tel 400-6027-270
Main Image
Recombinant Anti-ULK1 antibody (兔单克隆抗体)
¥1900
加入对比
货号: K546740-100
预测分子量: 113 kDa
观测分子量: 130 kDa
亚细胞定位: 细胞质
别名: ULK1,ATG1,ATG1A,UNC51,Unc51.1,hATG1,unc-51 like autophagy activating kinase 1
应用 | 种属
WB H,M,R
IHC/IF H,M,R
规格:
产品信息
蛋白质全称 丝氨酸/苏氨酸蛋白激酶ULK1
别名 ULK1,ATG1,ATG1A,UNC51,Unc51.1,hATG1,unc-51 like autophagy activating kinase 1
Uniprot ID O75385
免疫原 KLH偶联的人ULK1合成肽
抗体亚型 IgG
克隆号 SB574
纯化方式 亲和纯化
亚细胞定位 细胞质
预测分子量./观测分子量. 113 kDa / 130 kDa
应用
WB 免疫印迹
物种:人,小鼠,大鼠
稀释比:1:500-1:2000
阳性样品:—
IHC/IF 免疫组织化学/免疫荧光
物种:人,小鼠,大鼠
稀释比:1:1000-1:4000
阳性样品:心, 肾
背景
ULK1 belongs to the serine/threonine protein kinase family. It is involved in axon growth and plays an essential role in neurite branching during sensory axon outgrowth. Serine/threonine-protein kinase involved in autophagy in response to starvation. Acts upstream of phosphatidylinositol 3-kinase PIK3C3 to regulate the formation of autophagophores, the precursors of autophagosomes. Part of regulatory feedback loops in autophagy: acts both as a downstream effector and negative regulator of mammalian target of rapamycin complex 1 (mTORC1) via interaction with RPTOR.
储存条件
储存条件:储存条件在:-20℃下储存一年, 避免反复冻融.
储存缓冲液:含0.15% ProClin300防腐剂, 100 μg/mL牛血清白蛋白和50%甘油的磷酸盐缓冲液.
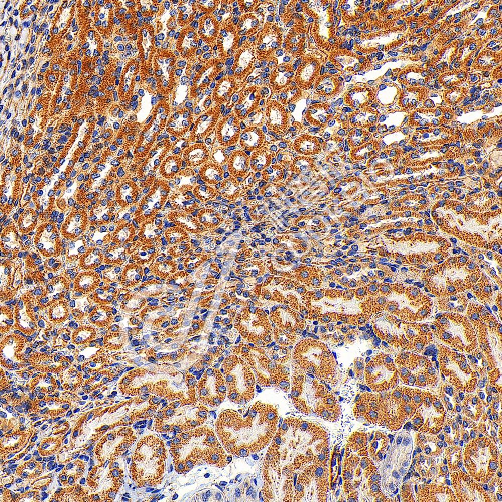
图像
IHC检测ULK1蛋白(货号 K546740).
样品: 人肾, 4%多聚甲醛 (货号KSG1101) 固定12-24小时.
抗原修复: Tris-EDTA抗原修复液(pH 9.0) (货号KSG1203), 水浴100℃, 25分钟.
—抗: 1: 2500稀释, 4℃ 孵育过夜.
二抗: S-vision免疫组化多聚二抗(山羊抗兔),即用型 (货号KB3906), 室温孵育20分钟.
IHC检测ULK1蛋白(货号 K546740).
样品: 小鼠肾, 4%多聚甲醛 (货号KSG1101) 固定12-24小时.
抗原修复: Tris-EDTA抗原修复液(pH 9.0) (货号KSG1203), 水浴100℃, 25分钟.
—抗: 1: 2500稀释, 4℃ 孵育过夜.
二抗: S-vision免疫组化多聚二抗(山羊抗兔),即用型 (货号KB3906), 室温孵育20分钟.
IHC检测ULK1蛋白(货号 K546740).
样品: 大鼠心, 4%多聚甲醛 (货号KSG1101) 固定12-24小时.
抗原修复: Tris-EDTA抗原修复液(pH 9.0) (货号KSG1203), 水浴100℃, 25分钟.
—抗: 1: 2500稀释, 4℃ 孵育过夜.
二抗: S-vision免疫组化多聚二抗(山羊抗兔),即用型 (货号KB3906), 室温孵育20分钟.

需要技术支持?

如果您有任何问题或如果您在实验过程中遇到问题,或需要更详细的技术指导,请联系我们的技术支持团队
电话 400-6027-270

联系我们

如果您对我们的公司或产品有任何疑问,欢迎随时联系我们