tel 400-6027-270
Main Image
Anti-E-cadherin 兔多克隆抗体
¥1900
加入对比
货号: K133246-100
预测分子量: 98 kDa
观测分子量: 120-140 kDa
亚细胞定位: 细胞膜, 细胞质, 细胞连接
别名: CDH1,Arc-1,CD324,CDHE,ECAD,LCAM,UVO,cadherin 1,BCDS1,E-Cadherin,CAM 120/80,Epithelial cadherin
应用 | 种属
WB M,R
IHC/IF H,M,R
规格:
产品信息
蛋白质全称 钙粘蛋白1
别名 CDH1,Arc-1,CD324,CDHE,ECAD,LCAM,UVO,cadherin 1,BCDS1,E-Cadherin,CAM 120/80,Epithelial cadherin
Uniprot ID P09803
免疫原 KLH偶联的小鼠E-cadherin合成肽
抗体亚型 IgG
纯化方式 亲和纯化
亚细胞定位 细胞膜, 细胞质, 细胞连接
预测分子量./观测分子量. 98 kDa / 120-140 kDa
应用
WB 免疫印迹
物种:小鼠,大鼠
稀释比:1:1000-1:2000
阳性样品:—
IHC/IF 免疫组织化学/免疫荧光
物种:人,小鼠,大鼠
稀释比:1:200-1:1500
阳性样品:结肠, 食管, 胃
背景
Cadherins are calcium-dependent cell adhesion proteins. They preferentially interact with themselves in a homophilic manner in connecting cells; cadherins may thus contribute to the sorting of heterogeneous cell types. CDH1 is involved in mechanisms regulating cell-cell adhesions, mobility and proliferation of epithelial cells. Has a potent invasive suppressor role. It is a ligand for integrin alpha-E/beta-7.E-Cad/CTF2 promotes non-amyloidogenic degradation of Abeta precursors. Has a strong inhibitory effect on APP C99 and C83 production.
