tel 400-6027-270
Main Image
Anti-Annexin A3/ANXA3 兔多克隆抗体
¥1900
加入对比
货号: K1337134-100
预测分子量: 36 kDa
观测分子量: 34 kDa
亚细胞定位: 细胞膜, 细胞质, 分泌型
别名: 35-alpha calcimedin,Annexin III,Annexin-3,Lipocortin III,Placental anticoagulant protein III,PAP-III,Anxa3,Anx3
应用 | 种属
WB H,R
IHC/IF H,M,R
规格:
产品信息
蛋白质全称 膜联蛋白A3
别名 35-alpha calcimedin,Annexin III,Annexin-3,Lipocortin III,Placental anticoagulant protein III,PAP-III,Anxa3,Anx3
Uniprot ID O35639
免疫原 KLH偶联的小鼠Annexin A3/ANXA3合成肽
抗体亚型 IgG
纯化方式 亲和纯化
亚细胞定位 细胞膜, 细胞质, 分泌型
预测分子量./观测分子量. 36 kDa / 34 kDa
应用
WB 免疫印迹
物种:人,大鼠
稀释比:1:500-1:1000
阳性样品:脾
IHC/IF 免疫组织化学/免疫荧光
物种:人,小鼠,大鼠
稀释比:1:200-1:1000
阳性样品:结肠, 脾
背景
This gene encodes a member of the annexin family. Members of this calcium-dependent phospholipid-binding protein family play a role in the regulation of cellular growth and in signal transduction pathways. This protein functions in the inhibition of phopholipase A2 and cleavage of inositol 1,2-cyclic phosphate to form inositol 1-phosphate. This protein may also play a role in anti-coagulation.
储存条件
储存条件:储存条件在:-20℃下储存一年, 避免反复冻融.
储存缓冲液:含0.15% ProClin300防腐剂, 100 μg/mL牛血清白蛋白和50%甘油的磷酸盐缓冲液.
图像
WB检测Annexin A3/ANXA3蛋白(货号 K1337134).
样品: 经RIPA裂解液(货号KSG2002)处理的蛋白质.
封闭: 3%脱脂牛奶(货号KSGC310001)溶于TBST溶液, 室温孵育1小时.
—抗: 1: 500稀释, 4℃ 孵育过夜.
二抗: HRP标记山羊抗兔IgG (H+L) (货号KB69909), 1: 5000稀释, 室温孵育1小时.
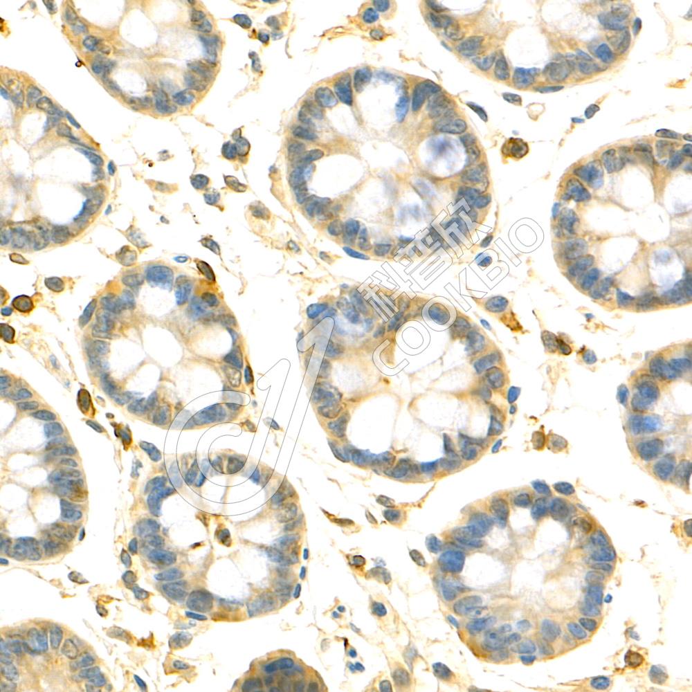
IHC检测Annexin A3/ANXA3蛋白(货号 K1337134).
样品: 人结肠, 4%多聚甲醛 (货号KSG1101) 固定12-24小时.
抗原修复: 柠檬酸抗原修复液(干粉, pH 6.0) (KSG1201), 98℃, 20分钟.
—抗: 1: 600稀释, 4℃ 孵育过夜.
二抗: S-vision免疫组化多聚二抗(山羊抗兔),即用型 (货号KB3906), 室温孵育20分钟.
IF检测Annexin A3/ANXA3蛋白(货号 K1337134)(红色).
样品: 小鼠脾, 4%多聚甲醛 (货号KSG1101) 固定12-24小时.
抗原修复: Tris-EDTA抗原修复液(pH 9.0) (KSG1203), 98℃, 20分钟.
封闭: 3% BSA(货号KSGC305010)的PBS溶液, 室温孵育30分钟.
—抗: 1: 600稀释, 4℃ 孵育过夜.
二抗: Cy3标记山羊抗兔IgG (H+L) (货号KB63909), 1: 300稀释, 室温孵育1小时.
IF检测Annexin A3/ANXA3蛋白(货号 K1337134)(红色).
样品: 大鼠脾, 4%多聚甲醛 (货号KSG1101) 固定12-24小时.
抗原修复: Tris-EDTA抗原修复液(pH 9.0) (KSG1203), 98℃, 20分钟.
封闭: 3% BSA(货号KSGC305010)的PBS溶液, 室温孵育30分钟.
—抗: 1: 600稀释, 4℃ 孵育过夜.
二抗: Cy3标记山羊抗兔IgG (H+L) (货号KB63909), 1: 300稀释, 室温孵育1小时.

需要技术支持?

如果您有任何问题或如果您在实验过程中遇到问题,或需要更详细的技术指导,请联系我们的技术支持团队
电话 400-6027-270

联系我们

如果您对我们的公司或产品有任何疑问,欢迎随时联系我们