tel 400-6027-270
Main Image
Recombinant Anti-Inhibin alpha antibody (小鼠单克隆抗体)
¥1900
加入对比
货号: K547223-100
预测分子量: 40 kDa
观测分子量: 40 kDa
亚细胞定位: 分泌型
别名: INHA,Inhibin alpha subunit,inhibin subunit alpha,A inhibin subunit precursor,IHA,Inhibin alpha chain,Inhibin alpha chain precursor,Inha
应用 | 种属
WB M
IHC/IF H,M,R
规格:
产品信息
蛋白质全称 抑制素α链
别名 INHA,Inhibin alpha subunit,inhibin subunit alpha,A inhibin subunit precursor,IHA,Inhibin alpha chain,Inhibin alpha chain precursor,Inha
Uniprot ID P05111
免疫原 人Inhibin alpha重组蛋白
抗体亚型 IgG2a, κ
克隆号 SB310
纯化方式 亲和纯化
亚细胞定位 分泌型
预测分子量./观测分子量. 40 kDa / 40 kDa
应用
WB 免疫印迹
物种:小鼠
稀释比:1:1000-1:2000
阳性样品:卵巢
IHC/IF 免疫组织化学/免疫荧光
物种:人,小鼠,大鼠
稀释比:1:1000-1:2000
阳性样品:胎盘, 睾丸
背景
The inhibin alpha subunit joins either the beta A or beta B subunit to form a pituitary FSH secretion inhibitor. Inhibin has been shown to regulate gonadal stromal cell proliferation negatively and to have tumour suppressor activity. In addition, serum levels of inhibin have been shown to reflect the size of granulosa-cell tumors and can therefore be used as a marker for primary as well as recurrent disease. However, in prostate cancer, expression of the inhibin alpha-subunit gene was suppressed and was not detectable in poorly differentiated tumor cells.