储存条件
储存条件:储存条件在:-20℃下储存一年, 避免反复冻融.
储存缓冲液:含0.15% ProClin300防腐剂, 100 μg/mL牛血清白蛋白和50%甘油的磷酸盐缓冲液.
图像
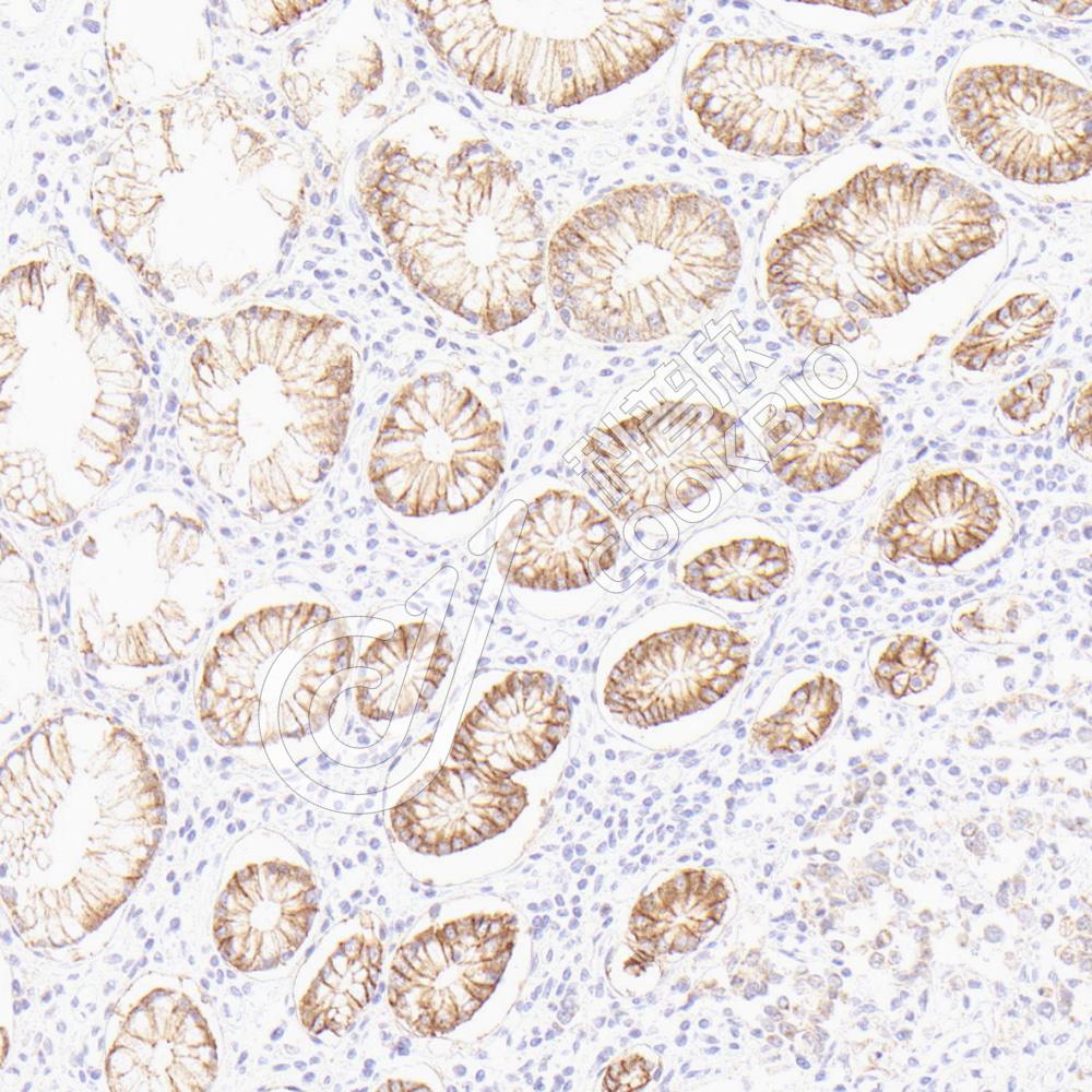
IHC检测E-cadherin蛋白(货号 K133246).
样品: 人食管, 4%多聚甲醛 (货号KSG1101) 固定12-24小时.
抗原修复: 柠檬酸抗原修复液(干粉, pH 6.0) (KSG1201), 98℃, 20分钟.
—抗: 1: 900稀释, 4℃ 孵育过夜.
二抗: S-vision免疫组化多聚二抗(山羊抗兔),即用型 (货号KB3906), 室温孵育20分钟.
E-cadherin_d1000_WB
IF检测E-cadherin蛋白(货号 K133246)(红色).
样品: 小鼠结肠, 4%多聚甲醛 (货号KSG1101) 固定12-24小时.
抗原修复: Tris-EDTA抗原修复液(pH 9.0) (KSG1203), 98℃, 20分钟.
封闭: 3% BSA(货号KSGC305010)的PBS溶液, 室温孵育30分钟.
—抗: 1: 900稀释, 4℃ 孵育过夜.
二抗: Cy3标记山羊抗兔IgG (H+L) (货号KB63909), 1: 300稀释, 室温孵育1小时.
IF检测E-cadherin蛋白(货号 K133246)(红色).
样品: 大鼠胃, 4%多聚甲醛 (货号KSG1101) 固定12-24小时.
抗原修复: Tris-EDTA抗原修复液(pH 9.0) (KSG1203), 98℃, 20分钟.
封闭: 3% BSA(货号KSGC305010)的PBS溶液, 室温孵育30分钟.
—抗: 1: 900稀释, 4℃ 孵育过夜.
二抗: Cy3标记山羊抗兔IgG (H+L) (货号KB63909), 1: 300稀释, 室温孵育1小时.

需要技术支持?

如果您有任何问题或如果您在实验过程中遇到问题,或需要更详细的技术指导,请联系我们的技术支持团队
电话 400-6027-270

联系我们

如果您对我们的公司或产品有任何疑问,欢迎随时联系我们