗: S-vision免疫组化多聚二抗(山羊抗兔),即用型 (货号KB3906), 室温孵育20分钟.
IHC检测CD163蛋白(货号 K5461253).
样品: 小鼠脾, 4%多聚甲醛 (货号KSG1101) 固定12-24小时.
抗原修复: 柠檬酸抗原修复液(干粉, pH 6.0) (KSG1201), 高压锅均匀喷气计时2分钟.
—抗: 1: 2000稀释, 4℃ 孵育过夜.
二抗: S-vision免疫组化多聚二抗(山羊抗兔),即用型 (货号KB3906), 室温孵育20分钟.
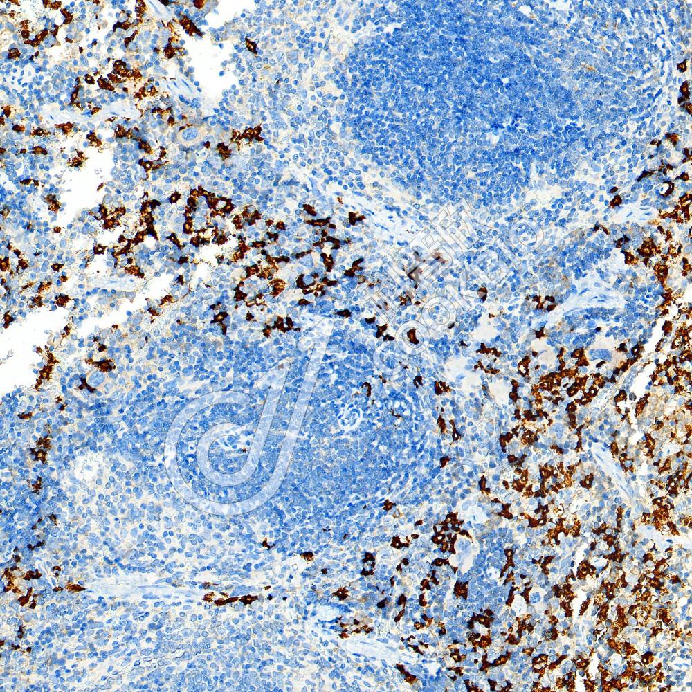
IHC检测CD163蛋白(货号 K5461253).
样品: 大鼠脾, 4%多聚甲醛 (货号KSG1101) 固定12-24小时.
抗原修复: 柠檬酸抗原修复液(干粉, pH 6.0) (KSG1201), 高压锅均匀喷气计时2分钟.
—抗: 1: 2000稀释, 4℃ 孵育过夜.
二抗: S-vision免疫组化多聚二抗(山羊抗兔),即用型 (货号KB3906), 室温孵育20分钟.

需要技术支持?

如果您有任何问题或如果您在实验过程中遇到问题,或需要更详细的技术指导,请联系我们的技术支持团队
电话 400-6027-270

联系我们

如果您对我们的公司或产品有任何疑问,欢迎随时联系我们