tel 400-6027-270
Main Image
Anti-TMS1/ASC 兔多克隆抗体
¥1900
加入对比
货号: K1345810-100
预测分子量: 22 kDa
观测分子量: 22-25 kDa
亚细胞定位: 细胞质, 内质网, 线粒体, 细胞核
别名: ASC,CARD5,hASC,PYCARD,PYD and CARD domain containing,TMS,TMS 1,TMS1
应用 | 种属
WB H
IHC/IF H
规格:
产品信息
蛋白质全称 含CARD的凋亡相关斑点样蛋白
别名 ASC,CARD5,hASC,PYCARD,PYD and CARD domain containing,TMS,TMS 1,TMS1
Uniprot ID Q9ULZ3
免疫原 KLH偶联的人TMS1/ASC合成肽
抗体亚型 IgG
纯化方式 亲和纯化
亚细胞定位 细胞质, 内质网, 线粒体, 细胞核
预测分子量./观测分子量. 22 kDa / 22-25 kDa
应用
WB 免疫印迹
物种:人
稀释比:1:300-1:600
阳性样品:MCF7细胞
IHC/IF 免疫组织化学/免疫荧光
物种:人
稀释比:1:400-1:800
阳性样品:肝, 扁桃体
背景
PYCARD , also known as ASC or TMS1, is a 195 amino acid protein containing an N-terminal Pyrin-like domain (PYD) and an 87 residue C-terminal Caspase-associated recruitment domain (CARD). It promotes caspase-mediated apoptosis which is mediated predominantly through the activation of caspase-9.
储存条件
储存条件:储存条件在:-20℃下储存一年, 避免反复冻融.
储存缓冲液:含0.15% ProClin300防腐剂, 100 μg/mL牛血清白蛋白和50%甘油的磷酸盐缓冲液.
图像
WB检测TMS1/ASC蛋白(货号 K1345810).
样品: 经RIPA裂解液(货号KSG2002)处理的蛋白质.
封闭: 3%脱脂牛奶(货号KSGC310001)溶于TBST溶液, 室温孵育1小时.
—抗: 1: 500稀释, 4℃ 孵育过夜.
二抗: HRP标记山羊抗兔IgG (H+L) (货号KB69909), 1: 5000稀释, 室温孵育1小时.
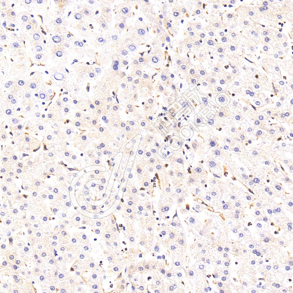
IHC检测TMS1/ASC蛋白(货号 K1345810).
样品: 人肝, 4%多聚甲醛 (货号KSG1101) 固定12-24小时.
抗原修复: 柠檬酸抗原修复液(干粉, pH 6.0) (KSG1201), 98℃, 20分钟.
—抗: 1: 600稀释, 4℃ 孵育过夜.
二抗: S-vision免疫组化多聚二抗(山羊抗兔),即用型 (货号KB3906), 室温孵育20分钟.
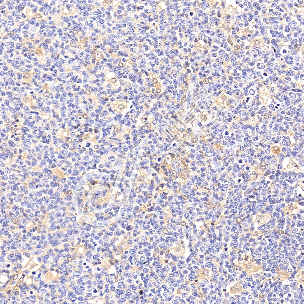
IHC检测TMS1/ASC蛋白(货号 K1345810).
样品: 人扁桃体, 4%多聚甲醛 (货号KSG1101) 固定12-24小时.
抗原修复: 柠檬酸抗原修复液(干粉, pH 6.0) (KSG1201), 98℃, 20分钟.
—抗: 1: 600稀释, 4℃ 孵育过夜.
二抗: S-vision免疫组化多聚二抗(山羊抗兔),即用型 (货号KB3906), 室温孵育20分钟.

需要技术支持?

如果您有任何问题或如果您在实验过程中遇到问题,或需要更详细的技术指导,请联系我们的技术支持团队
电话 400-6027-270

联系我们

如果您对我们的公司或产品有任何疑问,欢迎随时联系我们