tel 400-6027-270
Main Image
Anti-Integrin beta 3 兔多克隆抗体
¥1900
加入对比
货号: K1336759-100
预测分子量: 87 kDa
观测分子量: 100 kDa
亚细胞定位: 细胞膜
别名: Platelet membrane glycoprotein IIIa,GPIIIa,CD61,ITGB3,GP3A
应用 | 种属
WB H,M,R
IHC/IF M,R
规格:
产品信息
蛋白质全称 整合素β-3
别名 Platelet membrane glycoprotein IIIa,GPIIIa,CD61,ITGB3,GP3A
Uniprot ID P05106
免疫原 KLH偶联的人Integrin beta 3合成肽
抗体亚型 IgG
纯化方式 亲和纯化
亚细胞定位 细胞膜
预测分子量./观测分子量. 87 kDa / 100 kDa
应用
WB 免疫印迹
物种:人,小鼠,大鼠
稀释比:1:500-1:1000
阳性样品:—
IHC/IF 免疫组织化学/免疫荧光
物种:小鼠,大鼠
稀释比:1:1000-1:2000
阳性样品:脾
背景
Integrin beta-3, also named as CD61 and GPIIIa, is a receptor for cytotactin, fibronectin, laminin, matrix metalloproteinase-2, osteopontin, osteomodulin, prothrombin, thrombospondin, vitronectin and von Willebrand factor. Integrin beta-3 recognize the sequence R-G-D in a wide array of ligands and the sequence H-H-L-G-G-G-A-K-Q-A-G-D-V in fibrinogen gamma chain. Following activation integrin beta-3 brings about platelet/platelet interaction through binding of soluble fibrinogen which leads to rapid platelet aggregation which physically plugs ruptured endothelial surface.
储存条件
储存条件:储存条件在:-20℃下储存一年, 避免反复冻融.
储存缓冲液:含0.15% ProClin300防腐剂, 100 μg/mL牛血清白蛋白和50%甘油的磷酸盐缓冲液.
图像
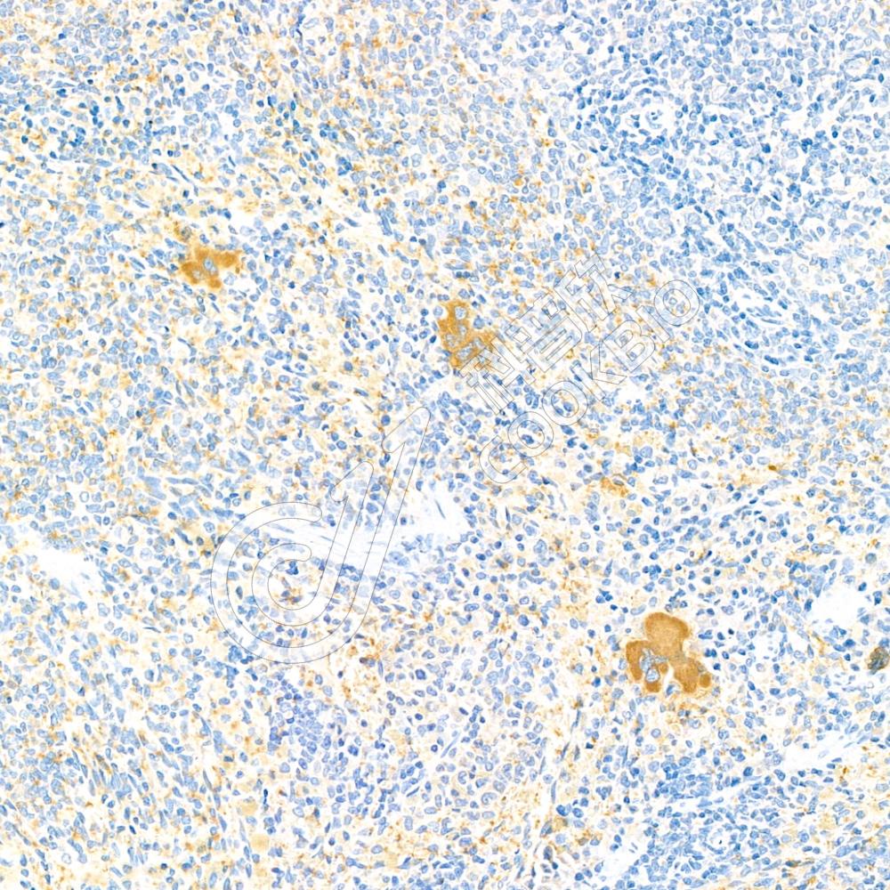
IHC检测Integrin beta 3蛋白(货号 K1336759).
样品: 小鼠脾, 4%多聚甲醛 (货号KSG1101) 固定12-24小时.
抗原修复: 柠檬酸抗原修复液(干粉, pH 6.0) (KSG1201), 98℃, 20分钟.
—抗: 1: 1500稀释, 4℃ 孵育过夜.
二抗: S-vision免疫组化多聚二抗(山羊抗兔),即用型 (货号KB3906), 室温孵育20分钟.
Integrin beta 3_d1000_WB
IHC检测Integrin beta 3蛋白(货号 K1336759).
样品: 大鼠脾, 4%多聚甲醛 (货号KSG1101) 固定12-24小时.
抗原修复: 柠檬酸抗原修复液(干粉, pH 6.0) (KSG1201), 98℃, 20分钟.
—抗: 1: 1500稀释, 4℃ 孵育过夜.
二抗: S-vision免疫组化多聚二抗(山羊抗兔),即用型 (货号KB3906), 室温孵育20分钟.

需要技术支持?

如果您有任何问题或如果您在实验过程中遇到问题,或需要更详细的技术指导,请联系我们的技术支持团队
电话 400-6027-270

联系我们

如果您对我们的公司或产品有任何疑问,欢迎随时联系我们