储存条件
储存条件:储存条件在:-20℃下储存一年, 避免反复冻融.
储存缓冲液:含0.15% ProClin300防腐剂, 100 μg/mL牛血清白蛋白和50%甘油的磷酸盐缓冲液.
图像
WB检测Inhibin alpha蛋白(货号 K547223).
样品: 经RIPA裂解液(货号KSG2002)处理的蛋白质.
封闭: 3%脱脂牛奶(货号KSGC310001)溶于TBST溶液, 室温孵育1小时.
—抗: 1: 1000稀释, 4℃ 孵育过夜.
二抗: HRP标记山羊抗小鼠IgG (H+L) (货号KB69903), 1: 5000稀释, 室温孵育1小时.
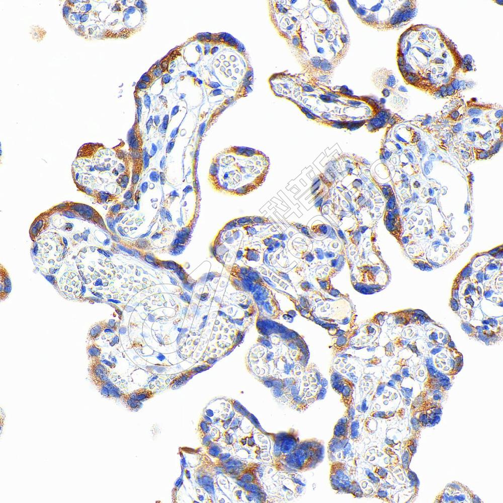
IHC检测Inhibin alpha蛋白(货号 K547223).
样品: 人胎盘, 4%多聚甲醛 (货号KSG1101) 固定12-24小时.
抗原修复: 柠檬酸抗原修复液(干粉, pH 6.0) (KSG1201), 高压锅均匀喷气计时2分钟.
—抗: 1: 1500稀释, 4℃ 孵育过夜.
二抗: S-vision免疫组化多聚二抗(山羊抗小鼠), 即用型(货号KB3903), 室温孵育20分钟.
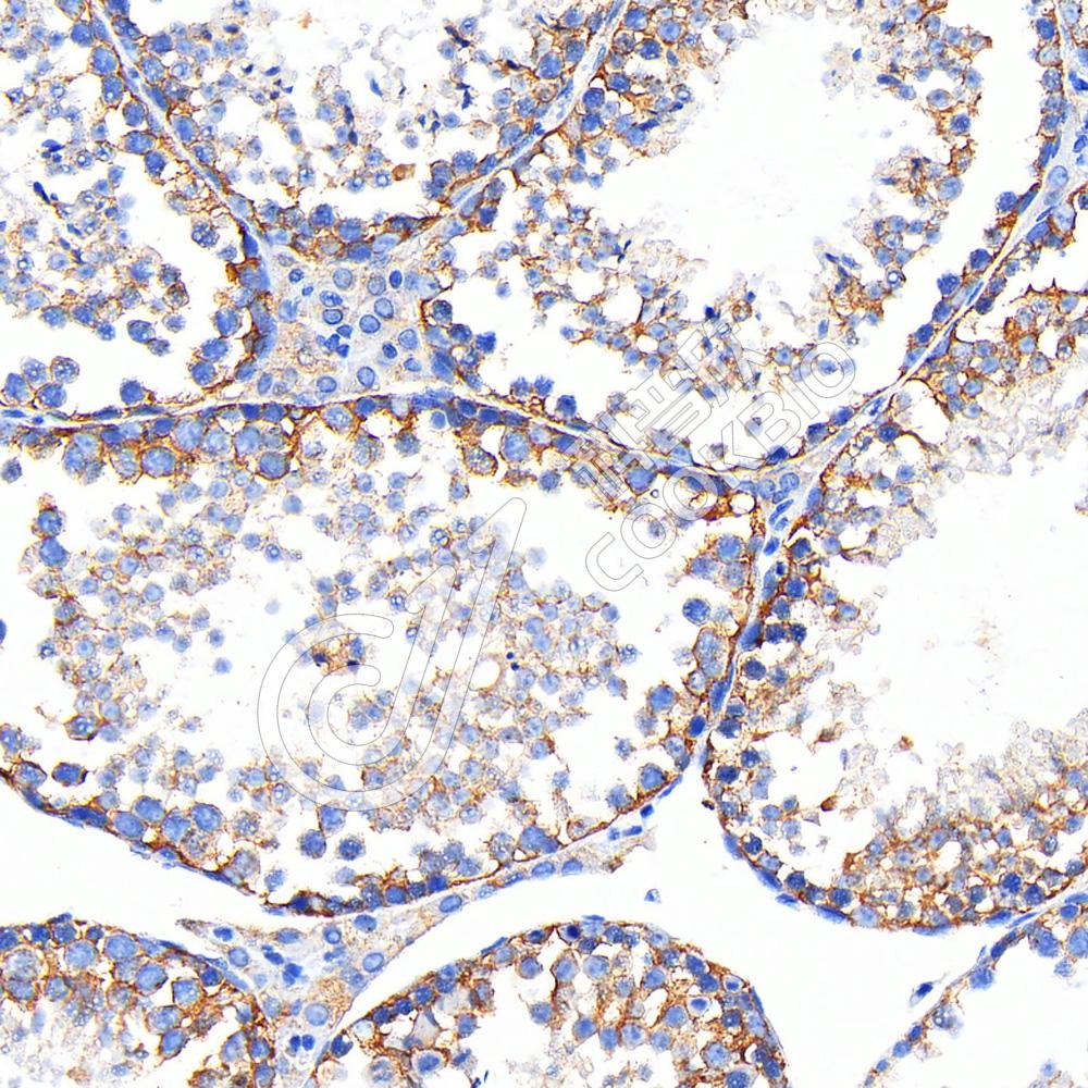
IHC检测Inhibin alpha蛋白(货号 K547223).
样品: 小鼠睾丸, 4%多聚甲醛 (货号KSG1101) 固定12-24小时.
抗原修复: 柠檬酸抗原修复液(干粉, pH 6.0) (KSG1201), 高压锅均匀喷气计时2分钟.
—抗: 1: 1500稀释, 4℃ 孵育过夜.
二抗: S-vision免疫组化多聚二抗(山羊抗小鼠), 即用型(货号KB3903), 室温孵育20分钟.
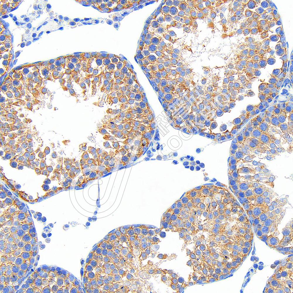
IHC检测Inhibin alpha蛋白(货号 K547223).
样品: 大鼠睾丸, 4%多聚甲醛 (货号KSG1101) 固定12-24小时.
抗原修复: 柠檬酸抗原修复液(干粉, pH 6.0) (KSG1201), 高压锅均匀喷气计时2分钟.
—抗: 1: 1500稀释, 4℃ 孵育过夜.
二抗: S-vision免疫组化多聚二抗(山羊抗小鼠), 即用型(货号KB3903), 室温孵育20分钟.

需要技术支持?

如果您有任何问题或如果您在实验过程中遇到问题,或需要更详细的技术指导,请联系我们的技术支持团队
电话 400-6027-270

联系我们

如果您对我们的公司或产品有任何疑问,欢迎随时联系我们