tel 400-6027-270
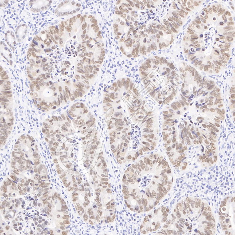
Main Image
Anti-EMP2 兔多克隆抗体
¥1900
加入对比
货号: K1341787-100
亚细胞定位: 细胞膜, 细胞质, 细胞核
别名: EMP-2,Epithelial membrane protein 2,Protein XMP
应用 | 种属
IHC/IF H
规格:
产品信息
蛋白质全称 上皮膜蛋白2
别名 EMP-2,Epithelial membrane protein 2,Protein XMP
Uniprot ID O88662
免疫原 KLH偶联的小鼠EMP2合成肽
抗体亚型 IgG
纯化方式 亲和纯化
亚细胞定位 细胞膜, 细胞质, 细胞核
应用
IHC/IF 免疫组织化学/免疫荧光
物种:人
稀释比:1:100-1:200
阳性样品:肺, 皮肤
背景
This gene encodes a tetraspan protein of the PMP22/EMP family. The encoded protein regulates cell membrane composition. It has been associated with various functions including endocytosis, cell signaling, cell proliferation, cell migration, cell adhesion, cell death, cholesterol homeostasis, urinary albumin excretion, and embryo implantation. It is known to negatively regulate caveolin-1, a scaffolding protein which is the main component of the caveolae plasma membrane invaginations found in most cell types.
储存条件
储存条件:储存条件在:-20℃下储存一年, 避免反复冻融.
储存缓冲液:含0.15% ProClin300防腐剂, 100 μg/mL牛血清白蛋白和50%甘油的磷酸盐缓冲液.
图像
IF检测EMP2蛋白(货号 K1341787)(红色).
样品: 人肺, 4%多聚甲醛 (货号KSG1101) 固定12-24小时.
抗原修复: Tris-EDTA抗原修复液(pH 9.0) (KSG1203), 98℃, 20分钟.
封闭: 3% BSA(货号KSGC305010)的PBS溶液, 室温孵育30分钟.
—抗: 1: 200稀释, 4℃ 孵育过夜.
二抗: Cy3标记山羊抗兔IgG (H+L) (货号KB63909), 1: 300稀释, 室温孵育1小时.
IF检测EMP2蛋白(货号 K1341787)(红色).
样品: 人皮肤, 4%多聚甲醛 (货号KSG1101) 固定12-24小时.
抗原修复: Tris-EDTA抗原修复液(pH 9.0) (KSG1203), 98℃, 20分钟.
封闭: 3% BSA(货号KSGC305010)的PBS溶液, 室温孵育30分钟.
—抗: 1: 200稀释, 4℃ 孵育过夜.
二抗: Cy3标记山羊抗兔IgG (H+L) (货号KB63909), 1: 300稀释, 室温孵育1小时.

需要技术支持?

如果您有任何问题或如果您在实验过程中遇到问题,或需要更详细的技术指导,请联系我们的技术支持团队
电话 400-6027-270

联系我们

如果您对我们的公司或产品有任何疑问,欢迎随时联系我们