tel 400-6027-270
Main Image
Recombinant Anti-Sall4 antibody (小鼠单克隆抗体)
¥1900
加入对比
货号: K5464382-100
亚细胞定位: 细胞质, 细胞核
别名: DRRS,HSAL4,sal like 4 (Drosophila),Sal like protein 4,SALL4,Zinc finger protein SALL4,ZNF797
应用 | 种属
IHC/IF H,Mk
规格:
产品信息
蛋白质全称 Sal样蛋白4
别名 DRRS,HSAL4,sal like 4 (Drosophila),Sal like protein 4,SALL4,Zinc finger protein SALL4,ZNF797
Uniprot ID Q9UJQ4
免疫原 人Sall4重组蛋白
抗体亚型 IgG1, κ
克隆号 SB274
纯化方式 亲和纯化
亚细胞定位 细胞质, 细胞核
应用
IHC/IF 免疫组织化学/免疫荧光
物种:人,猴
稀释比:1:500-1:1000
阳性样品:精原细胞瘤
背景
Transcription factor with a key role in the maintenance and self-renewal of embryonic and hematopoietic stem cells.
储存条件
储存条件:储存条件在:-20℃下储存一年, 避免反复冻融.
储存缓冲液:含0.15% ProClin300防腐剂, 100 μg/mL牛血清白蛋白和50%甘油的磷酸盐缓冲液.
图像
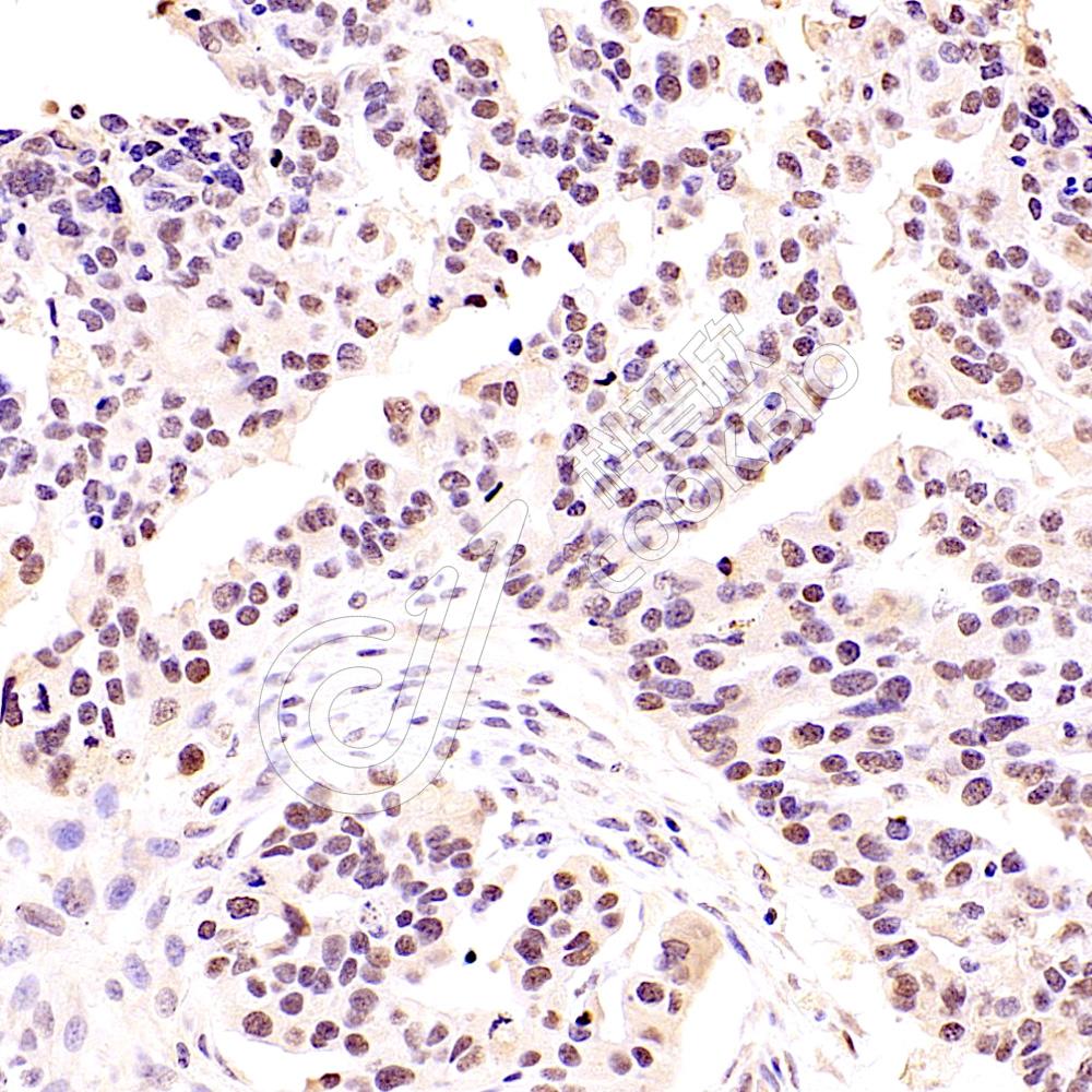
IHC检测Sall4蛋白(货号 K5464382).
样品: 人精原细胞瘤, 4%多聚甲醛 (货号KSG1101) 固定12-24小时.
抗原修复: 柠檬酸抗原修复液(干粉, pH 6.0) (KSG1201), 高压锅均匀喷气计时2分钟.
—抗: 1: 800稀释, 4℃ 孵育过夜.
二抗: S-vision免疫组化多聚二抗(山羊抗小鼠), 即用型(货号KB3903), 室温孵育20分钟.
IF检测Sall4蛋白(货号 K5464382)(红色).
样品: 人精原细胞瘤, 4%多聚甲醛 (货号KSG1101) 固定12-24小时.
抗原修复: 柠檬酸抗原修复液(干粉, pH 6.0) (KSG1201), 高压锅均匀喷气计时2分钟.
封闭: 3% BSA(货号KSGC305010)的PBS溶液, 室温孵育30分钟.
—抗: 1: 800稀释, 4℃ 孵育过夜.
二抗: Cy3标记山羊抗小鼠IgG (H+L) (货号KB63903), 1: 300稀释, 室温孵育1小时.

需要技术支持?

如果您有任何问题或如果您在实验过程中遇到问题,或需要更详细的技术指导,请联系我们的技术支持团队
电话 400-6027-270

联系我们

如果您对我们的公司或产品有任何疑问,欢迎随时联系我们