tel 400-6027-270
Main Image
Anti-Uroplakin Ia 兔多克隆抗体
¥1900
加入对比
货号: K1339864-100
预测分子量: 29 kDa
观测分子量: 29 kDa
亚细胞定位: 细胞膜
别名: Tetraspanin 21,Tspan 21,TSPAN21,UP1A,UPIA,UPK1A,UPKA,uroplakin 1A,Uroplakin Ia
应用 | 种属
WB R
IHC/IF M,R
规格:
产品信息
蛋白质全称 尿路斑块蛋白1a
别名 Tetraspanin 21,Tspan 21,TSPAN21,UP1A,UPIA,UPK1A,UPKA,uroplakin 1A,Uroplakin Ia
Uniprot ID Q9D132
免疫原 小鼠Uroplakin Ia重组蛋白
抗体亚型 IgG
纯化方式 亲和纯化
亚细胞定位 细胞膜
预测分子量./观测分子量. 29 kDa / 29 kDa
应用
WB 免疫印迹
物种:大鼠
稀释比:1:300-1:600
阳性样品:—
IHC/IF 免疫组织化学/免疫荧光
物种:小鼠,大鼠
稀释比:1:2000-1:4000
阳性样品:膀胱
背景
Uroplakins are a group of urothelial differentiation-related membrane proteins. They are components of the asymmetric unit membrane (AUM), which forms the apical plaques of mammalian urothelium and is believed to play a role in strengthening the urothelial apical surface thus preventing the cells from rupturing during bladder distention . Uroplakin-1a (UPK1A) belongs to the tetraspanin (TM4SF) family. UPK1A plays an important role in normal bladder epithelial physiology, possibly in regulating membrane permeability of superficial umbrella cells or in stabilizing the apical membrane.
储存条件
储存条件:储存条件在:-20℃下储存一年, 避免反复冻融.
储存缓冲液:含0.15% ProClin300防腐剂, 100 μg/mL牛血清白蛋白和50%甘油的磷酸盐缓冲液.
图像
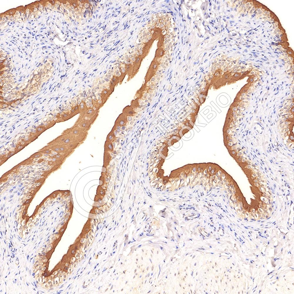
IHC检测Uroplakin Ia蛋白(货号 K1339864).
样品: 小鼠膀胱, 4%多聚甲醛 (货号KSG1101) 固定12-24小时.
抗原修复: 柠檬酸抗原修复液(干粉, pH 6.0) (KSG1201), 98℃, 20分钟.
—抗: 1: 3000稀释, 4℃ 孵育过夜.
二抗: S-vision免疫组化多聚二抗(山羊抗兔),即用型 (货号KB3906), 室温孵育20分钟.
IHC检测Uroplakin Ia蛋白(货号 K1339864).
样品: 大鼠膀胱, 4%多聚甲醛 (货号KSG1101) 固定12-24小时.
抗原修复: 柠檬酸抗原修复液(干粉, pH 6.0) (KSG1201), 98℃, 20分钟.
—抗: 1: 3000稀释, 4℃ 孵育过夜.
二抗: S-vision免疫组化多聚二抗(山羊抗兔),即用型 (货号KB3906), 室温孵育20分钟.

需要技术支持?

如果您有任何问题或如果您在实验过程中遇到问题,或需要更详细的技术指导,请联系我们的技术支持团队
电话 400-6027-270

联系我们

如果您对我们的公司或产品有任何疑问,欢迎随时联系我们