tel 400-6027-270
Main Image
Anti-Integrin beta 1 兔多克隆抗体
¥1900
加入对比
货号: K1345519-100
预测分子量: 88 kDa
观测分子量: 100-130 kDa
亚细胞定位: 细胞膜
别名: Integrin beta-1,Fibronectin receptor subunit beta,Glycoprotein IIa,GPIIA,VLA-4 subunit beta,CD29,ITGB1,FNRB,MDF2,MSK12
应用 | 种属
WB H,M
IHC/IF H
规格:
产品信息
蛋白质全称 整合素β1
别名 Integrin beta-1,Fibronectin receptor subunit beta,Glycoprotein IIa,GPIIA,VLA-4 subunit beta,CD29,ITGB1,FNRB,MDF2,MSK12
Uniprot ID P05556
免疫原 人Integrin beta 1重组蛋白
抗体亚型 IgG
纯化方式 亲和纯化
亚细胞定位 细胞膜
预测分子量./观测分子量. 88 kDa / 100-130 kDa
应用
WB 免疫印迹
物种:人,小鼠
稀释比:1:300-1:600
阳性样品:—
IHC/IF 免疫组织化学/免疫荧光
物种:人
稀释比:1:300-1:600
阳性样品:胎盘, 扁桃体
背景
Integrin beta-1 (ITGB1), also named as CD29, is a 130 kDa single chain type I glycoprotein that is expressed in a heterodimeric complex with one of six distinct α subunits, comprising the very late activation antigen (VLA) subfamily of adhesion receptors. It is one of the essential surface molecules expressed on human MSC from bone marrow and other sources. The β1 subunit is also broadly expressed on lymphocytes and monocyte, weakly expressed on granulocytes, and not expressed on erythrocytes. These receptors are involved in a variety of cell-cell and cell-matrix interactions.
储存条件
储存条件:储存条件在:-20℃下储存一年, 避免反复冻融.
储存缓冲液:含0.15% ProClin300防腐剂, 100 μg/mL牛血清白蛋白和50%甘油的磷酸盐缓冲液.
图像
IHC检测Integrin beta 1蛋白(货号 K1345519).
样品: 人胎盘, 4%多聚甲醛 (货号KSG1101) 固定12-24小时.
抗原修复: 柠檬酸抗原修复液(干粉, pH 6.0) (KSG1201), 98℃, 20分钟.
—抗: 1: 500稀释, 4℃ 孵育过夜.
二抗: S-vision免疫组化多聚二抗(山羊抗兔),即用型 (货号KB3906), 室温孵育20分钟.
Integrin beta 1_d500_WB
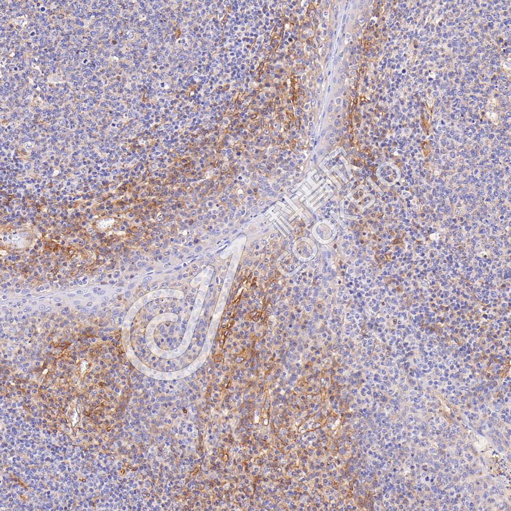
IHC检测Integrin beta 1蛋白(货号 K1345519).
样品: 人扁桃体, 4%多聚甲醛 (货号KSG1101) 固定12-24小时.
抗原修复: 柠檬酸抗原修复液(干粉, pH 6.0) (KSG1201), 98℃, 20分钟.
—抗: 1: 500稀释, 4℃ 孵育过夜.
二抗: S-vision免疫组化多聚二抗(山羊抗兔),即用型 (货号KB3906), 室温孵育20分钟.

需要技术支持?

如果您有任何问题或如果您在实验过程中遇到问题,或需要更详细的技术指导,请联系我们的技术支持团队
电话 400-6027-270

联系我们

如果您对我们的公司或产品有任何疑问,欢迎随时联系我们