tel 400-6027-270
Main Image
Recombinant Anti-ALIX antibody (小鼠单克隆抗体)
¥1900
加入对比
货号: K5462240-100
预测分子量: 96 kDa
观测分子量: 115 kDa
亚细胞定位: 细胞质, 分泌型
别名: AIP1,ALG 2 interacting protein 1,Alix,DRIP4,HP95,KIAA1375,PDCD6 interacting protein,PDCD6IP
应用 | 种属
WB H,M,R
IHC/IF R
规格:
产品信息
蛋白质全称 程序性细胞死亡6相互作用蛋白
别名 AIP1,ALG 2 interacting protein 1,Alix,DRIP4,HP95,KIAA1375,PDCD6 interacting protein,PDCD6IP
Uniprot ID Q8WUM4
免疫原 KLH偶联的人ALIX合成肽
抗体亚型 IgG1, κ
克隆号 SB339
纯化方式 亲和纯化
亚细胞定位 细胞质, 分泌型
预测分子量./观测分子量. 96 kDa / 115 kDa
应用
WB 免疫印迹
物种:人,小鼠,大鼠
稀释比:1:1000-1:2000
阳性样品:睾丸, K562细胞
IHC/IF 免疫组织化学/免疫荧光
物种:大鼠
稀释比:1:1500-1:3000
阳性样品:肝, 睾丸
背景
Multifunctional protein involved in endocytosis, multivesicular body biogenesis, membrane repair, cytokinesis, apoptosis and maintenance of tight junction integrity. Class E VPS protein involved in concentration and sorting of cargo proteins of the multivesicular body (MVB) for incorporation into intralumenal vesicles (ILVs) that are generated by invagination and scission from the limiting membrane of the endosome. Binds to the phospholipid lysobisphosphatidic acid (LBPA) which is abundant in MVBs internal membranes.
储存条件
储存条件:储存条件在:-20℃下储存一年, 避免反复冻融.
储存缓冲液:含0.15% ProClin300防腐剂, 100 μg/mL牛血清白蛋白和50%甘油的磷酸盐缓冲液.
图像
WB检测ALIX蛋白(货号 K5462240).
样品: 经RIPA裂解液(货号KSG2002)处理的蛋白质.
封闭: 3%脱脂牛奶(货号KSGC310001)溶于TBST溶液, 室温孵育1小时.
—抗: 1: 1000稀释, 4℃ 孵育过夜.
二抗: HRP标记山羊抗小鼠IgG (H+L) (货号KB69903), 1: 5000稀释, 室温孵育1小时.
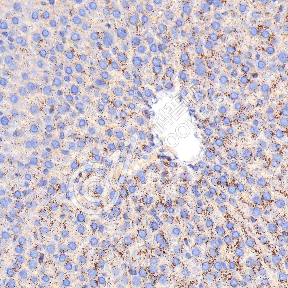
IHC检测ALIX蛋白(货号 K5462240).
样品: 大鼠肝, 4%多聚甲醛 (货号KSG1101) 固定12-24小时.
抗原修复: Tris-EDTA抗原修复液(pH 9.0) (KSG1203), 98℃, 20分钟.
—抗: 1: 2300稀释, 4℃ 孵育过夜.
二抗: S-vision免疫组化多聚二抗(山羊抗小鼠), 即用型(货号KB3903), 室温孵育20分钟.
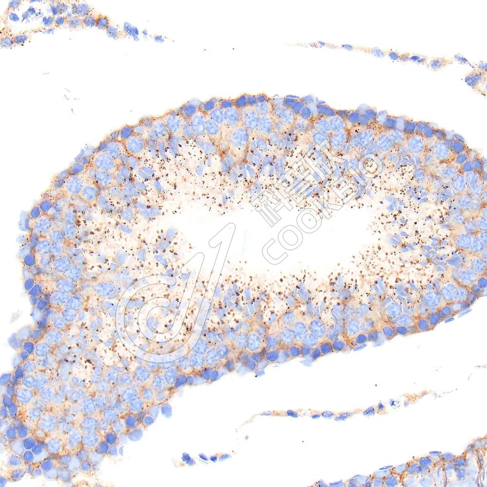
IHC检测ALIX蛋白(货号 K5462240).
样品: 大鼠睾丸, 4%多聚甲醛 (货号KSG1101) 固定12-24小时.
抗原修复: Tris-EDTA抗原修复液(pH 9.0) (KSG1203), 98℃, 20分钟.
—抗: 1: 2300稀释, 4℃ 孵育过夜.
二抗: S-vision免疫组化多聚二抗(山羊抗小鼠), 即用型(货号KB3903), 室温孵育20分钟.

需要技术支持?

如果您有任何问题或如果您在实验过程中遇到问题,或需要更详细的技术指导,请联系我们的技术支持团队
电话 400-6027-270

联系我们

如果您对我们的公司或产品有任何疑问,欢迎随时联系我们