tel 400-6027-270
Main Image
Recombinant Anti-NSE antibody (小鼠单克隆抗体)
¥1900
加入对比
货号: K546128-100
预测分子量: 47 kDa
观测分子量: 47 kDa
亚细胞定位: 细胞膜, 细胞质
别名: ENO2,HEL-S-279,NSE,Enolase 2
应用 | 种属
WB H,M,R
IHC/IF M,R
规格:
产品信息
蛋白质全称 γ-烯醇化酶
别名 ENO2,HEL-S-279,NSE,Enolase 2
Uniprot ID P17183
免疫原 KLH偶联的小鼠NSE合成肽
抗体亚型 IgG1, κ
克隆号 SB15
纯化方式 亲和纯化
亚细胞定位 细胞膜, 细胞质
预测分子量./观测分子量. 47 kDa / 47 kDa
应用
WB 免疫印迹
物种:人,小鼠,大鼠
稀释比:1:1000-1:2000
阳性样品:海马区
IHC/IF 免疫组织化学/免疫荧光
物种:小鼠,大鼠
稀释比:1:1500-1:3000
阳性样品:结肠, 胰腺
背景
Gamma-enolase, also known as enolase 2 (ENO2) or neuron specific enolase (NSE), is an enzyme that in humans is encoded by the ENO2 gene.Gamma-enolase is a phosphopyruvate hydratase.Has neurotrophic and neuroprotective properties on a broad spectrum of central nervous system (CNS) neurons. Binds, in a calcium-dependent manner, to cultured neocortical neurons and promotes cell survival .
储存条件
储存条件:储存条件在:-20℃下储存一年, 避免反复冻融.
储存缓冲液:含0.15% ProClin300防腐剂, 100 μg/mL牛血清白蛋白和50%甘油的磷酸盐缓冲液.
图像
WB检测NSE蛋白(货号 K546128).
样品: 经RIPA裂解液(货号KSG2002)处理的蛋白质.
封闭: 3%脱脂牛奶(货号KSGC310001)溶于TBST溶液, 室温孵育1小时.
—抗: 1: 1000稀释, 4℃ 孵育过夜.
二抗: HRP标记山羊抗小鼠IgG (H+L) (货号KB69903), 1: 5000稀释, 室温孵育1小时.
IHC检测NSE蛋白(货号 K546128).
样品: 小鼠结肠, 4%多聚甲醛 (货号KSG1101) 固定12-24小时.
抗原修复: 柠檬酸抗原修复液(干粉, pH 6.0) (KSG1201), 高压锅均匀喷气计时2分钟.
—抗: 1: 2300稀释, 4℃ 孵育过夜.
二抗: S-vision免疫组化多聚二抗(山羊抗小鼠), 即用型(货号KB3903), 室温孵育20分钟.
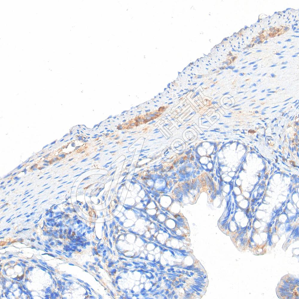
IHC检测NSE蛋白(货号 K546128).
样品: 大鼠结肠, 4%多聚甲醛 (货号KSG1101) 固定12-24小时.
抗原修复: 柠檬酸抗原修复液(干粉, pH 6.0) (KSG1201), 高压锅均匀喷气计时2分钟.
—抗: 1: 2300稀释, 4℃ 孵育过夜.
二抗: S-vision免疫组化多聚二抗(山羊抗小鼠), 即用型(货号KB3903), 室温孵育20分钟.
IF检测NSE蛋白(货号 K546128)(红色).
样品: 小鼠胰腺, 4%多聚甲醛 (货号KSG1101) 固定12-24小时.
抗原修复: Tris-EDTA抗原修复液(pH 9.0) (KSG1203), 98℃, 20分钟.
封闭: 3% BSA(货号KSGC305010)的PBS溶液, 室温孵育30分钟.
—抗: 1: 2300稀释, 4℃ 孵育过夜.
二抗: Cy3标记山羊抗小鼠IgG (H+L) (货号KB63903), 1: 300稀释, 室温孵育1小时.
IF检测NSE蛋白(货号 K546128)(红色).
样品: 大鼠胰腺, 4%多聚甲醛 (货号KSG1101) 固定12-24小时.
抗原修复: Tris-EDTA抗原修复液(pH 9.0) (KSG1203), 98℃, 20分钟.
封闭: 3% BSA(货号KSGC305010)的PBS溶液, 室温孵育30分钟.
—抗: 1: 2300稀释, 4℃ 孵育过夜.
二抗: Cy3标记山羊抗小鼠IgG (H+L) (货号KB63903), 1: 300稀释, 室温孵育1小时.

需要技术支持?

如果您有任何问题或如果您在实验过程中遇到问题,或需要更详细的技术指导,请联系我们的技术支持团队
电话 400-6027-270

联系我们

如果您对我们的公司或产品有任何疑问,欢迎随时联系我们